Receive 30% off all Monoclonal IHC antibodies with code "MONO-IHC-30"! Offer valid for US customers and available internationally through distributors.

VHL Polyclonal Antibody

Applications

  • ELISA
  • FCM
  • IHC-P
  • IHC-F
  • IF(IHC-P)
  • IF(IHC-F)
  • IF(ICC)

Reactivity

  • Human
  • Rat

Predicted Reactivity

  • Mouse
  • Dog
  • Cow
Overview
Catalog # bs-1367R
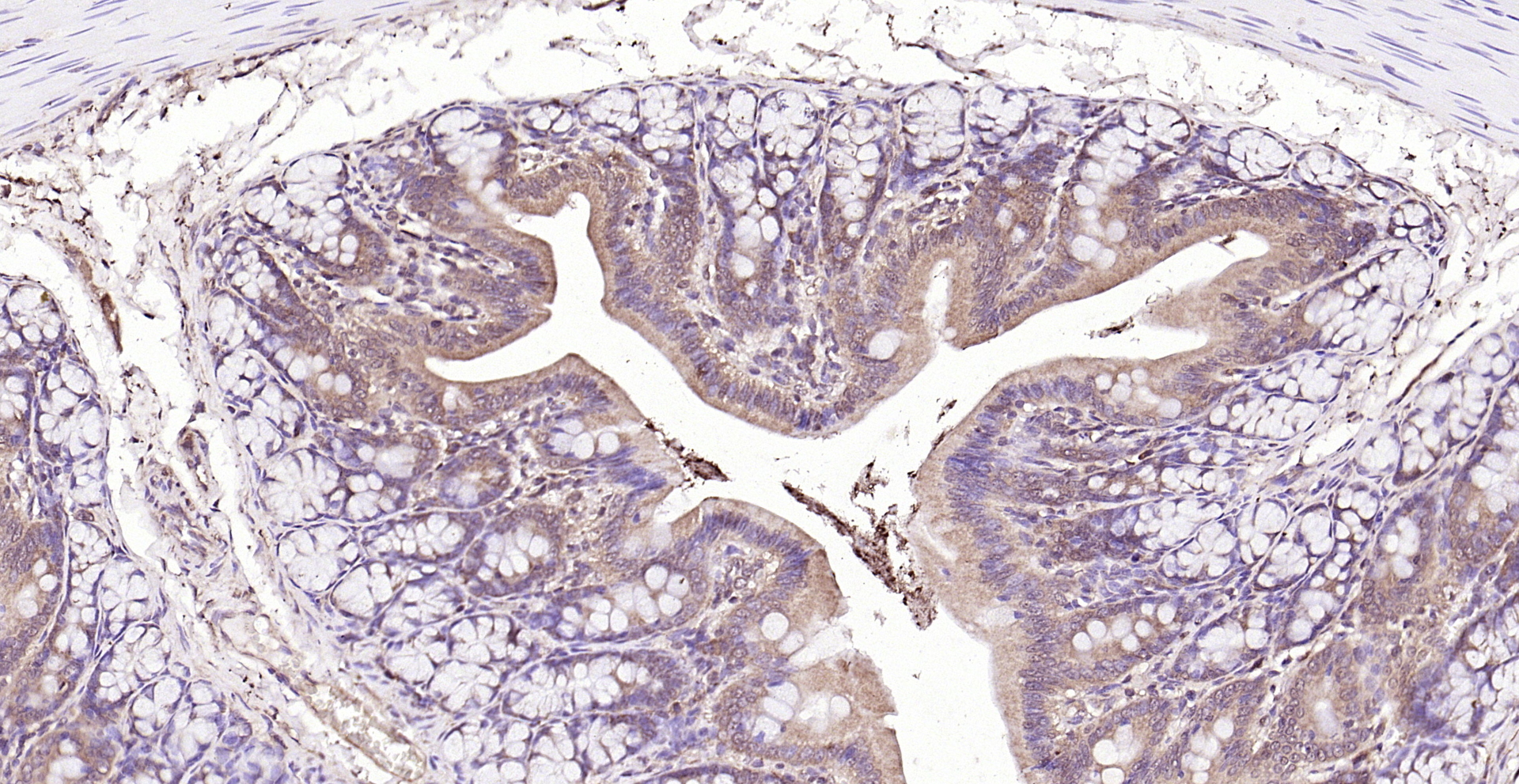
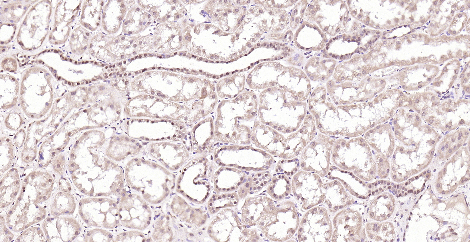
Product Name VHL Polyclonal Antibody
Applications ELISA, FCM, IHC-P, IHC-F, IF(IHC-P), IF(IHC-F), IF(ICC)
Reactivity Human, Rat
Predicted Reactivity Mouse, Dog, Cow
Specifications
Conjugation Unconjugated
Host Rabbit
Source KLH conjugated synthetic peptide derived from human VHL
Clonality Polyclonal
Clone # #REF!
Isotype IgG
Concentration 1ug/ul
Purification Purified by Protein A.
Storage Buffer 0.01M TBS(pH7.4) with 1% BSA, 0.02% Proclin300 and 50% Glycerol.
Storage Condition Shipped at 4_. Store at -20_ for one year. Avoid repeated freeze/thaw cycles.
Target
Gene ID 7428
Subcellular location Cytoplasm, Nucleus, Cell membrane
Synonyms Von Hippel Lindau; von Hippel-Lindau syndrome protein homolog; Hippel-Lindau disease tumor suppressor VHL; von Hippel-Lindau tumor suppressor isoform 1; VHL; HRCA1; RCA1; VHL1; von Hippel-Lindau disease tumor suppressor isoform 2;pVHL; pVHL; G7 protein; Elongin binding protein; Protein G7; VHL 1; VHL_HUMAN;VHL1; VHLH; Von Hippel Lindau disease tumor suppressor; von Hippel Lindau syndrome; von Hippel Lindau tumor suppressor; Von Hippel-Lindau disease tumor suppressor.
Background Von Hippel-Lindau syndrome (VHL) is a dominantly inherited familial cancer syndrome predisposing to a variety of malignant and benign tumors. A germline mutation of this gene is the basis of familial inheritance of VHL syndrome. The protein encoded by this gene is a component of the protein complex that includes elongin B, elongin C, and cullin-2, and possesses ubiquitin ligase E3 activity. This protein is involved in the ubiquitination and degradation of hypoxia-inducible-factor (HIF), which is a transcription factor that plays a central role in the regulation of gene expression by oxygen. RNA polymerase II subunit POLR2G/RPB7 is also reported to be a target of this protein. Alternatively spliced transcript variants encoding distinct isoforms have been observed. [provided by RefSeq].
Application Dilution
ELISA 1:500-1000
FCM 1:20-100
IHC-P 1:200-400
IHC-F 1:100-500
IF(IHC-P) 1:50-200
IF(IHC-F) 1:50-200
IF(ICC) 1:50-200