Receive 30% off all Monoclonal IHC antibodies with code "MONO-IHC-30"! Offer valid for US customers and available internationally through distributors.

SNAI1 Polyclonal Antibody

Applications

  • WB
  • IHC-P
  • IHC-F
  • IF

Reactivity

  • Human
  • Mouse
  • Rat
Overview
Catalog # bs-1371r
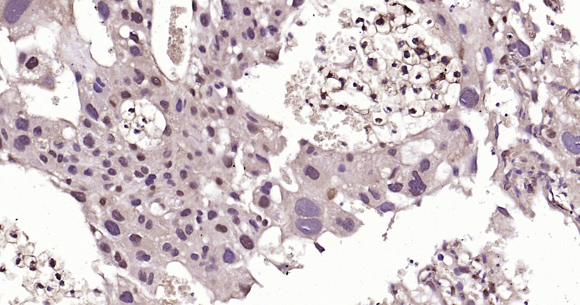
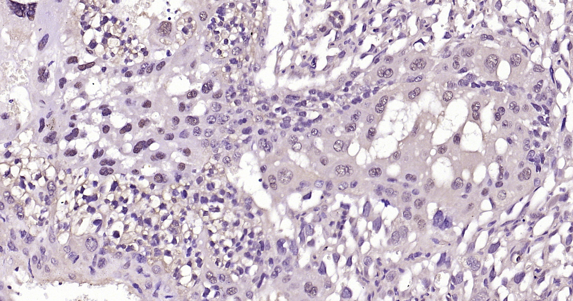
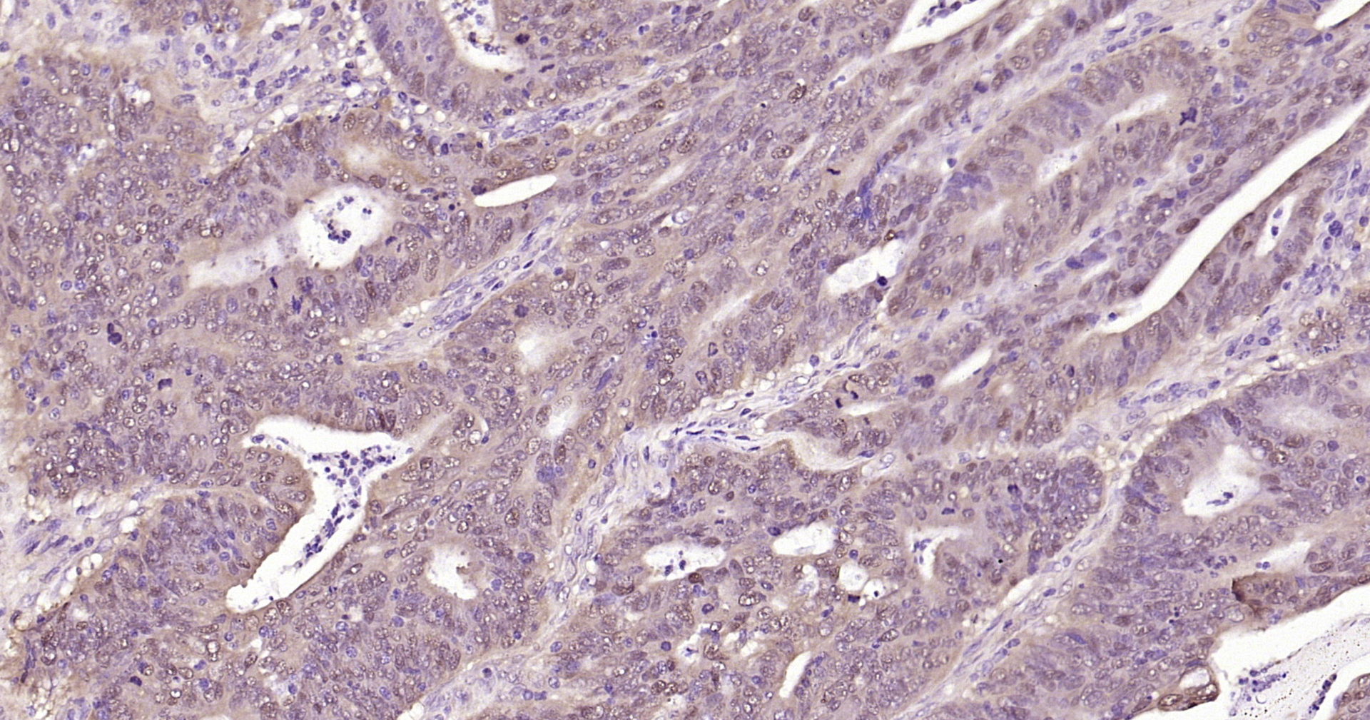
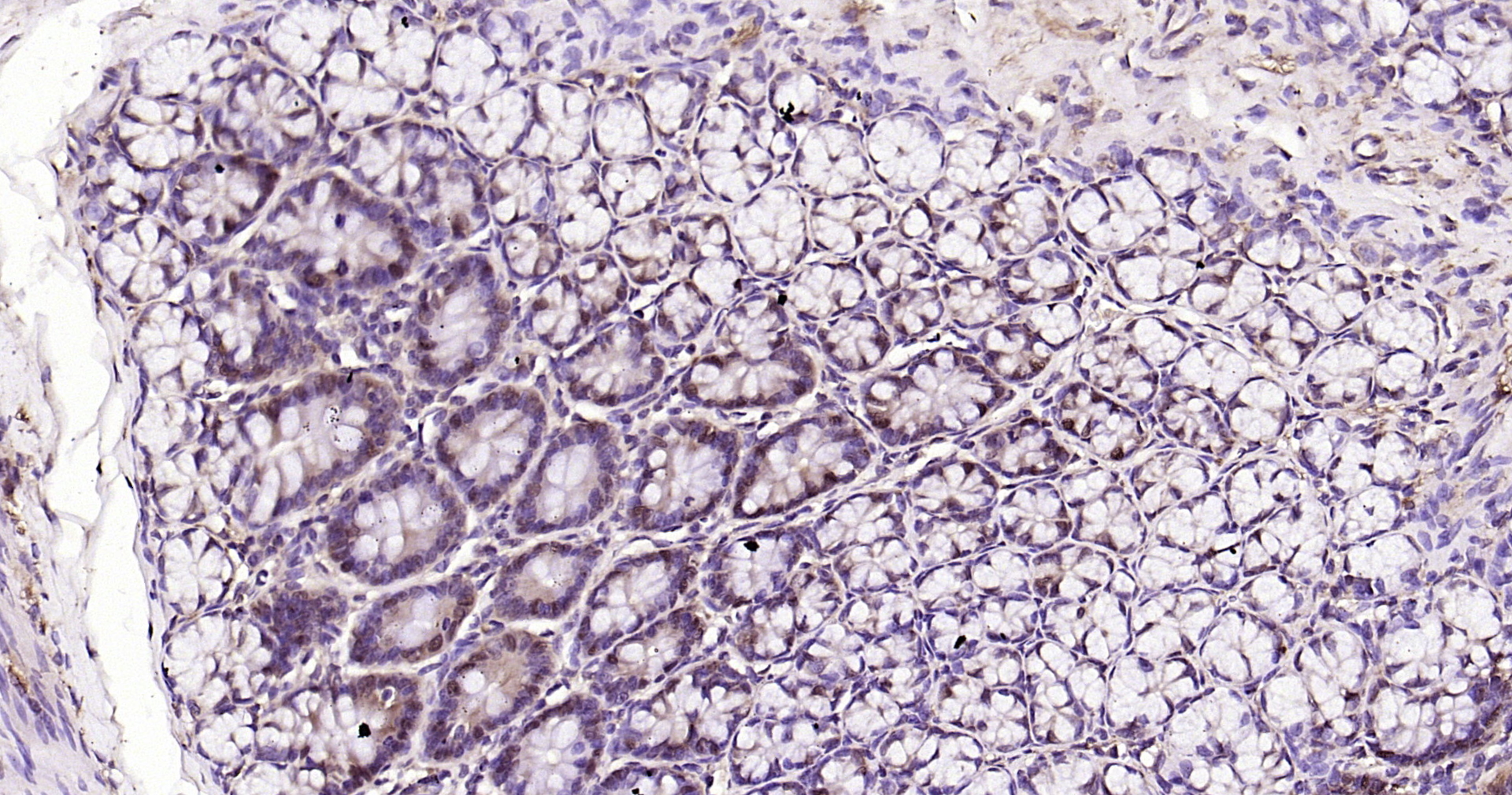
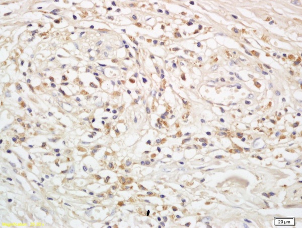
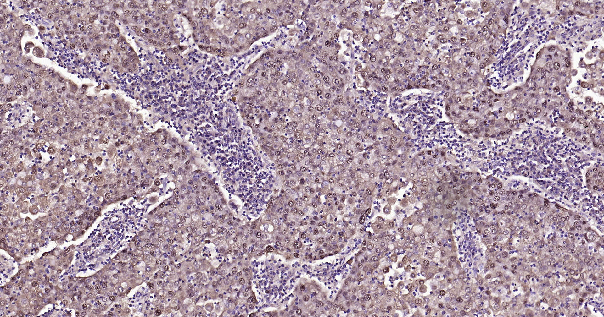
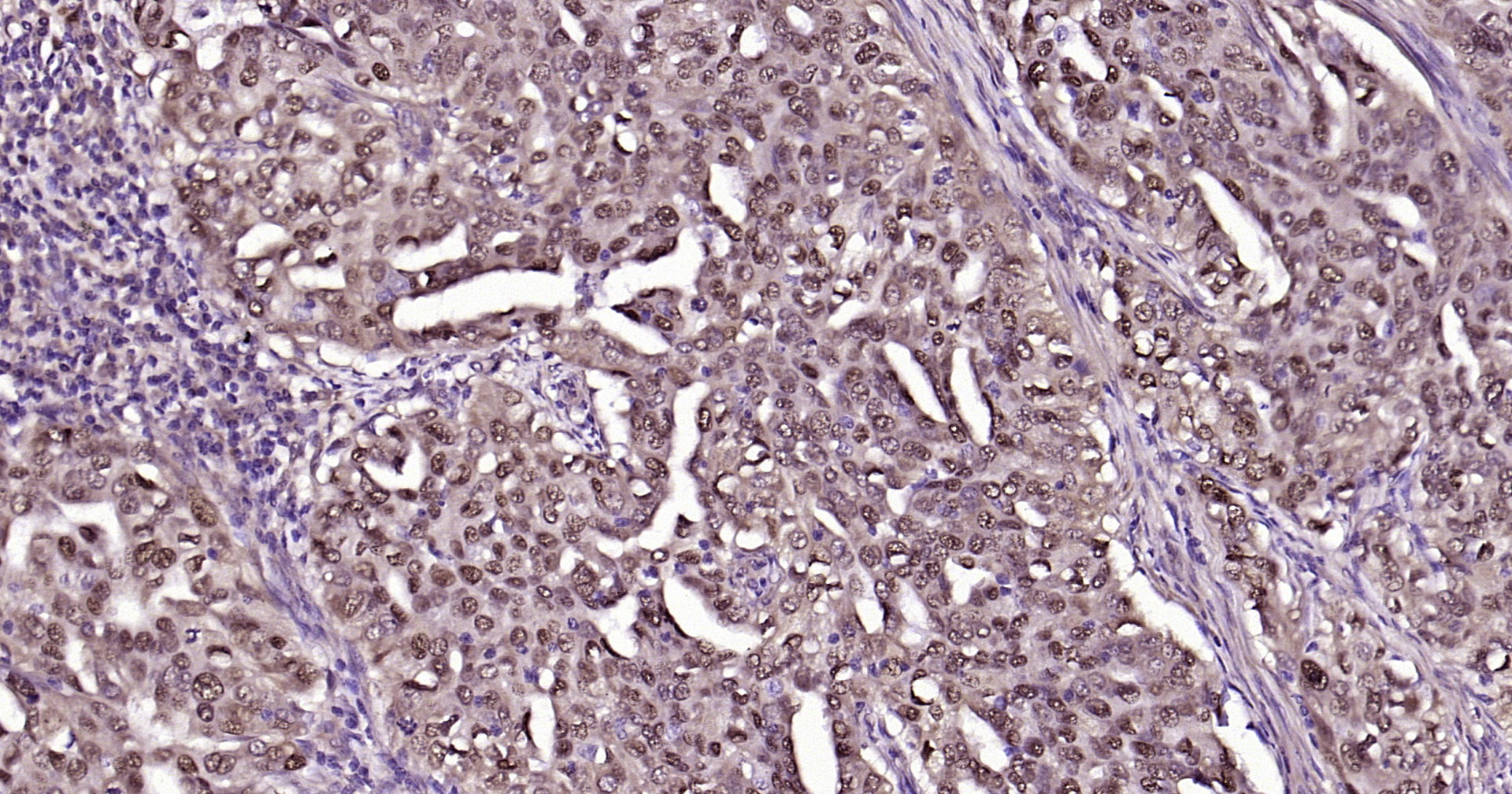
Product Name SNAI1 Polyclonal Antibody
Applications WB, IHC-P, IHC-F, IF
Reactivity Human, Mouse, Rat
Specifications
Conjugation Unconjugated
Host Rabbit
Source KLH conjugated synthetic peptide derived from human Anail
Clonality Polyclonal
Isotype IgG
Concentration 1mg/ml
Purification Purified by Protein A.
Storage Buffer 0.01M TBS (pH7.4) with 1% BSA, 0.02% Proclin300 and 50% Glycerol.
Storage Condition Shipped at 4C. Store at -20C for one year. Avoid repeated freeze/thaw cycles.
Target
Gene ID 6615
Swiss Prot O95863
Subcellular location Cytoplasm, Nucleus
Synonyms SNAI1_HUMAN; Zinc finger protein SNAI1; SNAI1; SNAH; SNAI 1; SNA; SNAIL1; dJ710H13.1; Protein snail homolog 1(Protein sna); Protein snail homolog 1; Protein sna;
Application Dilution
WB =1:500-2000
IHC-P IHC-P=1:100-500
IHC-F IHC-F=1:100-500
IF IF=1:100-500