Receive 30% off all Monoclonal IHC antibodies with code "MONO-IHC-30"! Offer valid for US customers and available internationally through distributors.

PLEKHG5 Polyclonal Antibody

Applications

  • ELISA
  • IHC-P
  • IHC-F
  • IF(IHC-P)
  • IF(IHC-F)
  • IF(ICC)

Reactivity

  • Mouse
  • Rat

Predicted Reactivity

  • Human
  • Dog
  • Cow
  • Pig
  • Horse
  • Rabbit
Overview
Catalog # bs-12455R
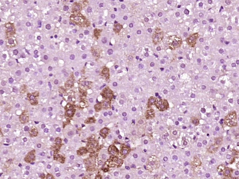
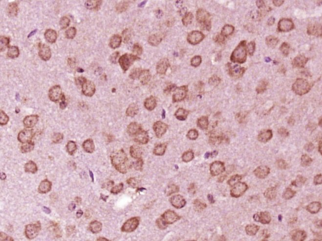
Product Name PLEKHG5 Polyclonal Antibody
Applications ELISA, IHC-P, IHC-F, IF(IHC-P), IF(IHC-F), IF(ICC)
Reactivity Mouse, Rat
Predicted Reactivity Human, Dog, Cow, Pig, Horse, Rabbit
Specifications
Conjugation Unconjugated
Host Rabbit
Source KLH conjugated synthetic peptide derived from human PLEKHG5
Clonality Polyclonal
Clone # #REF!
Isotype IgG
Concentration 1ug/ul
Purification Purified by Protein A.
Storage Buffer 0.01M TBS(pH7.4) with 1% BSA, 0.02% Proclin300 and 50% Glycerol.
Storage Condition Shipped at 4C. Store at -20C for one year. Avoid repeated freeze/thaw cycles.
Target
Gene ID 57449
Swiss Prot O94827
Subcellular location Cytoplasm
Synonyms PKHG5_HUMAN; Pleckstrin homology domain-containing family G member 5; PH domain-containing family G member 5; Guanine nucleotide exchange factor 720; GEF720.
Background This gene encodes a protein that activates the nuclear factor kappa B (NFKB1) signaling pathway. Mutations in this gene are associated with autosomal recessive distal spinal muscular atrophy. Multiple transcript variants encoding different isoforms have been found for this gene. [provided by RefSeq, May 2012]
Application Dilution
ELISA 1:500-1000
IHC-P 1:200-400
IHC-F 1:100-500
IF(IHC-P) 1:50-200
IF(IHC-F) 1:50-200
IF(ICC) 1:50-200