Receive 30% off all Monoclonal IHC antibodies with code "MONO-IHC-30"! Offer valid for US customers and available internationally through distributors.

GOLGA1 Polyclonal Antibody

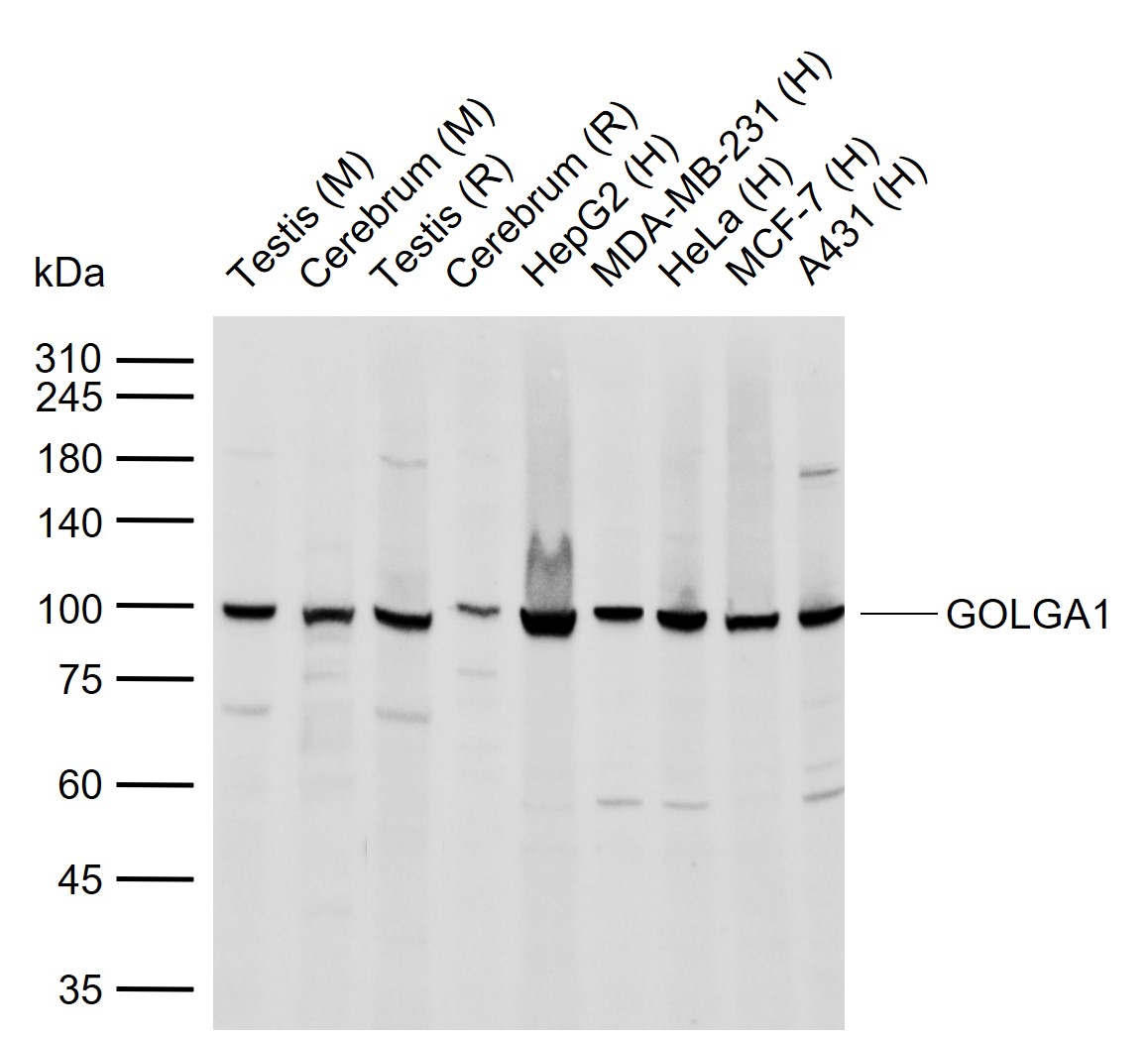
Applications

  • WB
  • ELISA

Reactivity

  • Human
  • Mouse
  • Rat

Predicted Reactivity

  • Dog
  • Pig
  • Horse
  • Rabbit
Overview
Catalog # bs-13486r
Product Name GOLGA1 Polyclonal Antibody
Applications WB, ELISA
Reactivity Human, Mouse, Rat
Predicted Reactivity Dog, Pig, Horse, Rabbit
Specifications
Conjugation Unconjugated
Host Rabbit
Source KLH conjugated synthetic peptide derived from human GOLGA1
Clonality Polyclonal
Isotype IgG
Concentration 1mg/ml
Purification Purified by Protein A.
Storage Buffer 0.01M TBS (pH7.4) with 1% BSA, 0.02% Proclin300 and 50% Glycerol.
Storage Condition Shipped at 4C. Store at -20C for one year. Avoid repeated freeze/thaw cycles.
Target
Gene ID 2800
Swiss Prot Q92805
Subcellular location Cytoplasm, Cell membrane
Synonyms GOGA1_HUMAN; Golgin subfamily A member 1; Golgin 97; Golgin-97; Golgin97;
Application Dilution
WB =1:500-2000
ELISA ELISA=1:5000-10000