Receive 30% off all Monoclonal IHC antibodies with code "MONO-IHC-30"! Offer valid for US customers and available internationally through distributors.

DGKH Polyclonal Antibody

Applications

  • IHC-P

Reactivity

  • Human

Predicted Reactivity

  • Mouse
  • Pig
  • Chicken
  • Rabbit
Overview
Catalog # bs-14298R
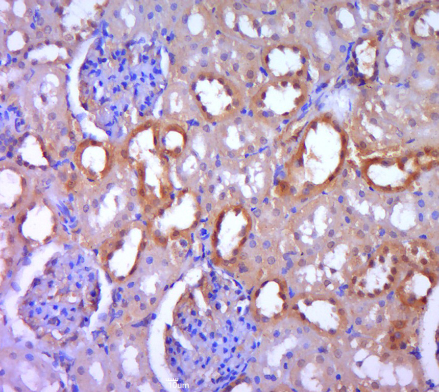
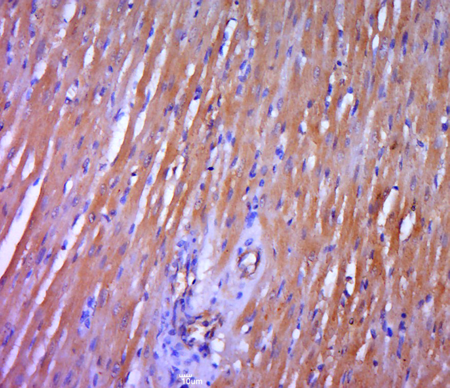
Product Name DGKH Polyclonal Antibody
Applications IHC-P
Reactivity Human
Predicted Reactivity Mouse, Pig, Chicken, Rabbit
Specifications
Conjugation Unconjugated
Host Rabbit
Source KLH conjugated synthetic peptide derived from human DGKH
Clonality Polyclonal
Clone # #REF!
Isotype IgG
Concentration 1ug/ul
Purification Purified by Protein A.
Storage Buffer 0.01M TBS(pH7.4) with 1% BSA, 0.02% Proclin300 and 50% Glycerol.
Storage Condition Shipped at 4C. Store at -20C for one year. Avoid repeated freeze/thaw cycles.
Target
Gene ID 160851
Swiss Prot Q86XP1
Subcellular location Cytoplasm
Synonyms DGKeta; Diacylglycerol kinase eta; DAG kinase eta; Diglyceride kinase eta; DGK-eta; DGKH
Background Phosphorylates diacylglycerol (DAG) to generate phosphatidic acid (PA). Plays a key role in promoting cell growth. Activates the Ras/B-Raf/C-Raf/MEK/ERK signaling pathway induced by EGF. Regulates the recruitment of RAF1 and BRAF from cytoplasm to membranes and their heterodimerization.
Application Dilution
IHC-P 1:200-400