Receive 30% off all Monoclonal IHC antibodies with code "MONO-IHC-30"! Offer valid for US customers and available internationally through distributors.

Transmembrane Protein 30A Antibody

Applications

  • WB
  • ELISA
  • IHC-P
  • IHC-F
  • IF(IHC-P)
  • IF(IHC-F)
  • IF(ICC)

Reactivity

  • Mouse
  • Rat

Predicted Reactivity

  • Human
  • Cow
  • Pig
  • Rabbit
Overview
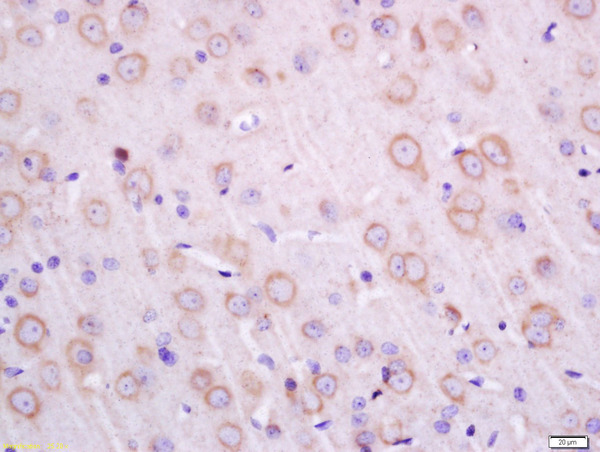
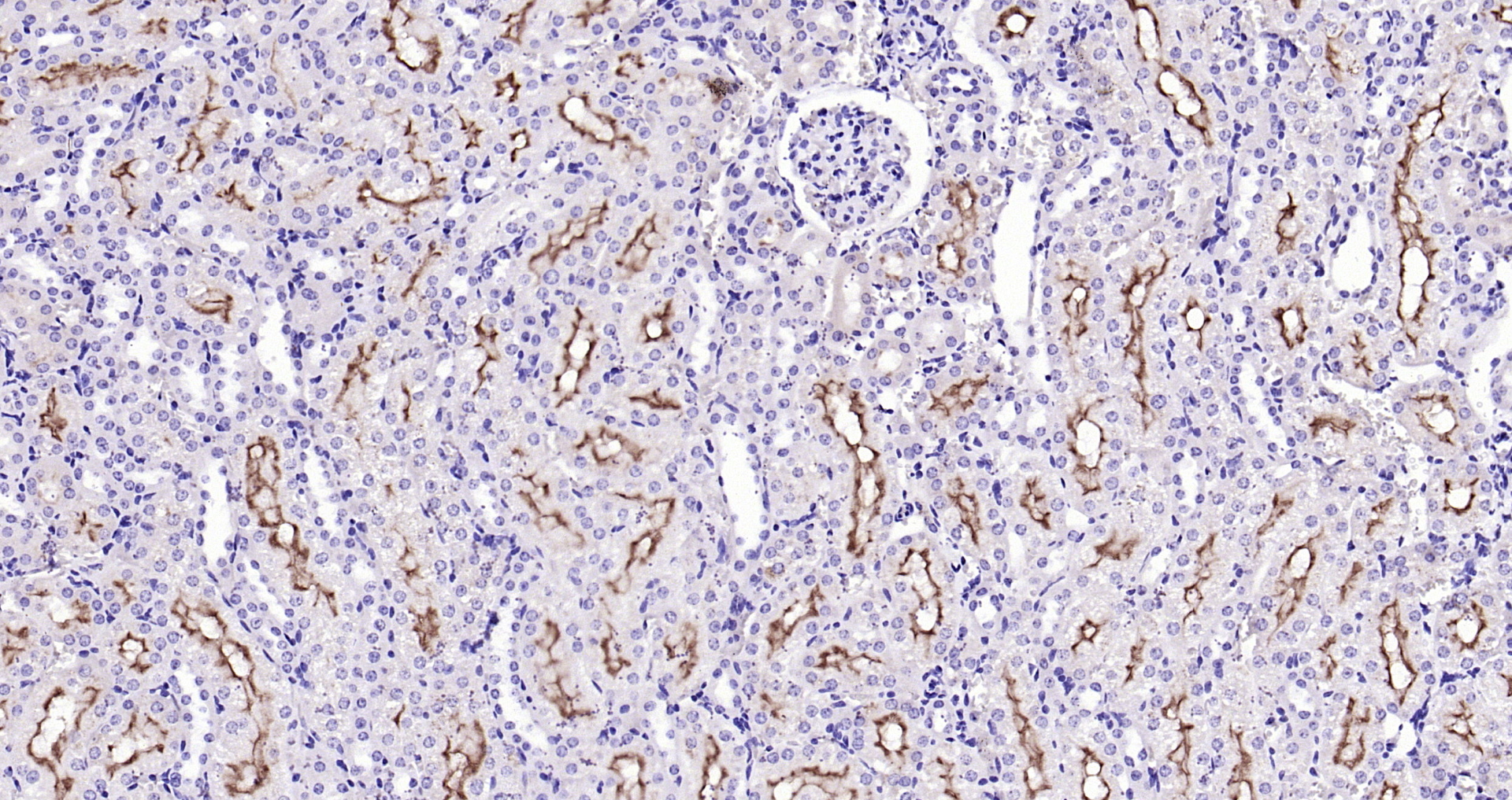
Catalog # bs-16576R
Product Name Transmembrane Protein 30A Antibody
Applications WB, ELISA, IHC-P, IHC-F, IF(IHC-P), IF(IHC-F), IF(ICC)
Reactivity Mouse, Rat
Predicted Reactivity Human, Cow, Pig, Rabbit
Specifications
Conjugation Unconjugated
Host Rabbit
Source KLH conjugated synthetic peptide derived from human Transmembrane protein 30A
Clonality Polyclonal
Clone # #REF!
Isotype IgG
Concentration 1ug/ul
Purification Purified by Protein A.
Storage Buffer 0.01M TBS(pH7.4) with 1% BSA, 0.02% Proclin300 and 50% Glycerol.
Storage Condition Shipped at 4C. Store at -20C for one year. Avoid repeated freeze/thaw cycles.
Target
Gene ID 55754
Swiss Prot Q9NV96
Subcellular location Cell membrane
Synonyms CDC50A; C6orf67; Cell cycle control protein 50A; P4-ATPase flippase complex beta subunit TMEM30A; Transmembrane protein 30A; TMEM30A
Background Accessory component of a P4-ATPase flippase complex which catalyzes the hydrolysis of ATP coupled to the transport of aminophospholipids from the outer to the inner leaflet of various membranes and ensures the maintenance of asymmetric distribution of phospholipids. Phospholipid translocation seems also to be implicated in vesicle formation and in uptake of lipid signaling molecules. The beta subunit may assist in binding of the phospholipid substrate. Required for the proper folding, assembly and ER to Golgi exit of the ATP8A2:TMEM30A flippase complex. ATP8A2:TMEM30A may be involved in regulation of neurite outgrowth, and, reconstituted to liposomes, predomiminantly transports phosphatidylserine (PS) and to a lesser extent phosphatidylethanolamine (PE). The ATP8A1:TMEM30A flippase complex seems to play a role in regulation of cell migration probably involving flippase-mediated translocation of phosphatidylethanolamine (PE) at the plasma membrane. Required for the formation of the ATP8A2, ATP8B1 and ATP8B2 P-type ATPAse intermediate phosphoenzymes. Involved in uptake of platelet-activating factor (PAF), synthetic drug alkylphospholipid edelfosine, and, probably in association with ATP8B1, of perifosine. Also mediate the export of alpha subunits ATP8A1, ATP8B1, ATP8B2, ATP8B4, ATP10A, ATP10B, ATP10D, ATP11A, ATP11B and ATP11C from the ER to other membrane localizations.
Application Dilution
WB 1:300-5000
ELISA 1:500-1000
IHC-P 1:200-400
IHC-F 1:100-500
IF(IHC-P) 1:50-200
IF(IHC-F) 1:50-200
IF(ICC) 1:50-200