Receive 30% off all Monoclonal IHC antibodies with code "MONO-IHC-30"! Offer valid for US customers and available internationally through distributors.

EFR3B Polyclonal Antibody

Applications

  • ELISA
  • IHC-P
  • IHC-F
  • IF(IHC-P)
  • IF(IHC-F)
  • IF(ICC)

Reactivity

  • Mouse
  • Rat

Predicted Reactivity

  • Human
  • Dog
  • Cow
  • Sheep
  • Pig
  • Horse
Overview
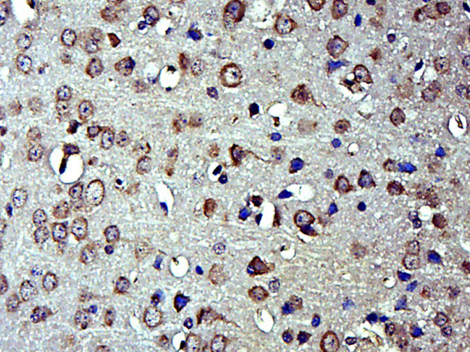
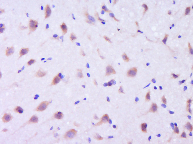
Catalog # bs-14521R
Product Name EFR3B Polyclonal Antibody
Applications ELISA, IHC-P, IHC-F, IF(IHC-P), IF(IHC-F), IF(ICC)
Reactivity Mouse, Rat
Predicted Reactivity Human, Dog, Cow, Sheep, Pig, Horse
Specifications
Conjugation Unconjugated
Host Rabbit
Source KLH conjugated synthetic peptide derived from human EFR3B
Clonality Polyclonal
Clone # #REF!
Isotype IgG
Concentration 1ug/ul
Purification Purified by Protein A.
Storage Buffer 0.01M TBS(pH7.4) with 1% BSA, 0.02% Proclin300 and 50% Glycerol.
Storage Condition Shipped at 4C. Store at -20C for one year. Avoid repeated freeze/thaw cycles.
Target
Gene ID 22979
Swiss Prot Q9Y2G0
Subcellular location Cytoplasm, Cell membrane
Synonyms EFR3B; EFR3B_HUMAN; KIAA0953; Protein EFR3 homolog B.
Background EFR3B (EFR3 homolog B) is an 817 amino acid protein that exists as three alternatively spliced isoforms and belongs to the EFR3 family. The gene encoding EFR3B maps to human chromosome 2p23.3 and mouse chromosome 12 A1.1. Human chromosome 2 is the second largest human chromosome, which consists of 237 million bases, encodes over 1,400 genes and makes up approximately 8% of the human genome. A number of genetic diseases are linked to genes on chromosome 2. Harlequin icthyosis, a rare and morbid skin deformity, is associated with mutations in the ABCA12 gene. The lipid metabolic disorder sitosterolemia is associated with ABCG5 and ABCG8. An extremely rare recessive genetic disorder, Alstr_ syndrome, is due to mutations in the ALMS1 gene. Interestingly, chromosome 2 contains what appears to be a vestigial second centromere and vestigial telomeres which gives credence to the hypothesis that human chromosome 2 is the result of an ancient fusion of two ancestral chromosomes seen in modern form today in apes.
Application Dilution
ELISA 1:500-1000
IHC-P 1:200-400
IHC-F 1:100-500
IF(IHC-P) 1:50-200
IF(IHC-F) 1:50-200
IF(ICC) 1:50-200