Receive 30% off all Monoclonal IHC antibodies with code "MONO-IHC-30"! Offer valid for US customers and available internationally through distributors.

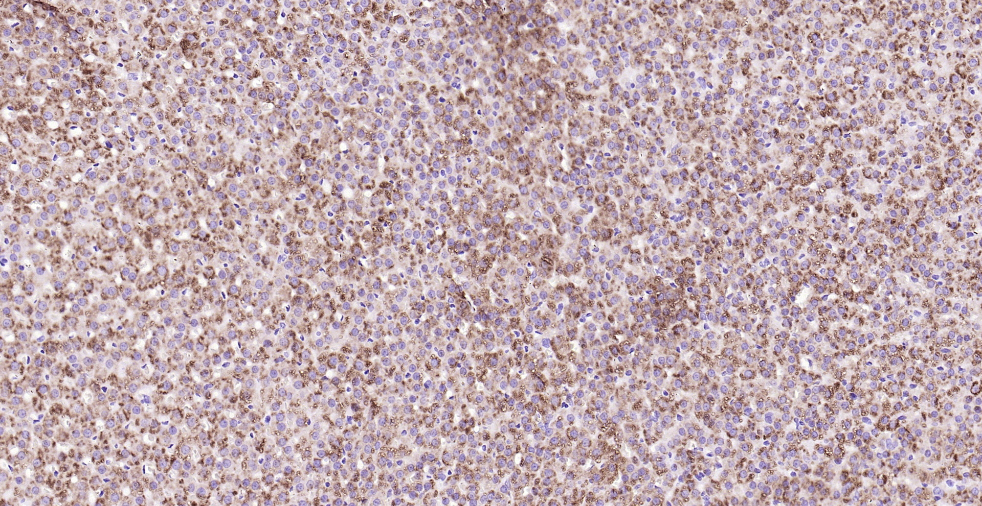
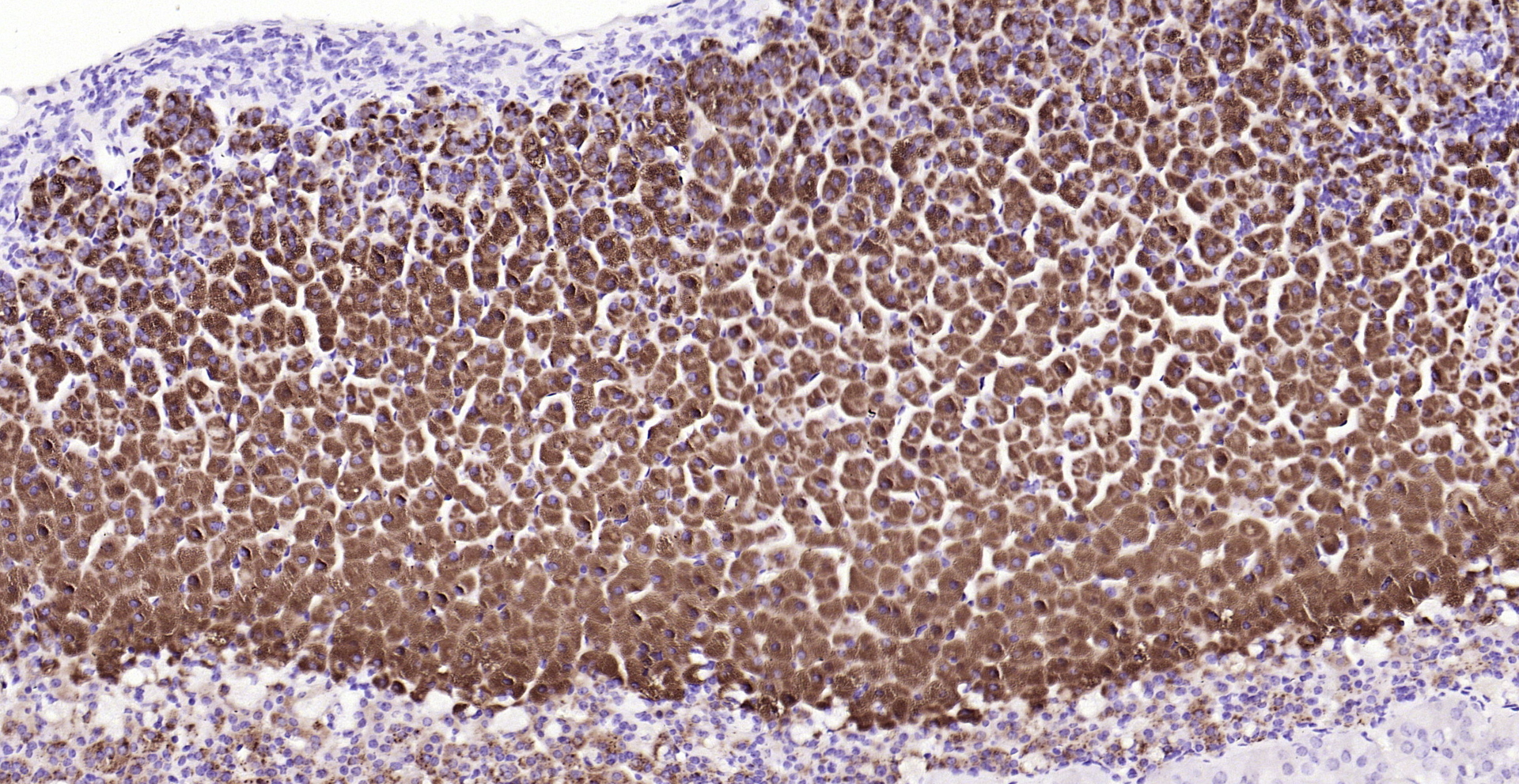
HSD3B1+ HSD3B2 Polyclonal Antibody

4-isomerase type 1; 3 beta-hydroxysteroid dehydrogenase/Delta 5-->4-isomerase type I; Short=3-beta-HSD I; Trophoblast antigen FDO161G; 3-beta-hydroxy-Delta(5)-steroid dehydrogenase; 3-beta-hydroxy-5-ene steroid dehydrogenase; Progesterone reductase; Steroid Delta-isomerase; Delta-5-3-ketosteroid isomerase. ", "Target Protein"=>"HSD3B1+ HSD3B2"} -->

Applications

  • WB
  • IHC-P
  • IHC-F
  • IF

Reactivity

  • Mouse
  • Rat

Predicted Reactivity

  • Human
  • Dog
  • Horse
Overview
Catalog # bs-16551r
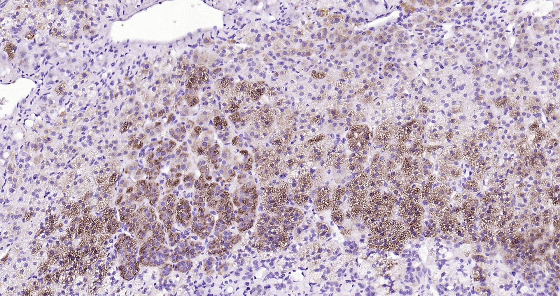
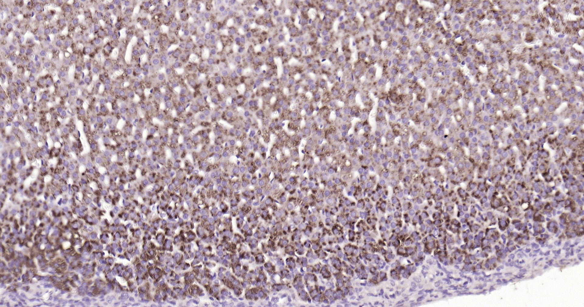
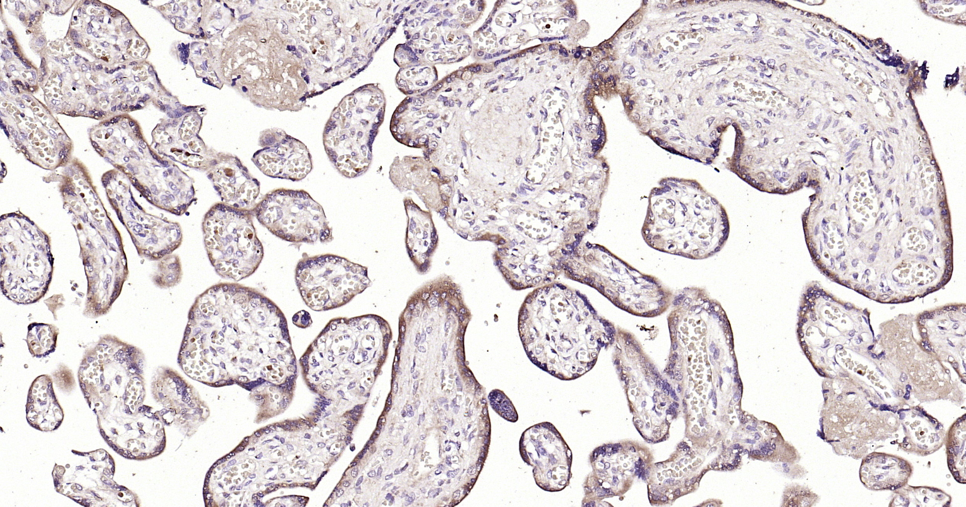
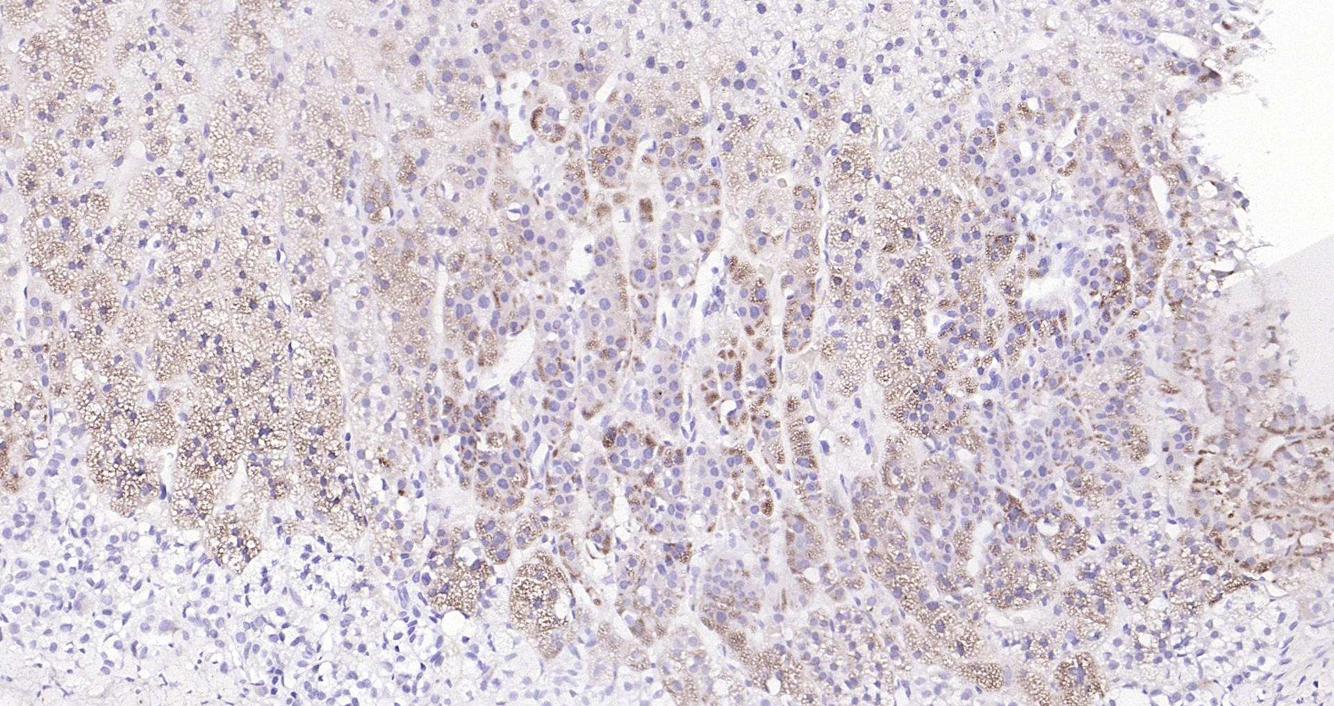
Product Name HSD3B1+ HSD3B2 Polyclonal Antibody
Applications WB, IHC-P, IHC-F, IF
Reactivity Mouse, Rat
Predicted Reactivity Human, Dog, Horse
Specifications
Conjugation Unconjugated
Host Rabbit
Source KLH conjugated synthetic peptide derived from human HSD3B1+ HSD3B2
Clonality Polyclonal
Clone # #REF!
Isotype IgG
Concentration 1mg/ml
Purification Purified by Protein A.
Storage Buffer 0.01M TBS(pH7.4) with 1% BSA, 0.02% Proclin300 and 50% Glycerol.
Storage Condition Shipped at 4C. Store at -20C for one year. Avoid repeated freeze/thaw cycles.
Target
Gene ID 3283
Swiss Prot P14060
Subcellular location Cytoplasm, Cell membrane
Synonyms 3 beta and steroid delta isomerase 1; 3 beta and steroid hydroxy delta 5 steroid dehydrogenase; 3 beta HSD I; 3BH; 3BHSD; HGNC:5217; HSD3B; HSD3B1; HSDB3; HSDB3A; Hydroxy delta 5 steroid dehydrogenase 3 beta and steroid delta isomerase 1; Hydroxy delta 5 steroid dehydrogenase; trophoblast antigen; 3BHS1_HUMAN; 3 beta-hydroxysteroid dehydrogenase/Delta 5-->4-isomerase type 1; 3 beta-hydroxysteroid dehydrogenase/Delta 5-->4-isomerase type I; Short=3-beta-HSD I; Trophoblast antigen FDO161G; 3-beta-hydroxy-Delta(5)-steroid dehydrogenase; 3-beta-hydroxy-5-ene steroid dehydrogenase; Progesterone reductase; Steroid Delta-isomerase; Delta-5-3-ketosteroid isomerase.
Application Dilution
WB =1:500-2000
IHC-P IHC-P=1:100-500
IHC-F IHC-F=1:100-500
IF IF=1:100-500