RECEIVE 25% OFF PUBLISHED ANTIBODIES WITH CODE "PUB25"! Offer valid for US customers and available internationally through distributors.

GPR30 Polyclonal Antibody

Applications

  • WB
  • ELISA
  • FCM
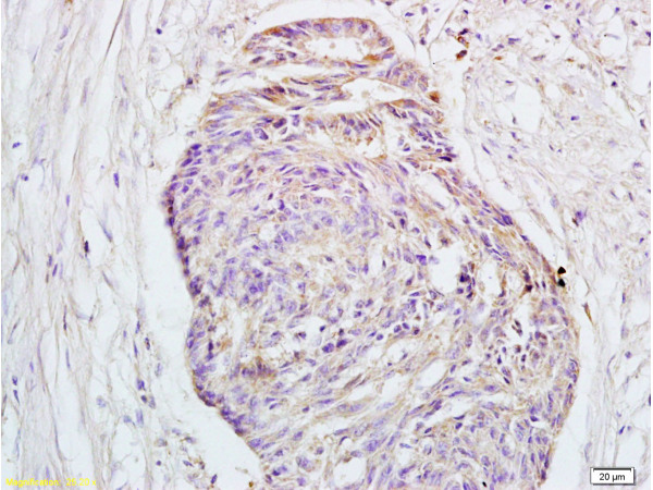
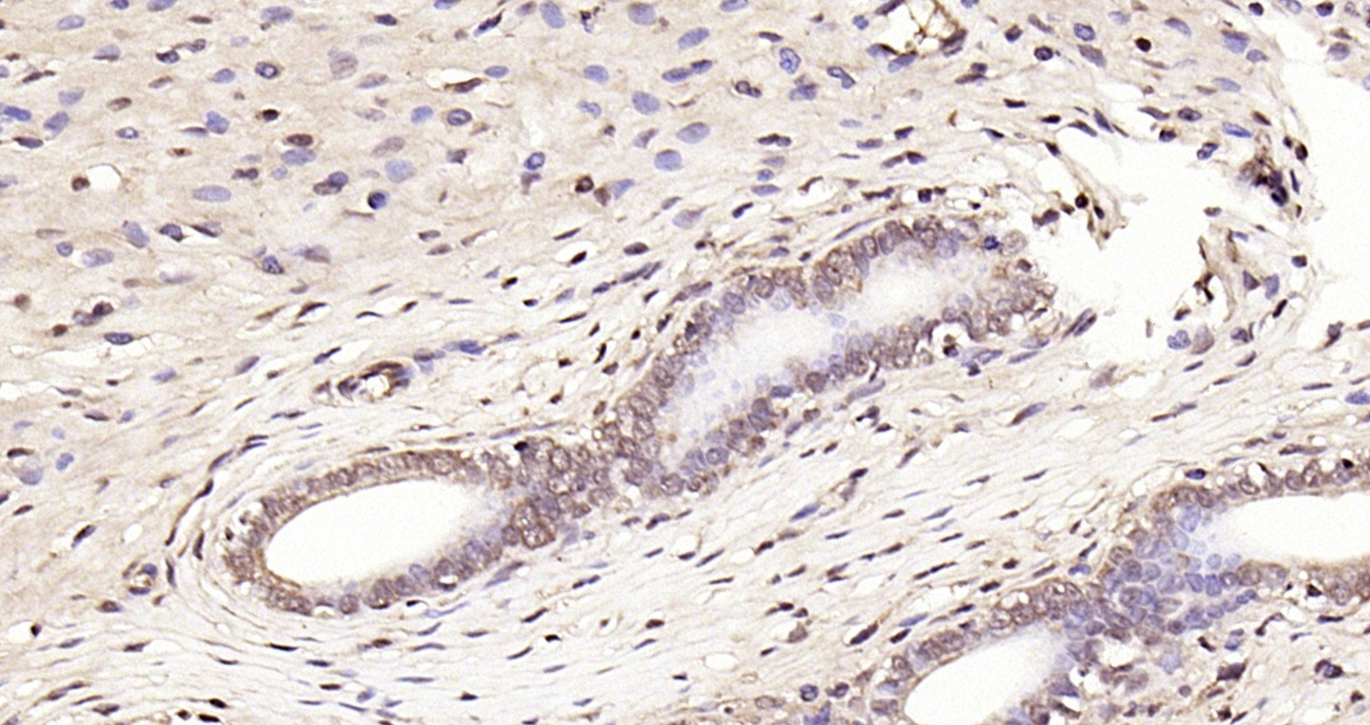
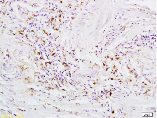
  • IHC-P
  • IHC-F
  • IF(IHC-P)
  • IF(IHC-F)
  • IF(ICC)

Reactivity

  • Human
  • Mouse
  • Rat

Predicted Reactivity

  • Dog
Overview
Catalog # bs-1380R
Product Name GPR30 Polyclonal Antibody
Applications WB, ELISA, FCM, IHC-P, IHC-F, IF(IHC-P), IF(IHC-F), IF(ICC)
Reactivity Human, Mouse, Rat
Predicted Reactivity Dog
Specifications
Conjugation Unconjugated
Host Rabbit
Source KLH conjugated synthetic peptide derived from human GPR30
Clonality Polyclonal
Clone # #REF!
Isotype IgG
Concentration 1ug/ul
Purification Purified by Protein A.
Storage Buffer 0.01M TBS(pH7.4) with 1% BSA, 0.02% Proclin300 and 50% Glycerol.
Storage Condition Shipped at 4C. Store at -20C for one year. Avoid repeated freeze/thaw cycles.
Target
Gene ID 2852
Swiss Prot Q99527
Subcellular location Cytoplasm, Nucleus, Cell membrane, Extracellular matrix
Synonyms mER; CEPR; GPER; DRY12; FEG-1; GPR30; LERGU; LyGPR; CMKRL2; LERGU2; GPCR-Br; G-protein coupled estrogen receptor 1; Chemoattractant receptor-like 2; Flow-induced endothelial G-protein coupled receptor 1; G protein-coupled estrogen receptor 1; G-protein coupled receptor 30; IL8-related receptor DRY12; Lymphocyte-derived G-protein coupled receptor; Membrane estrogen receptor; GPER1
Background G-protein coupled estrogen receptor that binds to 17-beta-estradiol (E2) with high affinity, leading to rapid and transient activation of numerous intracellular signaling pathways. Stimulates cAMP production, calcium mobilization and tyrosine kinase Src inducing the release of heparin-bound epidermal growth factor (HB-EGF) and subsequent transactivation of the epidermal growth factor receptor (EGFR), activating downstream signaling pathways such as PI3K/Akt and ERK/MAPK. Mediates pleiotropic functions among others in the cardiovascular, endocrine, reproductive, immune and central nervous systems. Has a role in cardioprotection by reducing cardiac hypertrophy and perivascular fibrosis in a RAMP3-dependent manner. Regulates arterial blood pressure by stimulating vasodilation and reducing vascular smooth muscle and microvascular endothelial cell proliferation. Plays a role in blood glucose homeostasis contributing to the insulin secretion response by pancreatic beta cells. Triggers mitochondrial apoptosis during pachytene spermatocyte differentiation. Stimulates uterine epithelial cell proliferation. Enhances uterine contractility in response to oxytocin. Contributes to thymic atrophy by inducing apoptosis. Attenuates TNF-mediated endothelial expression of leukocyte adhesion molecules. Promotes neuritogenesis in developing hippocampal neurons. Plays a role in acute neuroprotection against NMDA-induced excitotoxic neuronal death. Increases firing activity and intracellular calcium oscillations in luteinizing hormone-releasing hormone (LHRH) neurons. Inhibits early osteoblast proliferation at growth plate during skeletal development. Inhibits mature adipocyte differentiation and lipid accumulation. Involved in the recruitment of beta-arrestin 2 ARRB2 at the plasma membrane in epithelial cells.
Application Dilution
WB 1:300-5000
ELISA 1:500-1000
FCM 1:20-100
IHC-P 1:200-400
IHC-F 1:100-500
IF(IHC-P) 1:50-200
IF(IHC-F) 1:50-200
IF(ICC) 1:50-200