Receive 30% off all Monoclonal IHC antibodies with code "MONO-IHC-30"! Offer valid for US customers and available internationally through distributors.

ADRM1 Polyclonal Antibody

Applications

  • ELISA
  • IHC-P
  • IHC-F
  • IF(IHC-P)
  • IF(IHC-F)
  • IF(ICC)

Reactivity

  • Human
  • Mouse
  • Rat

Predicted Reactivity

  • Dog
  • Cow
  • Sheep
Overview
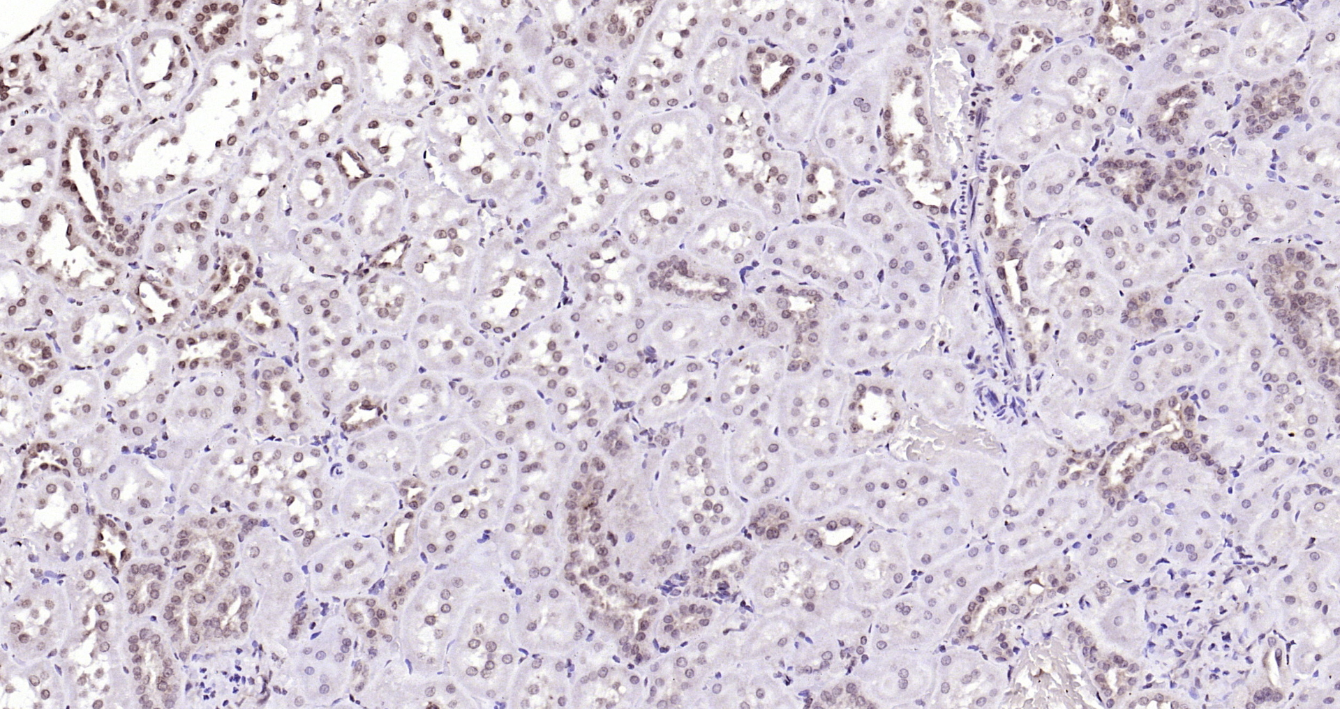
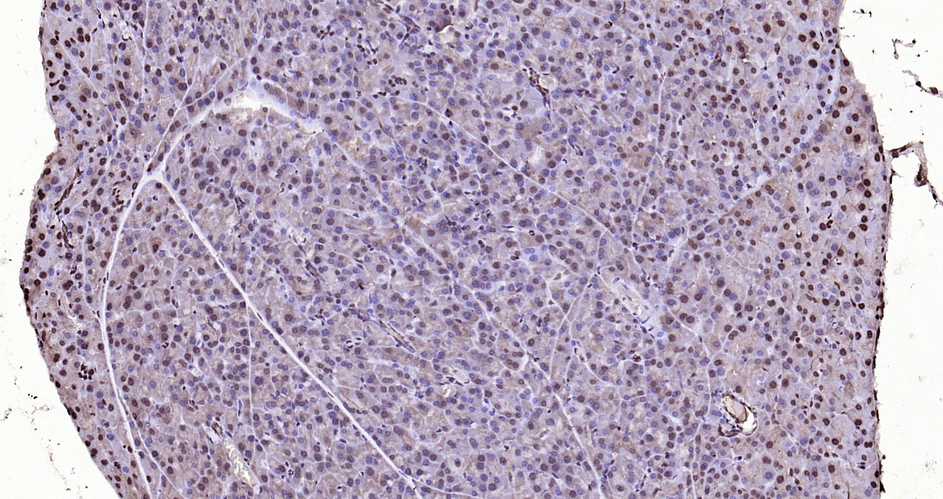
Catalog # bs-13357R
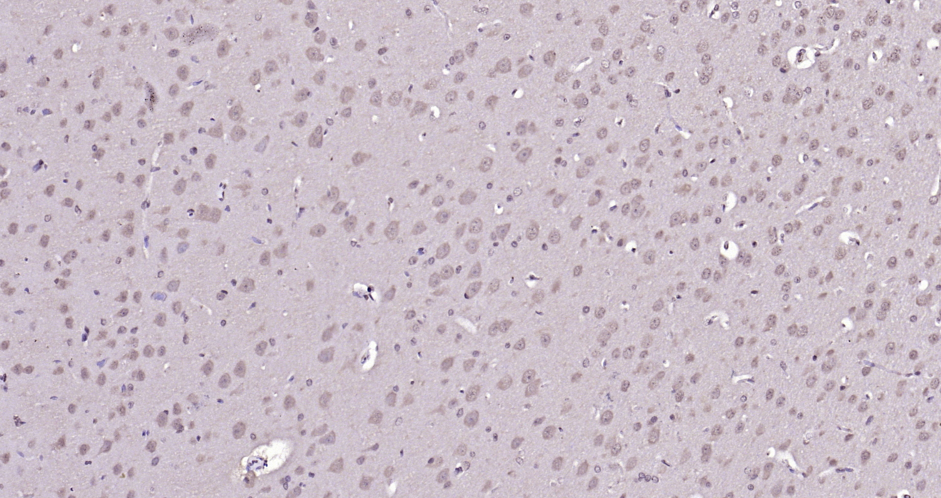
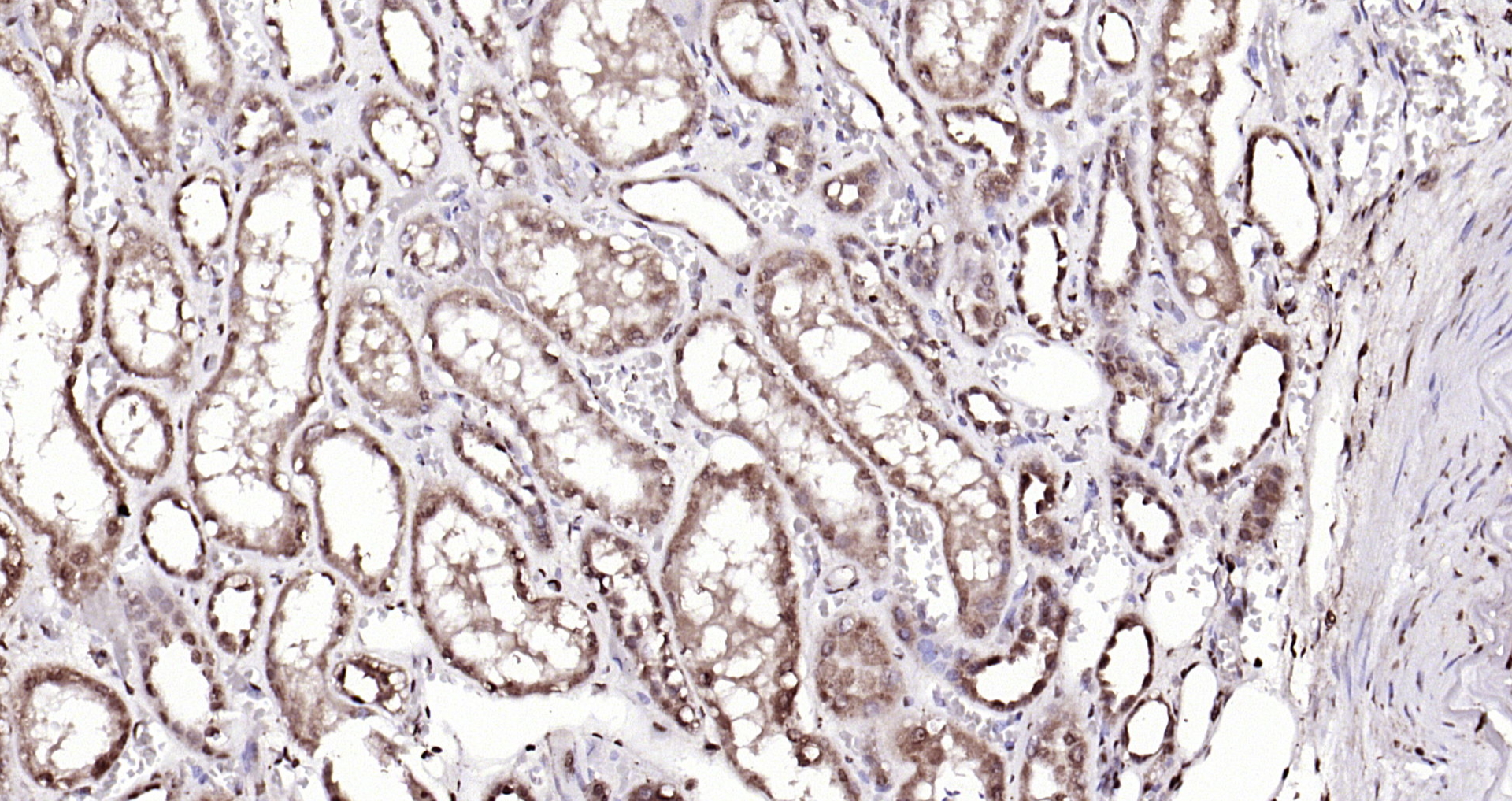
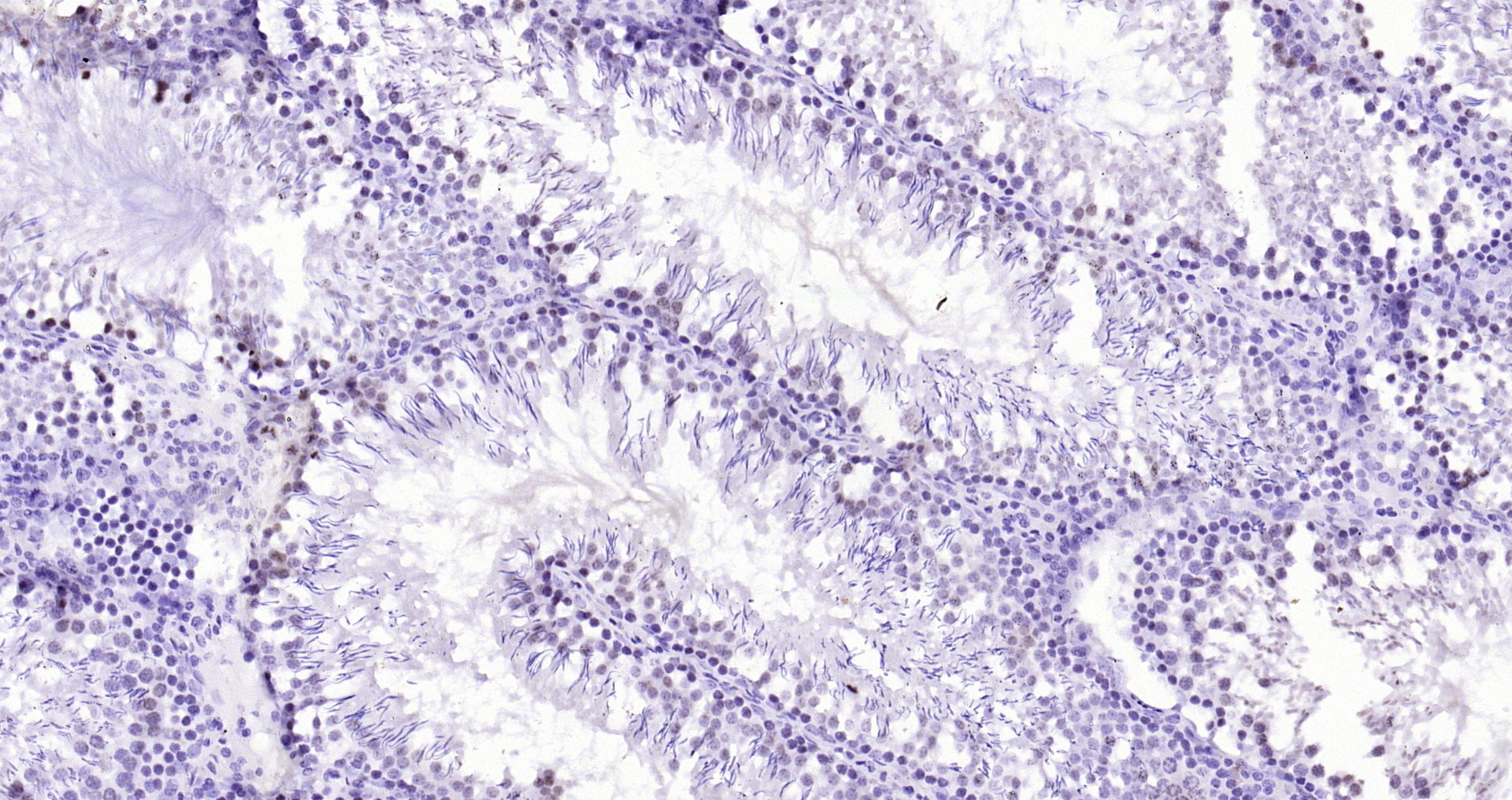
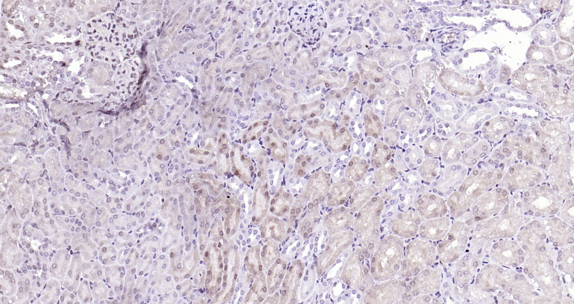
Product Name ADRM1 Polyclonal Antibody
Applications ELISA, IHC-P, IHC-F, IF(IHC-P), IF(IHC-F), IF(ICC)
Reactivity Human, Mouse, Rat
Predicted Reactivity Dog, Cow, Sheep
Specifications
Conjugation Unconjugated
Host Rabbit
Source KLH conjugated synthetic peptide derived from human ADRM1
Clonality Polyclonal
Clone # #REF!
Isotype IgG
Concentration 1ug/ul
Purification Purified by Protein A.
Storage Buffer 0.01M TBS(pH7.4) with 1% BSA, 0.02% Proclin300 and 50% Glycerol.
Storage Condition Shipped at 4C. Store at -20C for one year. Avoid repeated freeze/thaw cycles.
Target
Gene ID 11047
Subcellular location Cytoplasm, Nucleus
Synonyms 110 kDa cell membrane glycoprotein; adhesion regulating molecule 1; Adhesion-regulating molecule 1; ADRM 1; Adrm1; ADRM1_HUMAN; ARM 1; ARM-1; ARM1; GP110; hRpn13; Mr 110,000 surface antigen; Proteasomal ubiquitin receptor ADRM1; proteasome regulatory particle non ATPase 13; Proteasome regulatory particle non-ATPase 13; Regulatory particle non ATPase 13; Rpn13; Rpn13 homolog.
Background ADRM1 is a 407 amino acid protein that localizes to both the nucleus and the cytoplasm and is thought to be involved in protein recruitment and cell adhesion. An integral membrane protein, ADRM1 functions to recruit UCH-L5, a deubiquitinating enzyme, to the 26S proteasome, and once at the proteasome it promotes the activity of UCH-L5. Additionally, ADRM1 is thought to mediate lymphocyte adhesion in endothelial cells and may thus play a role in lymphocyte homing. ADRM1 expression is induced by IFN-g in some cancer cell lines and its expression is upregulated in other metastatic cells, suggesting a role in carcinogenesis. Two isoforms of ADRM1 exist due to alternative splicing events.
Application Dilution
ELISA 1:500-1000
IHC-P 1:200-400
IHC-F 1:100-500
IF(IHC-P) 1:50-200
IF(IHC-F) 1:50-200
IF(ICC) 1:50-200