Receive 30% off all Monoclonal IHC antibodies with code "MONO-IHC-30"! Offer valid for US customers and available internationally through distributors.

BAMBI Polyclonal Antibody

Applications

  • WB
  • ELISA
  • IHC-P
  • IHC-F
  • IF(IHC-P)
  • IF(IHC-F)
  • IF(ICC)

Reactivity

  • Human
  • Mouse

Predicted Reactivity

  • Rat
  • Dog
  • Cow
  • Sheep
  • Pig
  • Rabbit
  • GuineaPig
Overview
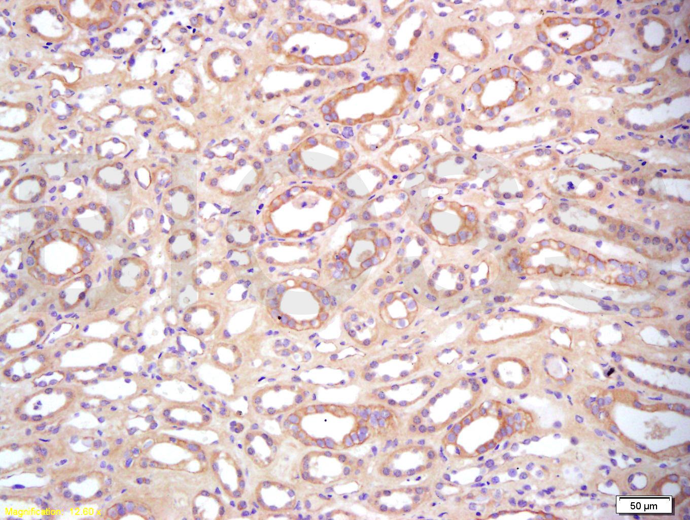
Catalog # bs-12418R
Product Name BAMBI Polyclonal Antibody
Applications WB, ELISA, IHC-P, IHC-F, IF(IHC-P), IF(IHC-F), IF(ICC)
Reactivity Human, Mouse
Predicted Reactivity Rat, Dog, Cow, Sheep, Pig, Rabbit, GuineaPig
Specifications
Conjugation Unconjugated
Host Rabbit
Source KLH conjugated synthetic peptide derived from human BAMBI
Clonality Polyclonal
Clone # #REF!
Isotype IgG
Concentration 1ug/ul
Purification Purified by Protein A.
Storage Buffer 0.01M TBS(pH7.4) with 1% BSA, 0.02% Proclin300 and 50% Glycerol.
Storage Condition Shipped at 4C. Store at -20C for one year. Avoid repeated freeze/thaw cycles.
Target
Gene ID 25805
Swiss Prot Q13145
Subcellular location Cell membrane
Synonyms NMA; BMP and activin membrane-bound inhibitor homolog; Non-metastatic gene A protein; Putative transmembrane protein NMA; BAMBI
Background BAMBI is a membrane spanning glycoprotein that acts as a negative regulator of TGF-beta signaling during development. The BAMBI family of proteins are related to type I TGF-beta receptor family, however, BAMBI is a pseudoreceptor that lacks an intracellular serine/threonine kinase domain. BAMBI transcription regulation is under the influence of beta-catenin, BMP, smad3 and smad4. BAMBI expression can increase in colorectal and hepatocellular carcinomas relative to non-cancerous tissues. BAMBI is expressed at high levels during odontogenesis. BAMBI is coexpressed with Bmp-4 during early Xenopus embryogenesis and can be detected in poorly metastatic human melanoma cell lines.
Application Dilution
WB 1:300-5000
ELISA 1:500-1000
IHC-P 1:200-400
IHC-F 1:100-500
IF(IHC-P) 1:50-200
IF(IHC-F) 1:50-200
IF(ICC) 1:50-200