Receive 30% off all Monoclonal IHC antibodies with code "MONO-IHC-30"! Offer valid for US customers and available internationally through distributors.

PEX13 Polyclonal Antibody

Applications

  • ELISA
  • IHC-P
  • IHC-F
  • IF(IHC-P)
  • IF(IHC-F)
  • IF(ICC)

Reactivity

  • Mouse
  • Rat

Predicted Reactivity

  • Human
  • Dog
  • Cow
  • Sheep
  • Rabbit
Overview
Catalog # bs-12620R
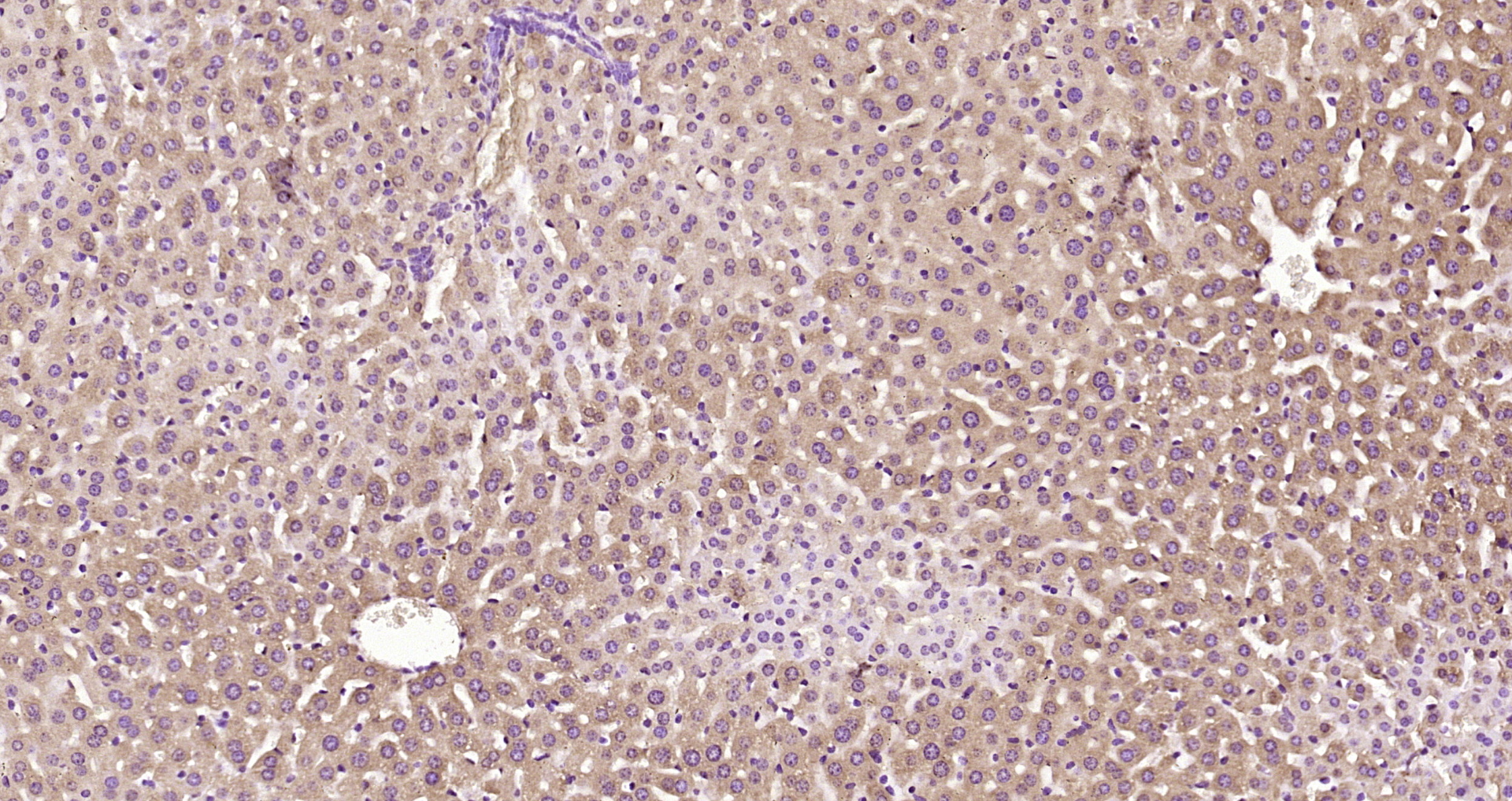
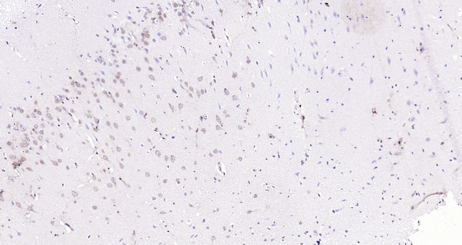
Product Name PEX13 Polyclonal Antibody
Applications ELISA, IHC-P, IHC-F, IF(IHC-P), IF(IHC-F), IF(ICC)
Reactivity Mouse, Rat
Predicted Reactivity Human, Dog, Cow, Sheep, Rabbit
Specifications
Conjugation Unconjugated
Host Rabbit
Source KLH conjugated synthetic peptide derived from human PEX13
Clonality Polyclonal
Clone # #REF!
Isotype IgG
Concentration 1ug/ul
Purification Purified by Protein A.
Storage Buffer 0.01M TBS(pH7.4) with 1% BSA, 0.02% Proclin300 and 50% Glycerol.
Storage Condition Shipped at 4C. Store at -20C for one year. Avoid repeated freeze/thaw cycles.
Target
Gene ID 5194
Swiss Prot Q92968
Subcellular location Cytoplasm, Cell membrane
Synonyms 2610008O20Rik; NALD; OTTMUSP00000005454; Peroxin 13; Peroxin-13; Peroxin13; Peroxisomal membrane protein PEX 13; Peroxisomal membrane protein PEX13; Peroxisome biogenesis factor 13; PEX 13; pex13; PEX13_HUMAN; RP23-188K3.1; ZWS.
Background Component of the peroxisomal translocation machinery with PEX14 and PEX17. Functions as a docking factor for the predominantly cytoplasmic PTS1 receptor (PAS10/PEX5). Involved in the import of PTS1 and PTS2 proteins.
Application Dilution
ELISA 1:500-1000
IHC-P 1:200-400
IHC-F 1:100-500
IF(IHC-P) 1:50-200
IF(IHC-F) 1:50-200
IF(ICC) 1:50-200