| Overview |
| bs-1339R |
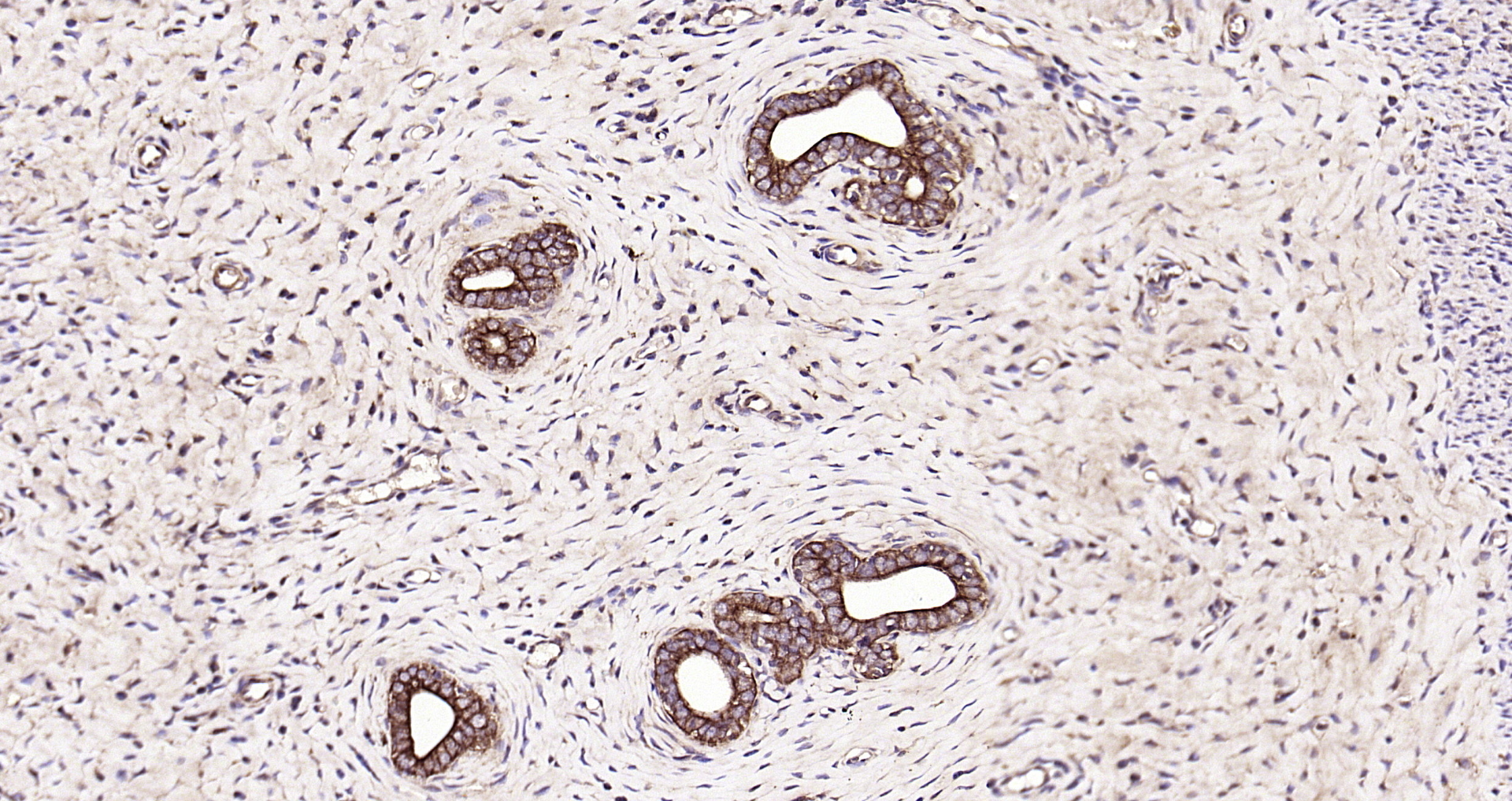
| CK18 Polyclonal Antibody |
| WB, ELISA, FCM, IHC-P, IHC-F, IF(IHC-P), IF(IHC-F), IF(ICC) |
| KO-Validated |
| Human, Rat |
| Mouse, Dog, Chicken, Rabbit |
| Specifications |
| Unconjugated |
| Rabbit |
| KLH conjugated synthetic peptide derived from human CK18 |
| Polyclonal |
| #REF! |
| IgG |
| 1ug/ul |
| Purified by Protein A. |
| 0.01M TBS(pH7.4) with 1% BSA, 0.02% Proclin300 and 50% Glycerol. |
| Shipped at 4C. Store at -20C for one year. Avoid repeated freeze/thaw cycles. |
| Target |
| 3875 |
| P05783 |
| Cytoplasm, Nucleus |
| K18; CK-18; CYK18; Keratin, type I cytoskeletal 18; Cell proliferation-inducing gene 46 protein; Cytokeratin-18; Keratin-18; KRT18; PIG46 |
| Involved in the uptake of thrombin-antithrombin complexes by hepatic cells (By similarity). When phosphorylated, plays a role in filament reorganization. Involved in the delivery of mutated CFTR to the plasma membrane. Together with KRT8, is involved in interleukin-6 (IL-6)-mediated barrier protection. |
| Application Dilution |
| WB |
1:300-5000 |
| ELISA |
1:500-1000 |
| FCM |
1:20-100 |
| IHC-P |
1:200-400 |
| IHC-F |
1:100-500 |
| IF(IHC-P) |
1:50-200 |
| IF(IHC-F) |
1:50-200 |
| IF(ICC) |
1:50-200 |