Receive 30% off all Monoclonal IHC antibodies with code "MONO-IHC-30"! Offer valid for US customers and available internationally through distributors.

DTX3L Polyclonal Antibody

Applications

  • ELISA
  • FCM
  • IHC-P
  • IHC-F
  • IF(IHC-P)
  • IF(IHC-F)
  • IF(ICC)

Reactivity

  • Human
  • Mouse
  • Rat

Predicted Reactivity

  • Rabbit
Overview
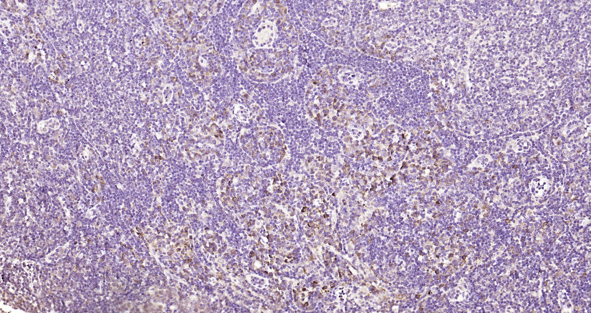
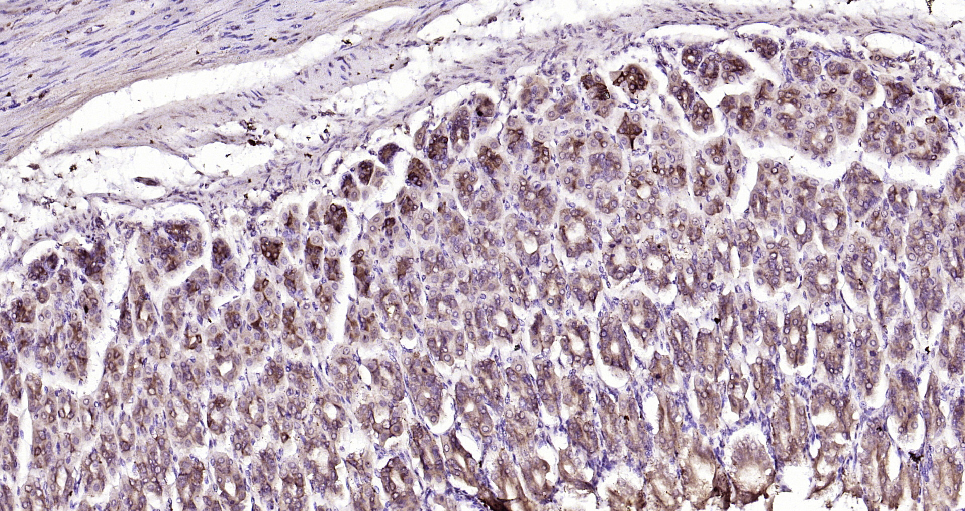
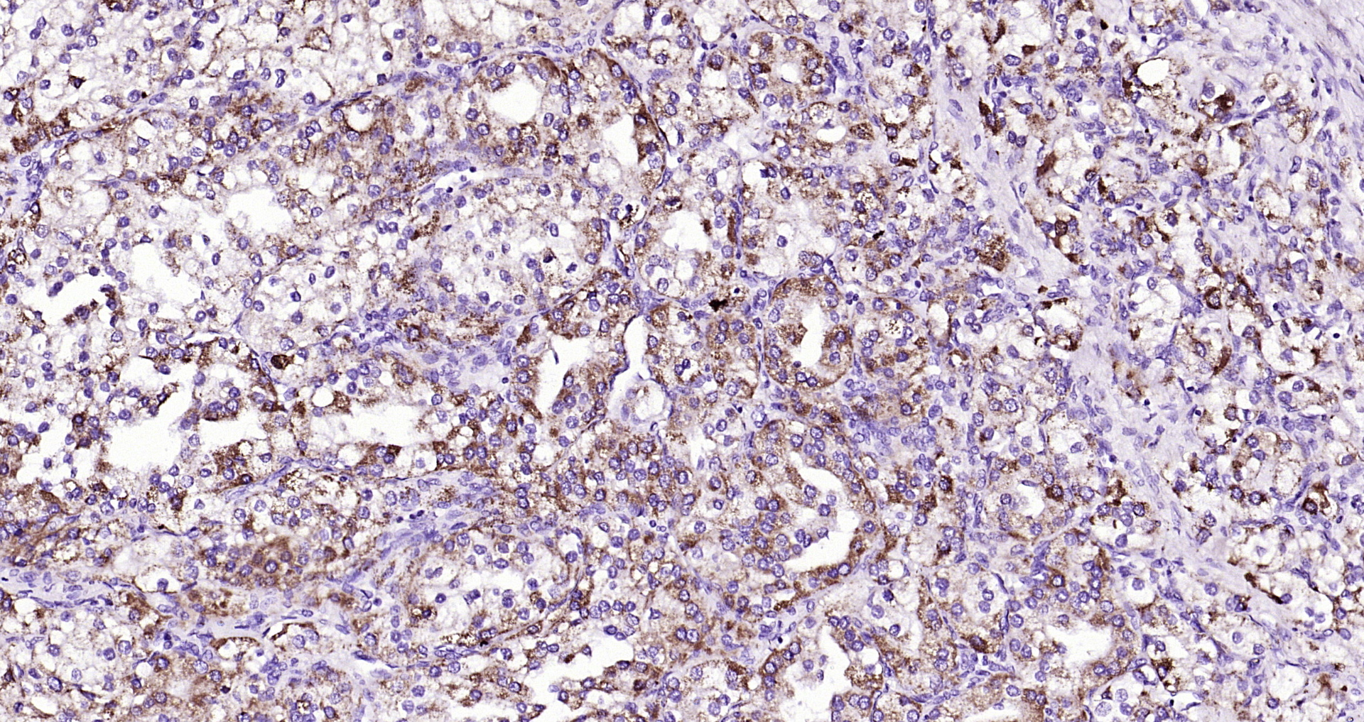
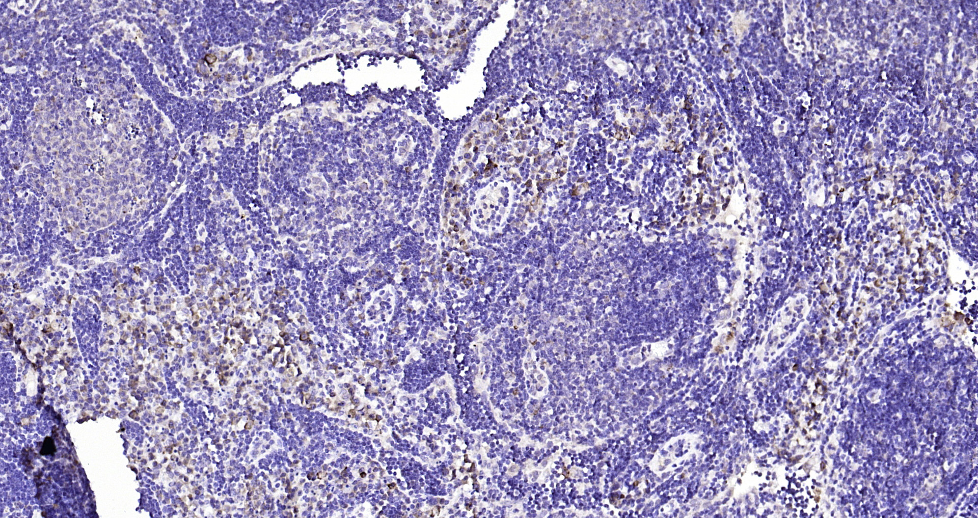
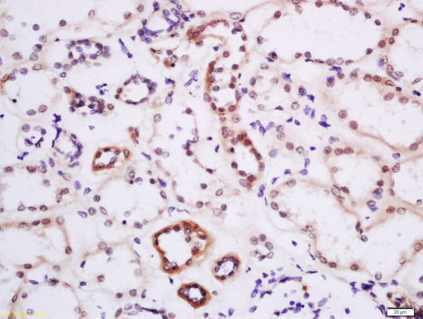
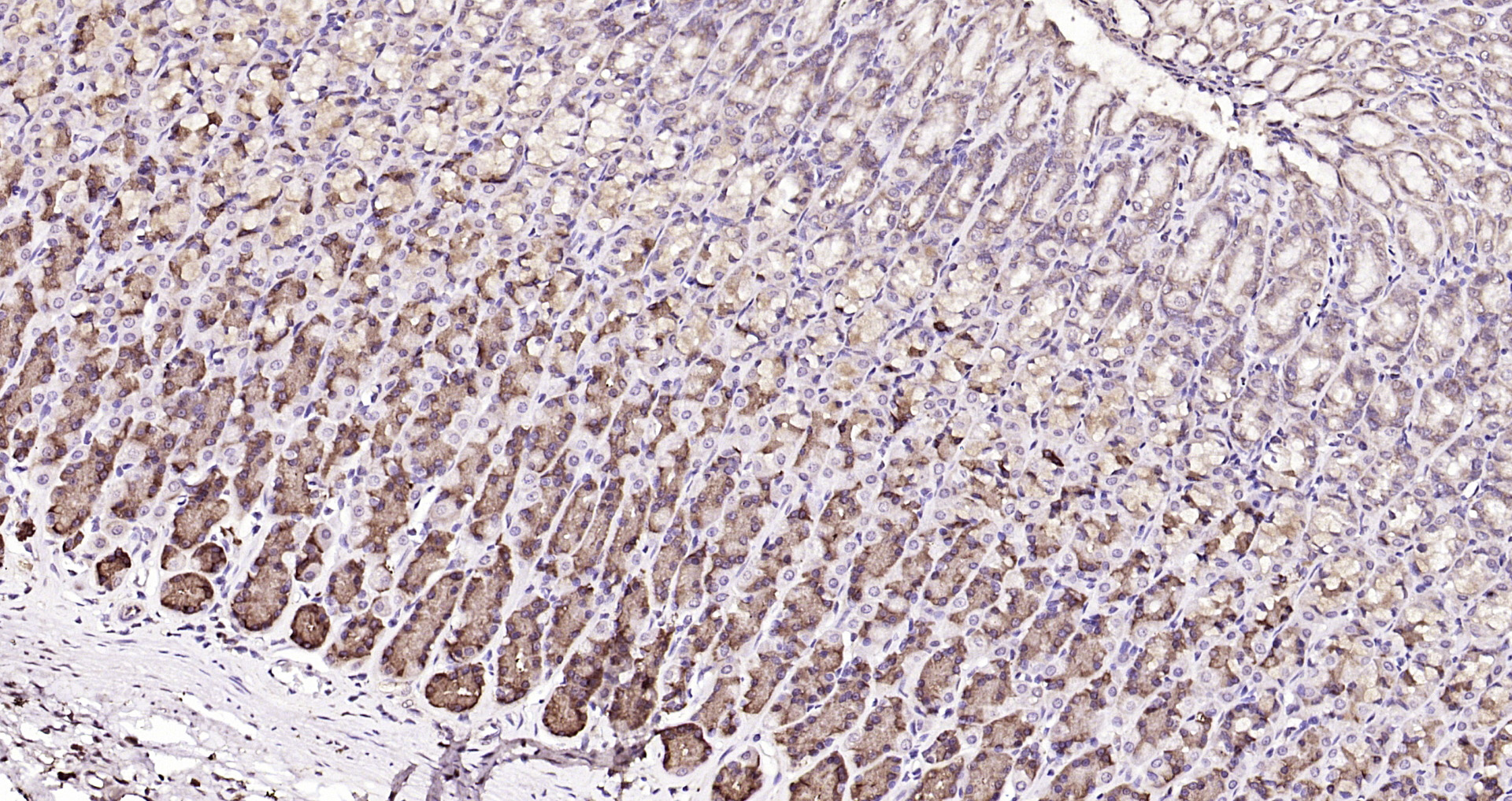
Catalog # bs-14438R
Product Name DTX3L Polyclonal Antibody
Applications ELISA, FCM, IHC-P, IHC-F, IF(IHC-P), IF(IHC-F), IF(ICC)
Reactivity Human, Mouse, Rat
Predicted Reactivity Rabbit
Specifications
Conjugation Unconjugated
Host Rabbit
Source KLH conjugated synthetic peptide derived from human DTX3L
Clonality Polyclonal
Clone # #REF!
Isotype IgG
Concentration 1ug/ul
Purification Purified by Protein A.
Storage Buffer 0.01M TBS(pH7.4) with 1% BSA, 0.02% Proclin300 and 50% Glycerol.
Storage Condition Shipped at 4_. Store at -20_ for one year. Avoid repeated freeze/thaw cycles.
Target
Gene ID 151636
Swiss Prot Q8TDB6
Subcellular location Cytoplasm, Nucleus
Synonyms BBAP; E3 ubiquitin-protein ligase DTX3L; B-lymphoma- and BAL-associated protein; Protein deltex-3-like; Rhysin-2; Rhysin2; DTX3L
Background Ubiquitin ligase that mediates monoubiquitination of 'Lys-91' of histone H4 (H4K91ub1), in response to DNA damage. Protects cells exposed to DNA-damaging agents. The exact role of H4K91ub1 in DNA damage response is still unclear but it may function as a licensing signal for additional histone H4 post-translational modifications such as H4 'Lys-20' methylation (H4K20me). Involved in the recruitment of 53BP1/TP53BP1 to sites of DNA damage by mediating H4K91ub1 formation. In concert with PARP9, plays a role in PARP1-dependent DNA damage repair. PARP1-dependent PARP9-DTX3L-mediated ubiquitination promotes the rapid and specific recruitment of 53BP1/TP53BP1, UIMC1/RAP80, and BRCA1 to DNA damage sites.
Application Dilution
ELISA 1:500-1000
FCM 1:20-100
IHC-P 1:200-400
IHC-F 1:100-500
IF(IHC-P) 1:50-200
IF(IHC-F) 1:50-200
IF(ICC) 1:50-200