Receive 30% off all Monoclonal IHC antibodies with code "MONO-IHC-30"! Offer valid for US customers and available internationally through distributors.

RBFOX2 Polyclonal Antibody

Applications

  • WB
  • ELISA
  • IHC-P
  • IHC-F
  • IF(IHC-P)
  • IF(IHC-F)
  • IF(ICC)

Reactivity

  • Mouse

Predicted Reactivity

  • Human
  • Rat
  • Dog
  • Cow
  • Sheep
  • Pig
  • Horse
  • Rabbit
Overview
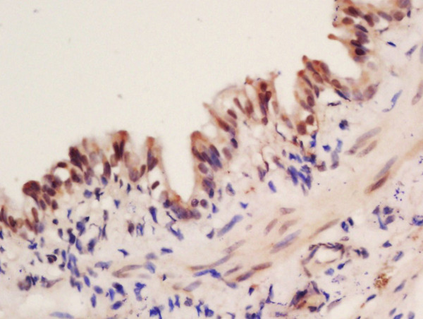
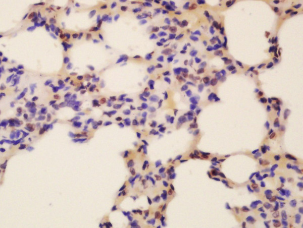
Catalog # bs-12299R
Product Name RBFOX2 Polyclonal Antibody
Applications WB, ELISA, IHC-P, IHC-F, IF(IHC-P), IF(IHC-F), IF(ICC)
Specificity Based on the similarity of the proteins, there is a chance that it will cross react with FOX1, but it is non-sequential homology.
Reactivity Mouse
Predicted Reactivity Human, Rat, Dog, Cow, Sheep, Pig, Horse, Rabbit
Specifications
Conjugation Unconjugated
Host Rabbit
Source KLH conjugated synthetic peptide derived from human Fox2/RBM9
Clonality Polyclonal
Clone # #REF!
Isotype IgG
Concentration 1ug/ul
Purification Purified by Protein A.
Storage Buffer 0.01M TBS(pH7.4) with 1% BSA, 0.02% Proclin300 and 50% Glycerol.
Storage Condition Shipped at 4_. Store at -20_ for one year. Avoid repeated freeze/thaw cycles.
Target
Gene ID 23543
Swiss Prot O43251
Subcellular location Cytoplasm, Nucleus
Synonyms RTA; fxh; FOX2; RBM9; Fox-2; HNRBP2; HRNBP2; dJ106I20.3; RNA binding protein fox-1 homolog 2; Fox-1 homolog B; Hexaribonucleotide-binding protein 2; RNA-binding motif protein 9; RNA-binding protein 9; Repressor of tamoxifen transcriptional activity; RBFOX2
Background RNA-binding protein that regulates alternative splicing events by binding to 5'-UGCAUGU-3' elements. Prevents binding of U2AF2 to the 3'-splice site. Regulates alternative splicing of tissue-specific exons and of differentially spliced exons during erythropoiesis (By similarity). RNA-binding protein that seems to act as a coregulatory factor of ER-alpha.
Application Dilution
WB 1:300-5000
ELISA 1:500-1000
IHC-P 1:200-400
IHC-F 1:100-500
IF(IHC-P) 1:50-200
IF(IHC-F) 1:50-200
IF(ICC) 1:50-200