Receive 30% off all Monoclonal IHC antibodies with code "MONO-IHC-30"! Offer valid for US customers and available internationally through distributors.

NOVA1 Polyclonal Antibody

Applications

  • WB
  • ELISA
  • IHC-P
  • IHC-F
  • IF(IHC-P)
  • IF(IHC-F)
  • IF(ICC)

Reactivity

  • Human
  • Mouse
  • Rat

Predicted Reactivity

  • Cow
  • Chicken
Overview
Catalog # bs-11324R
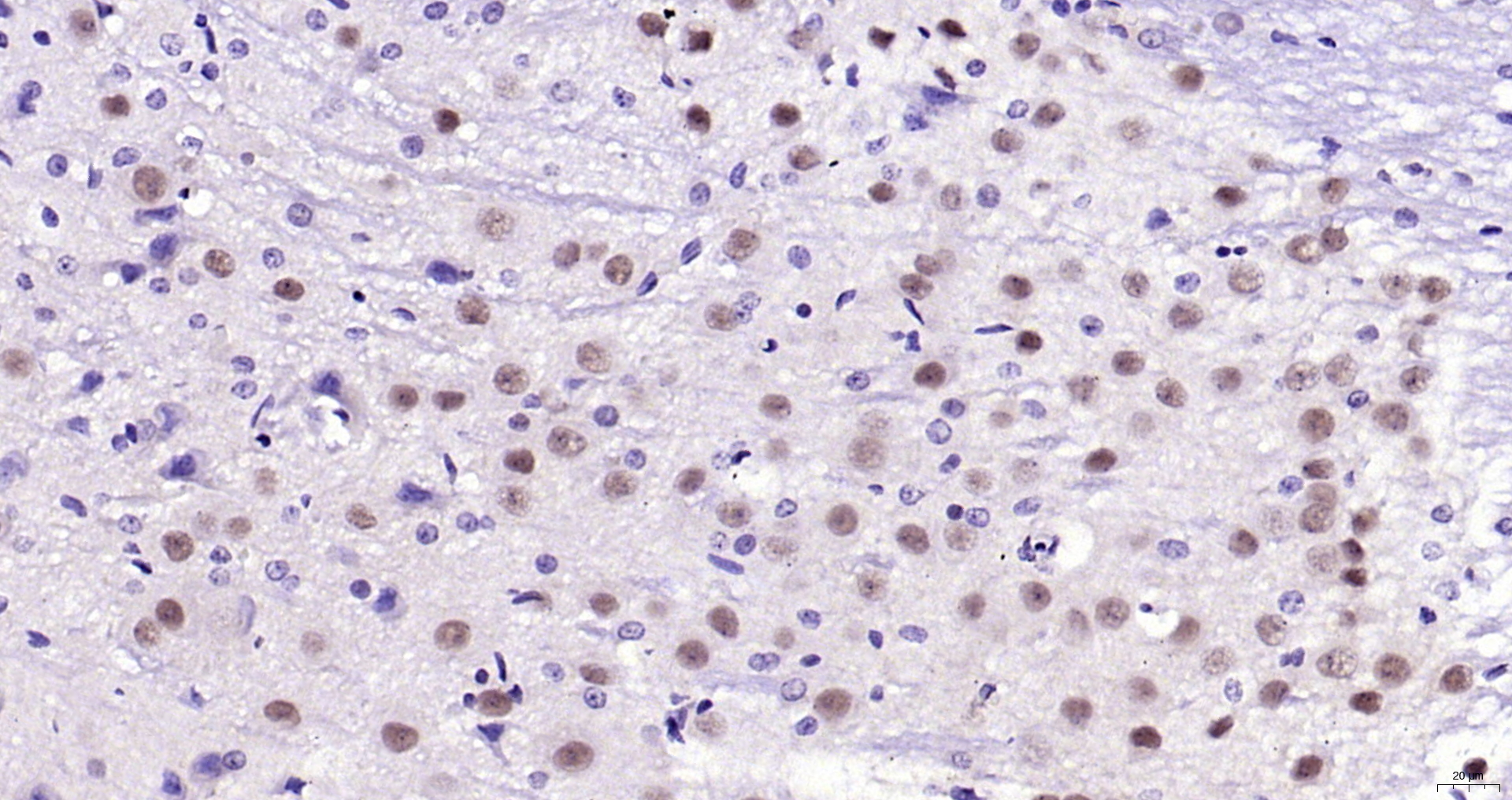
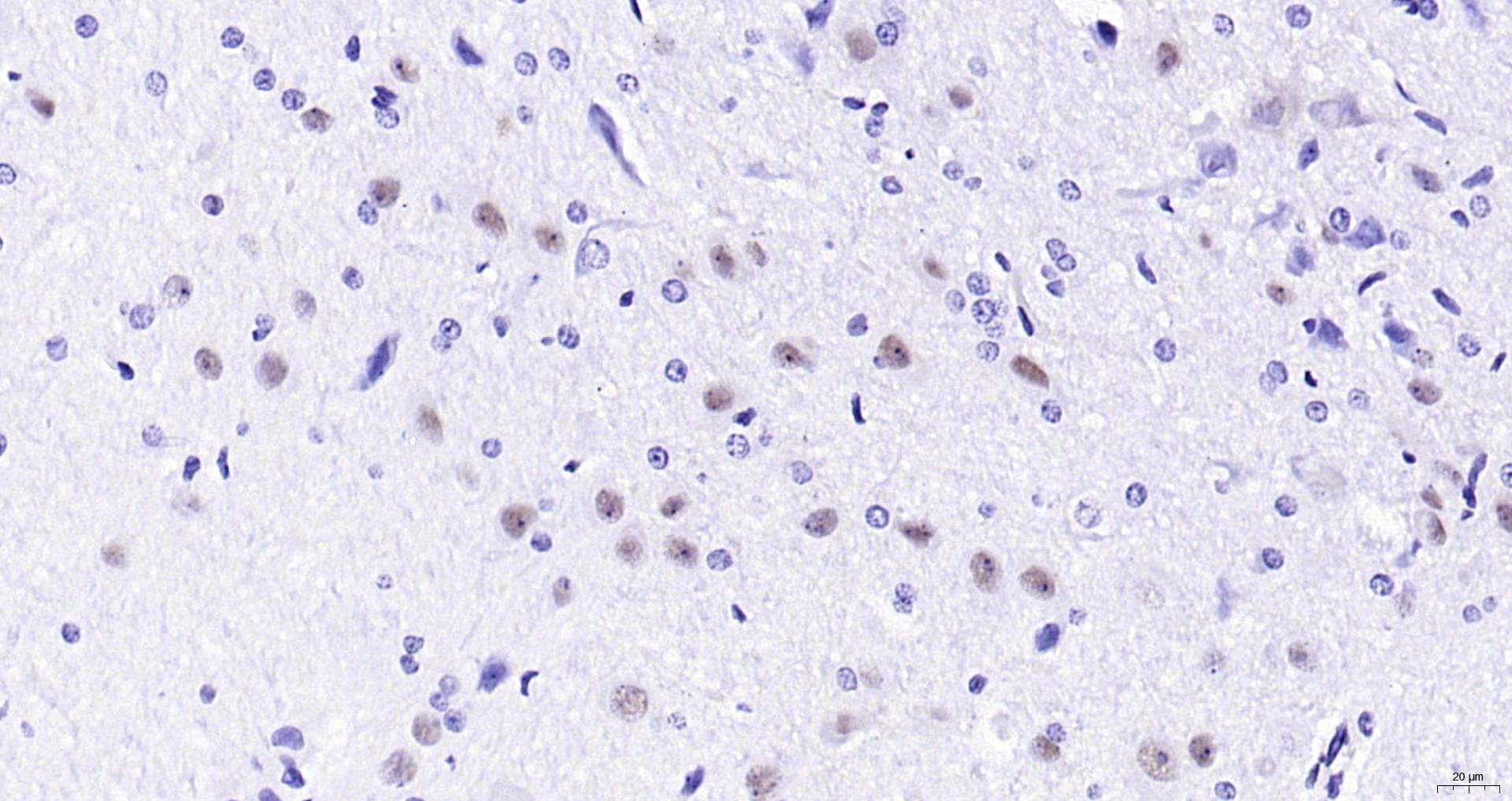
Product Name NOVA1 Polyclonal Antibody
Applications WB, ELISA, IHC-P, IHC-F, IF(IHC-P), IF(IHC-F), IF(ICC)
Reactivity Human, Mouse, Rat
Predicted Reactivity Cow, Chicken
Specifications
Conjugation Unconjugated
Host Rabbit
Source KLH conjugated synthetic peptide derived from human NOVA1
Clonality Polyclonal
Clone # #REF!
Isotype IgG
Concentration 1ug/ul
Purification Purified by Protein A.
Storage Buffer 0.01M TBS(pH7.4) with 1% BSA, 0.02% Proclin300 and 50% Glycerol.
Storage Condition Shipped at 4C. Store at -20C for one year. Avoid repeated freeze/thaw cycles.
Target
Swiss Prot P51513
Subcellular location Nucleus
Synonyms Neuro oncological ventral antigen 1; Neuro-oncological ventral antigen 1; NOVA 1; Nova-1; Nova1; NOVA1_HUMAN; Onconeural ventral antigen 1; Paraneoplastic Ri antigen; RNA binding protein Nova 1; RNA-binding protein Nova-1; Ventral neuron specic protein 1; Ventral neuron-specic protein 1.
Background Nova-1 and Nova-2 are members of a superfamily of protein regulators of RNA metabolism in neurons. Both are nuclear RNA binding proteins with K homology motifs, conserved protein sequences which bind to RNA (1,2). Nova proteins, normally sequestered in the central nervous system, are expressed by systemic tumors in patients with the autoimmune disorder paraneoplastic opsoclonus-myoclonus ataxia (POMA) (3,4). Nova-1 is expressed in the hindbrain and ventral spinal cord and Nova-2 is expressed in the neocortex and hippocampus (4). Nova-1 is necessary for regulating neuron-specific alternative splicing of the glycine receptor Alpha2 pre-mRNA (5).
Application Dilution
WB 1:300-5000
ELISA 1:500-1000
IHC-P 1:200-400
IHC-F 1:100-500
IF(IHC-P) 1:50-200
IF(IHC-F) 1:50-200
IF(ICC) 1:50-200