RECEIVE 25% OFF PUBLISHED ANTIBODIES WITH CODE "PUB25"! Offer valid for US customers and available internationally through distributors.

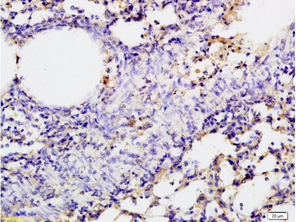
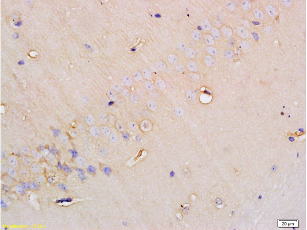
SLC5A1 Polyclonal Antibody

Applications

  • WB
  • ELISA
  • IHC-P
  • IHC-F

Reactivity

  • Human
  • Mouse
  • Rat
Overview
Catalog # bs-1128r
Product Name SLC5A1 Polyclonal Antibody
Applications WB, ELISA, IHC-P, IHC-F
Reactivity Human, Mouse, Rat
Specifications
Conjugation Unconjugated
Host Rabbit
Source KLH conjugated synthetic peptide derived from mouse SGLT1
Immunogen Range 401-500/665
Clonality Polyclonal
Isotype IgG
Concentration 1ug/ul
Purification Purified by Protein A.
Storage Buffer 0.01M TBS(pH7.4) with 1% BSA, 0.02% Proclin300 and 50% Glycerol.
Storage Condition Shipped at 4℃. Store at -20℃ for one year. Avoid repeated freeze/thaw cycles.
Target
Gene ID 20537
Swiss Prot Q8C3K6
Subcellular location Extracellular matrix
Synonyms Sglt1; Sodium/glucose cotransporter 1; Na(+)/glucose cotransporter 1; High affinity sodium-glucose cotransporter; Solute carrier family 5 member 1; Slc5a1
Background Actively transports glucose into cells by Na(+) cotransport with a Na(+) to glucose coupling ratio of 2:1. Efficient substrate transport in mammalian kidney is provided by the concerted action of a low affinity high capacity and a high affinity low capacity Na(+)/glucose cotransporter arranged in series along kidney proximal tubules.
Application Dilution
WB 1:500-2000
ELISA 1:5000-10000
IHC-P 1:100-500
IHC-F 1:100-500