Receive 30% off all Monoclonal IHC antibodies with code "MONO-IHC-30"! Offer valid for US customers and available internationally through distributors.

LINGO1 Polyclonal Antibody

Applications

  • ELISA
  • IHC-P
  • IHC-F
  • IF(IHC-P)
  • IF(IHC-F)
  • IF(ICC)

Reactivity

  • Mouse
  • Rat

Predicted Reactivity

  • Human
  • Dog
  • Cow
  • Pig
  • Horse
  • Chicken
Overview
Catalog # bs-1177R
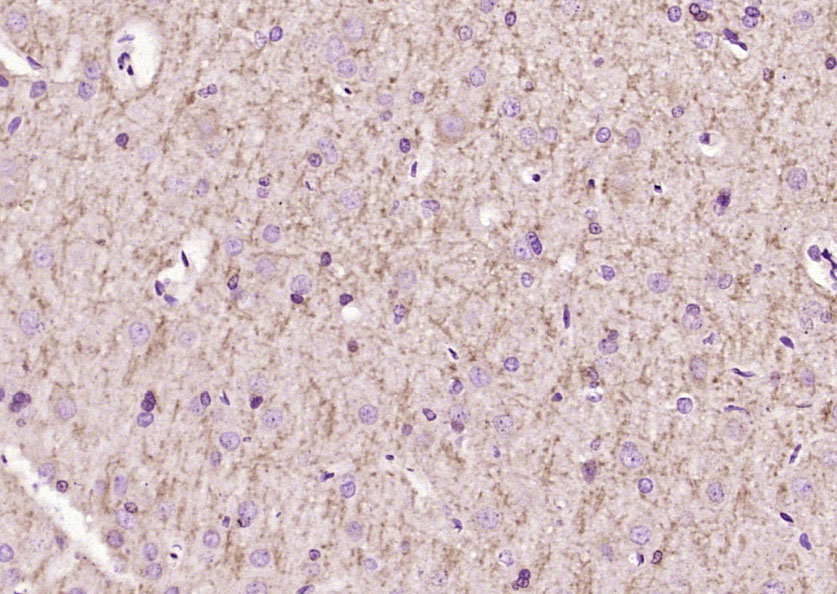
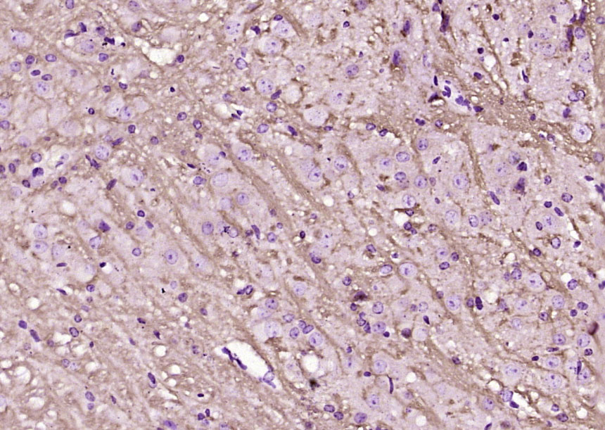
Product Name LINGO1 Polyclonal Antibody
Applications ELISA, IHC-P, IHC-F, IF(IHC-P), IF(IHC-F), IF(ICC)
Reactivity Mouse, Rat
Predicted Reactivity Human, Dog, Cow, Pig, Horse, Chicken
Specifications
Conjugation Unconjugated
Host Rabbit
Source KLH conjugated synthetic peptide derived from human Lingo-1
Clonality Polyclonal
Clone # #REF!
Isotype IgG
Concentration 1ug/ul
Purification Purified by Protein A.
Storage Buffer 0.01M TBS(pH7.4) with 1% BSA, 0.02% Proclin300 and 50% Glycerol.
Storage Condition Shipped at 4_. Store at -20_ for one year. Avoid repeated freeze/thaw cycles.
Target
Gene ID 84894
Swiss Prot Q96FE5
Subcellular location Cell membrane
Synonyms Leucine-rich repeat and immunoglobulin-like domain-containing nogo receptor-interacting protein 1; Leucine-rich repeat and immunoglobulin domain-containing protein 1; Leucine-rich repeat neuronal protein 1; Leucine-rich repeat neuronal protein 6A; LINGO1; LERN1; LRRN6A; UNQ201/PRO227
Background Functional component of the Nogo receptor signaling complex (RTN4R/NGFR) in RhoA activation responsible for some inhibition of axonal regeneration by myelin-associated factors. Is also an important negative regulator of oligodentrocyte differentiation and axonal myelination. Acts in conjunction with RTN4 and RTN4R in regulating neuronal precursor cell motility during cortical development (By similarity).
Application Dilution
ELISA 1:500-1000
IHC-P 1:200-400
IHC-F 1:100-500
IF(IHC-P) 1:50-200
IF(IHC-F) 1:50-200
IF(ICC) 1:50-200