RECEIVE 25% OFF PUBLISHED ANTIBODIES WITH CODE "PUB25"! Offer valid for US customers and available internationally through distributors.

Calcipressin 3 Polyclonal Antibody

Applications

  • WB
  • ELISA
  • IHC-P
  • IHC-F
  • IF(IHC-P)
  • IF(IHC-F)
  • IF(ICC)

Reactivity

  • Mouse
  • Rat

Predicted Reactivity

  • Human
  • Dog
  • Cow
  • Sheep
  • Pig
  • Chicken
  • Rabbit
Overview
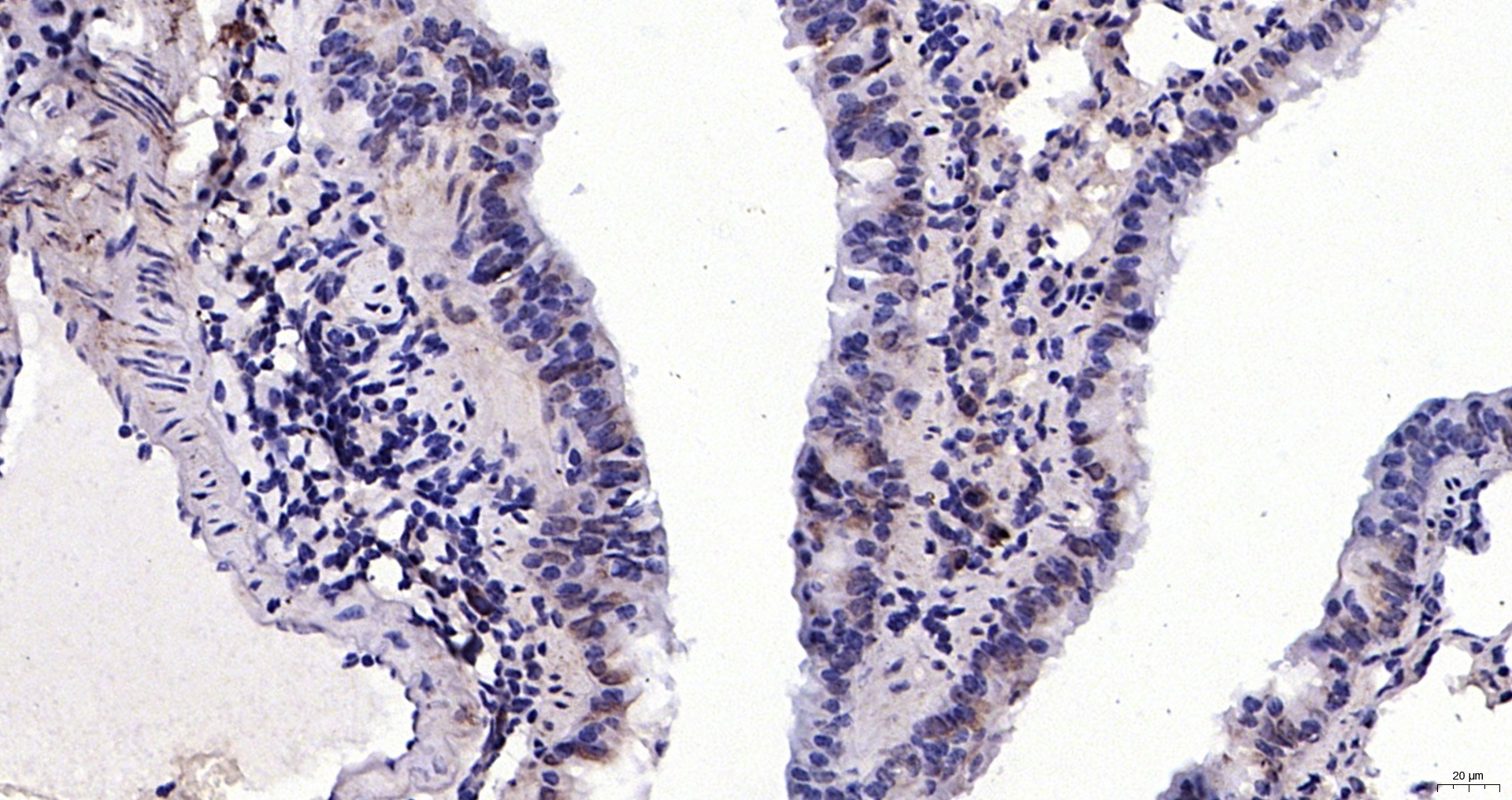
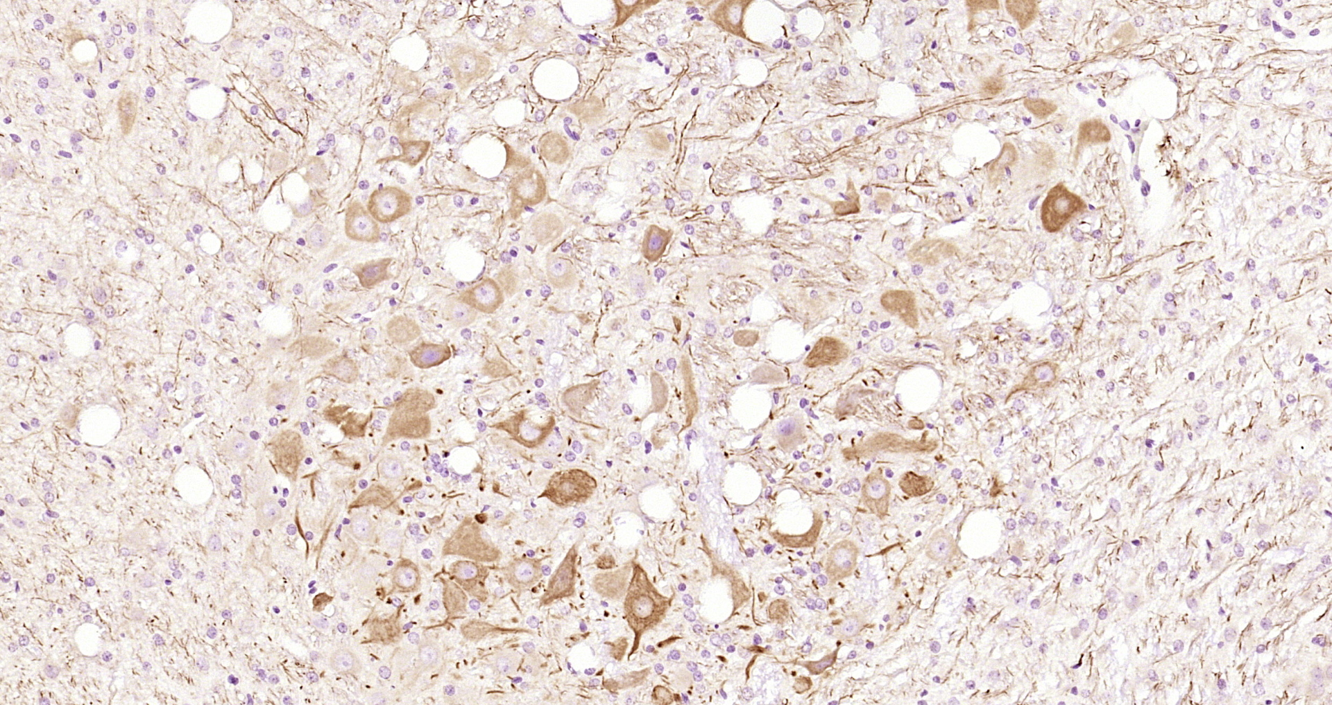
Catalog # bs-11542R
Product Name Calcipressin 3 Polyclonal Antibody
Applications WB, ELISA, IHC-P, IHC-F, IF(IHC-P), IF(IHC-F), IF(ICC)
Reactivity Mouse, Rat
Predicted Reactivity Human, Dog, Cow, Sheep, Pig, Chicken, Rabbit
Specifications
Conjugation Unconjugated
Host Rabbit
Source KLH conjugated synthetic peptide derived from human Calcipressin 3
Clonality Polyclonal
Clone # #REF!
Isotype IgG
Concentration 1ug/ul
Purification Purified by Protein A.
Storage Buffer 0.01M TBS(pH7.4) with 1% BSA, 0.02% Proclin300 and 50% Glycerol.
Storage Condition Shipped at 4C. Store at -20C for one year. Avoid repeated freeze/thaw cycles.
Target
Subcellular location Cytoplasm
Synonyms Calcipressin-3; Down syndrome candidate region 1 like 2; regulator of calcineurin 3; Down syndrome candidate region 1 like protein 2; Down syndrome candidate region 1-like protein 2; Down syndrome critical region gene 1 like 2; DSCR1L2; hRCN3; MCIP3; Myocyte enriched calcineurin interacting protein 3; Myocyte-enriched calcineurin-interacting protein 3; RCAN family member 3; RCAN3; RCAN3_HUMAN; RCN3; Regulator of calcineurin 3.
Background Calcineurin is a Ca(2+) dependent protein phosphatase that is involed in several neuornal functions. Proteins belonging to the RCAN (Regulator of calcineurin) family modulate the activity of Calcineurin through a valine-rich region within their carboxyl tail. RCANs compete with NFATs (Nuclear factor of activated T-cells) for binding to the same docking site in calcineurin, which results in either inhibition or activation of calcineurin activity. Calcipressin-2, also known as RCAN2 and DSCR1L1 (Down syndrome candidate region 1-like 1), is a 197 amino acid protein that is highly expressed in both the cytoplasm and nucleus of neurons and is the only RCAN family member that is found in glial cells. Calcipressin-3, also known as RCAN3 and DSCR1L2 (Down syndrome candidate region 1-like protein 2), is a 241 amino acid protein that potentially is involved in central nervous system development. Calcipressin-3 interacts with cardiac troponin I, suggesting that it may play a role in cardiac contraction events.
Application Dilution
WB 1:300-5000
ELISA 1:500-1000
IHC-P 1:200-400
IHC-F 1:100-500
IF(IHC-P) 1:50-200
IF(IHC-F) 1:50-200
IF(ICC) 1:50-200