Receive 30% off all Monoclonal IHC antibodies with code "MONO-IHC-30"! Offer valid for US customers and available internationally through distributors.

CWC22 Polyclonal Antibody

Applications

  • ELISA
  • IHC-P
  • IHC-F
  • IF(IHC-P)
  • IF(IHC-F)
  • IF(ICC)

Reactivity

  • Mouse
  • Rat

Predicted Reactivity

  • Human
  • Dog
  • Cow
  • Sheep
  • Pig
  • Horse
  • Chicken
  • Rabbit
Overview
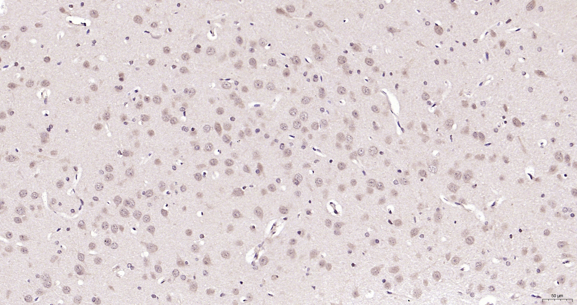
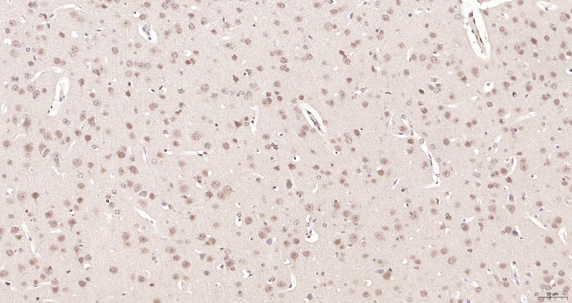
Catalog # bs-11464R
Product Name CWC22 Polyclonal Antibody
Applications ELISA, IHC-P, IHC-F, IF(IHC-P), IF(IHC-F), IF(ICC)
Reactivity Mouse, Rat
Predicted Reactivity Human, Dog, Cow, Sheep, Pig, Horse, Chicken, Rabbit
Specifications
Conjugation Unconjugated
Host Rabbit
Source KLH conjugated synthetic peptide derived from human CWC22
Clonality Polyclonal
Clone # #REF!
Isotype IgG
Concentration 1ug/ul
Purification Purified by Protein A.
Storage Buffer 0.01M TBS(pH7.4) with 1% BSA, 0.02% Proclin300 and 50% Glycerol.
Storage Condition Shipped at 4C. Store at -20C for one year. Avoid repeated freeze/thaw cycles.
Target
Gene ID 57703
Subcellular location Nucleus
Synonyms CWC22; CWC22 spliceosome associated protein homolog S. cerevisiae; CWC22 spliceosome associated protein homolog; CWC22_HUMAN; E4GL; fSAPb; Functional spliceosome associated protein b; KIAA1604; NCM; Nucampholin homolog; Pre-mRNA-splicing factor CWC22 homolog.
Background Spliceosomes are multi-protein complexes that are composed of snRNPs (small nuclear ribonucleoproteins) and a variety of associated protein factors, all of which work in concert to regulate the splicing of pre-mRNA, a critical step in the post-transcriptional regulation of gene expression. CWC22 (CWC22 spliceosome-associated protein), also known as NCM, fSAPb or EIF4GL, is a 908 amino acid nuclear protein and component of the spliceosome C complex. CWC22 is associated with the spliceosome prior to catalytic steps and remains associated throughout the reaction. Belonging to the CWC22 family, CW22 contains one MI domain and a MIF4G domain. The gene encoding CWC22 maps to human chromosome 2q31.3. As the second largest human chromosome, chromosome 2 makes up approximately 8% of the human genome and contains 237 million bases encoding over 1,400 genes.
Application Dilution
ELISA 1:500-1000
IHC-P 1:200-400
IHC-F 1:100-500
IF(IHC-P) 1:50-200
IF(IHC-F) 1:50-200
IF(ICC) 1:50-200