Receive 30% off all Monoclonal IHC antibodies with code "MONO-IHC-30"! Offer valid for US customers and available internationally through distributors.

DIAPH3 Polyclonal Antibody

Applications

  • WB
  • ELISA
  • IHC-P
  • IHC-F
  • IF(IHC-P)
  • IF(IHC-F)
  • IF(ICC)

Reactivity

  • Rat

Predicted Reactivity

  • Human
  • Mouse
  • Dog
  • Cow
  • Sheep
  • Horse
  • Chicken
Overview
Catalog # bs-14325R
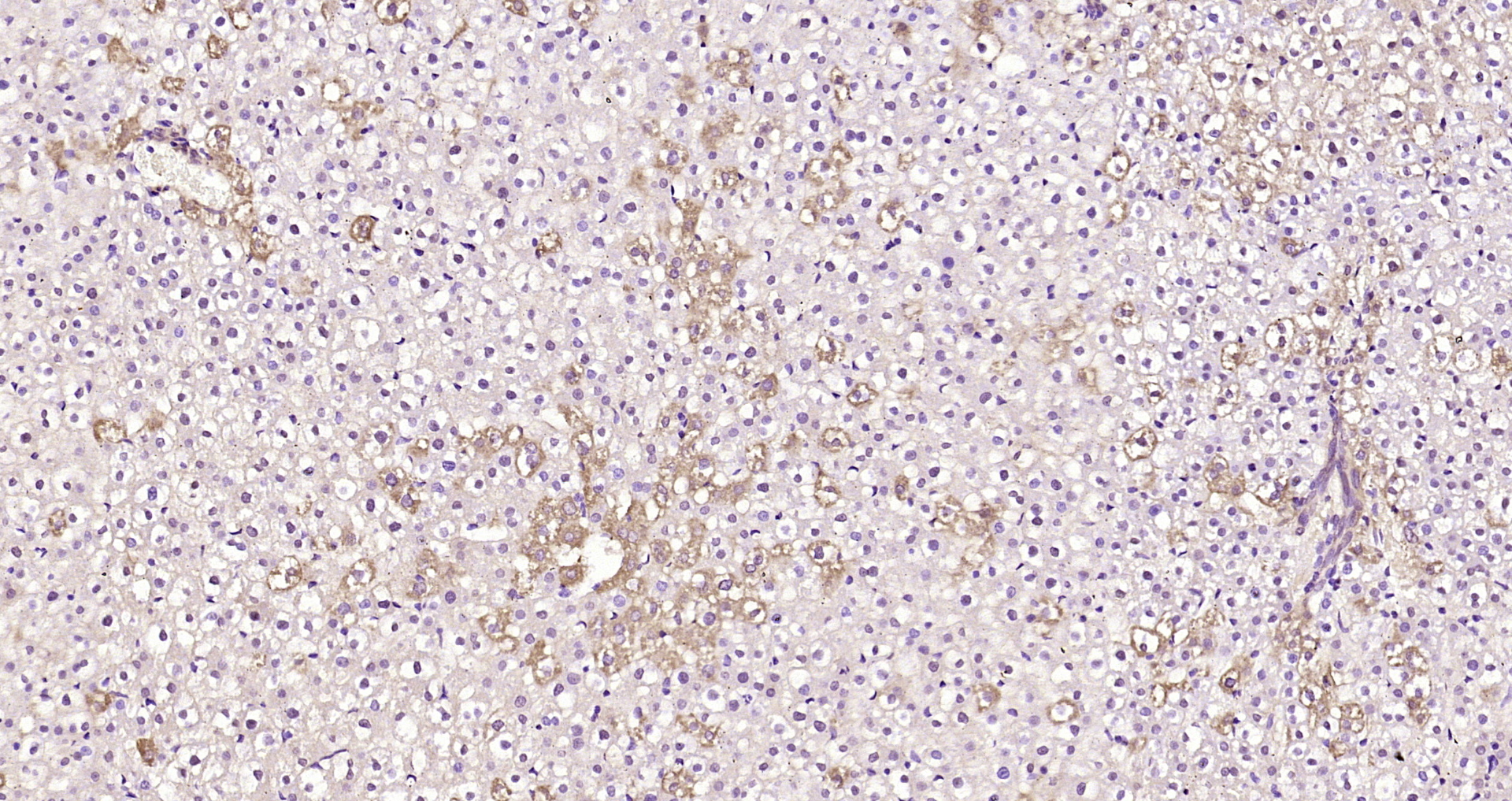
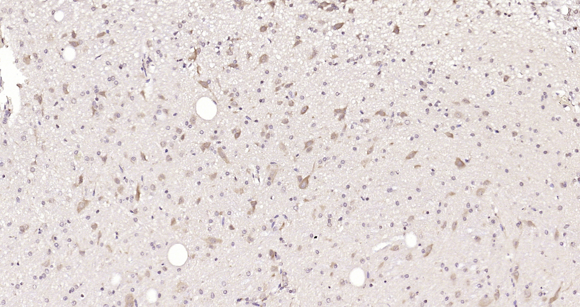
Product Name DIAPH3 Polyclonal Antibody
Applications WB, ELISA, IHC-P, IHC-F, IF(IHC-P), IF(IHC-F), IF(ICC)
Reactivity Rat
Predicted Reactivity Human, Mouse, Dog, Cow, Sheep, Horse, Chicken
Specifications
Conjugation Unconjugated
Host Rabbit
Source KLH conjugated synthetic peptide derived from human DIAPH3
Clonality Polyclonal
Clone # #REF!
Isotype IgG
Concentration 1ug/ul
Purification Purified by Protein A.
Storage Buffer 0.01M TBS(pH7.4) with 1% BSA, 0.02% Proclin300 and 50% Glycerol.
Storage Condition Shipped at 4C. Store at -20C for one year. Avoid repeated freeze/thaw cycles.
Target
Gene ID 81624
Swiss Prot Q9NSV4
Subcellular location Cytoplasm
Synonyms AN; AUNA1; Dia2; diap3; DIAP3_HUMAN; DIAPH3; Diaphanous homolog 3 (Drosophila); Diaphanous homolog 3; Diaphanous related formin 3; Diaphanous-related formin-3; DKFZp434C0931; DKFZp686A13178; DRF3; FLJ34705; mDia2; NSDAN; OTTHUMP00000018480; Protein diaphanous homolog 3; RP11-26P21.1.
Background Binds to GTP-bound form of Rho and to profilin. Acts in a Rho-dependent manner to recruit profilin to the membrane, where it promotes actin polymerization. It is required for cytokinesis, stress fiber formation, and transcriptional activation of the serum response factor. DFR proteins couple Rho and Src tyrosine kinase during signaling and the regulation of actin dynamics.
Application Dilution
WB 1:300-5000
ELISA 1:500-1000
IHC-P 1:200-400
IHC-F 1:100-500
IF(IHC-P) 1:50-200
IF(IHC-F) 1:50-200
IF(ICC) 1:50-200