Receive 30% off all Monoclonal IHC antibodies with code "MONO-IHC-30"! Offer valid for US customers and available internationally through distributors.

ZNF22 Polyclonal Antibody

Applications

  • ELISA
  • IHC-P
  • IHC-F
  • IF(IHC-P)
  • IF(IHC-F)
  • IF(ICC)

Reactivity

  • Mouse
  • Rat

Predicted Reactivity

  • Human
  • Dog
  • Cow
  • Pig
  • Horse
Overview
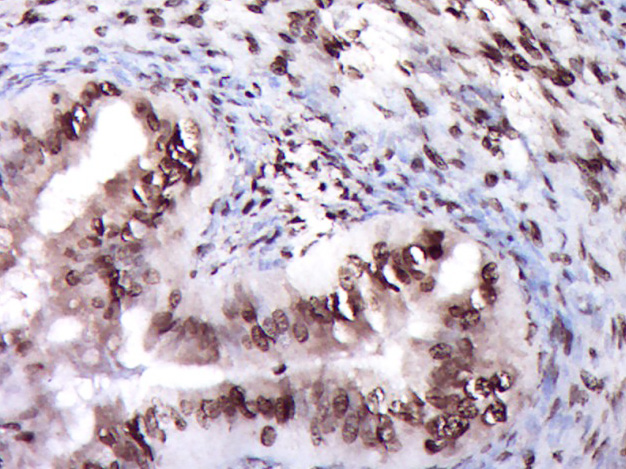
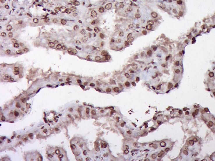
Catalog # bs-12803R
Product Name ZNF22 Polyclonal Antibody
Applications ELISA, IHC-P, IHC-F, IF(IHC-P), IF(IHC-F), IF(ICC)
Reactivity Mouse, Rat
Predicted Reactivity Human, Dog, Cow, Pig, Horse
Specifications
Conjugation Unconjugated
Host Rabbit
Source KLH conjugated synthetic peptide derived from human ZNF22
Clonality Polyclonal
Clone # #REF!
Isotype IgG
Concentration 1ug/ul
Purification Purified by Protein A.
Storage Buffer 0.01M TBS(pH7.4) with 1% BSA, 0.02% Proclin300 and 50% Glycerol.
Storage Condition Shipped at 4C. Store at -20C for one year. Avoid repeated freeze/thaw cycles.
Target
Gene ID 7570
Swiss Prot P17026
Subcellular location Nucleus
Synonyms HKR T1; KOX 15; KOX 15; KOX15; Krox 26 protein; Krox 26 protein; KROX26; KROX26; Zfp422; Zinc finger protein 22 (KOX 15); Zinc finger protein 22; Zinc finger protein KOX15; Zinc finger protein Krox 26; Zinc finger protein Krox-26; ZNF 22; ZNF 422; Znf22; ZNF22_HUMAN; ZNF422.
Application Dilution
ELISA 1:500-1000
IHC-P 1:200-400
IHC-F 1:100-500
IF(IHC-P) 1:50-200
IF(IHC-F) 1:50-200
IF(ICC) 1:50-200