RECEIVE 25% OFF PUBLISHED ANTIBODIES WITH CODE "PUB25"! Offer valid for US customers and available internationally through distributors.

CCR7 Polyclonal Antibody

Applications

  • WB
  • ELISA
  • FCM
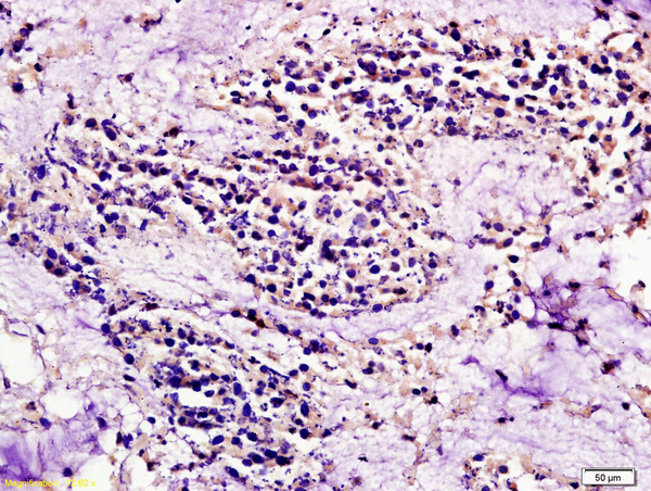
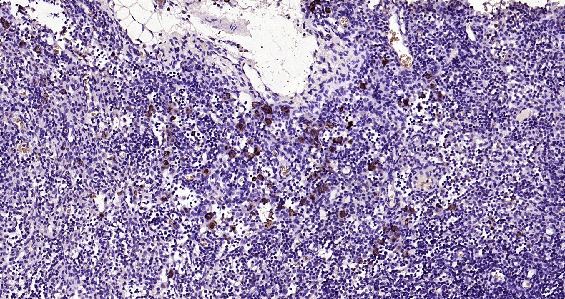
  • IHC-P
  • IHC-F
  • IF(IHC-P)
  • IF(IHC-F)
  • IF(ICC)

Reactivity

  • Human
  • Mouse
  • Rat

Predicted Reactivity

  • Dog
Overview
Catalog # bs-1305R
Product Name CCR7 Polyclonal Antibody
Applications WB, ELISA, FCM, IHC-P, IHC-F, IF(IHC-P), IF(IHC-F), IF(ICC)
Reactivity Human, Mouse, Rat
Predicted Reactivity Dog
Specifications
Conjugation Unconjugated
Host Rabbit
Source KLH conjugated synthetic peptide derived from mouse CCR7
Clonality Polyclonal
Clone # #REF!
Isotype IgG
Concentration 1ug/ul
Purification Purified by Protein A.
Storage Buffer 0.01M TBS(pH7.4) with 1% BSA, 0.02% Proclin300 and 50% Glycerol.
Storage Condition Shipped at 4_. Store at -20_ for one year. Avoid repeated freeze/thaw cycles.
Target
Gene ID 12775
Swiss Prot P47774
Subcellular location Cell membrane
Synonyms EBI1; CCR-7; CD197; Ebi1h; Cdw197; Cmkbr7; CC-CKR-7; C-C chemokine receptor type 7; C-C CKR-7; Epstein-Barr virus-induced G-protein coupled receptor 1; EBV-induced G-protein coupled receptor 1; MIP-3 beta receptor; Ccr7
Background CCR7 is a member of the G protein coupled receptor family (subfamily : chemokine). This receptor was identified as a gene induced by the Epstein Barr virus (EBV), and is thought to be a mediator of EBV effects on B lymphocytes. CCR7 has been reported to be expressed in blood, bone marrow, lymph node, and intestine. It is particularly expressed in lymphoid tissues and in activated B and T lymphocytes and has been shown to control the migration of memory T cells to inflamed tissues, as well as stimulate dendritic cell maturation. The chemokine (C-C motif) ligand 19 (CCL19/ECL) has been reported to be a specific ligand of this receptor. ESTs have been isolated from blood, embryo, lymph node, and thymus libraries.
Application Dilution
WB 1:300-5000
ELISA 1:500-1000
FCM 1:20-100
IHC-P 1:200-400
IHC-F 1:100-500
IF(IHC-P) 1:50-200
IF(IHC-F) 1:50-200
IF(ICC) 1:50-200