Receive 30% off all Monoclonal IHC antibodies with code "MONO-IHC-30"! Offer valid for US customers and available internationally through distributors.

GSC Polyclonal Antibody

Applications

  • ELISA
  • IHC-P
  • IHC-F
  • IF(IHC-P)
  • IF(IHC-F)
  • IF(ICC)

Reactivity

  • Rat

Predicted Reactivity

  • Human
  • Mouse
  • Dog
  • Cow
  • Sheep
  • Pig
  • Chicken
  • Rabbit
  • Zebrafish
Overview
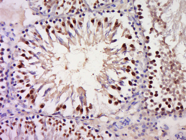
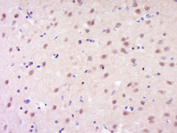
Catalog # bs-12352R
Product Name GSC Polyclonal Antibody
Applications ELISA, IHC-P, IHC-F, IF(IHC-P), IF(IHC-F), IF(ICC)
Reactivity Rat
Predicted Reactivity Human, Mouse, Dog, Cow, Sheep, Pig, Chicken, Rabbit, Zebrafish
Specifications
Conjugation Unconjugated
Host Rabbit
Source KLH conjugated synthetic peptide derived from human GSC
Clonality Polyclonal
Clone # #REF!
Isotype IgG
Concentration 1ug/ul
Purification Purified by Protein A.
Storage Buffer 0.01M TBS(pH7.4) with 1% BSA, 0.02% Proclin300 and 50% Glycerol.
Storage Condition Shipped at 4C. Store at -20C for one year. Avoid repeated freeze/thaw cycles.
Target
Gene ID 145258
Subcellular location Nucleus
Synonyms Goosecoid; goosecoid homeobox; GSC; GSC_HUMAN; homeobox protein goosecoid-like; homeobox protein goosecoid-2; Homeobox protein goosecoid; GSC 2; GSCL; Homeobox protein goosecoid 2; Homeobox protein goosecoid like.
Background Goosecoid is a homeodomain transcription factor with DNA binding specificity identical to that of the anterior morphogen 'bicoid' in Drosophila.During mouse embryogenesis, GSC influences development of the lower mandible and its associated musculature, including the tongue, the nasal cavity, and the nasal pits, as well as components of the inner ear and the external auditory meatus. The GSC gene encodes a member of the bicoid subfamily of the paired (PRD) homeobox family of proteins.
Application Dilution
ELISA 1:500-1000
IHC-P 1:200-400
IHC-F 1:100-500
IF(IHC-P) 1:50-200
IF(IHC-F) 1:50-200
IF(ICC) 1:50-200