Receive 30% off all Monoclonal IHC antibodies with code "MONO-IHC-30"! Offer valid for US customers and available internationally through distributors.

KIAA2022 Polyclonal Antibody

Applications

  • ELISA
  • IHC-P
  • IHC-F
  • IF(IHC-P)
  • IF(IHC-F)
  • IF(ICC)

Reactivity

  • Mouse
  • Rat

Predicted Reactivity

  • Human
  • Pig
  • Horse
Overview
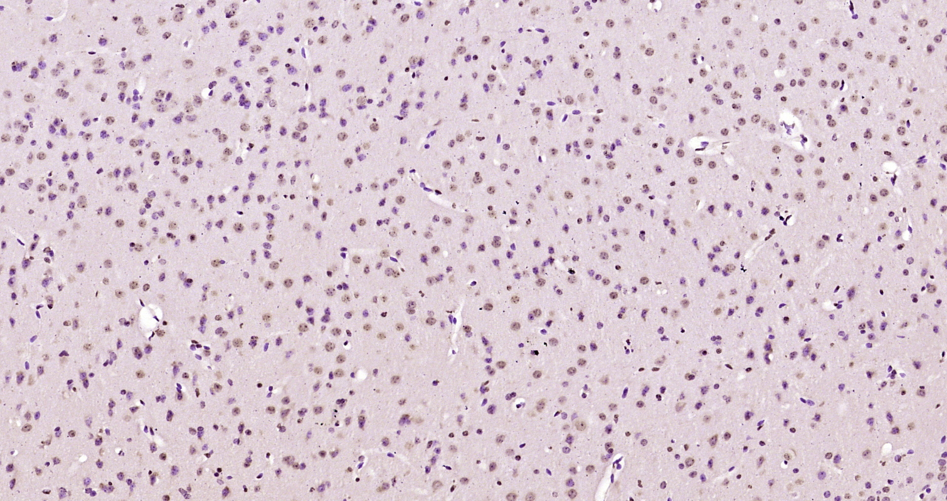
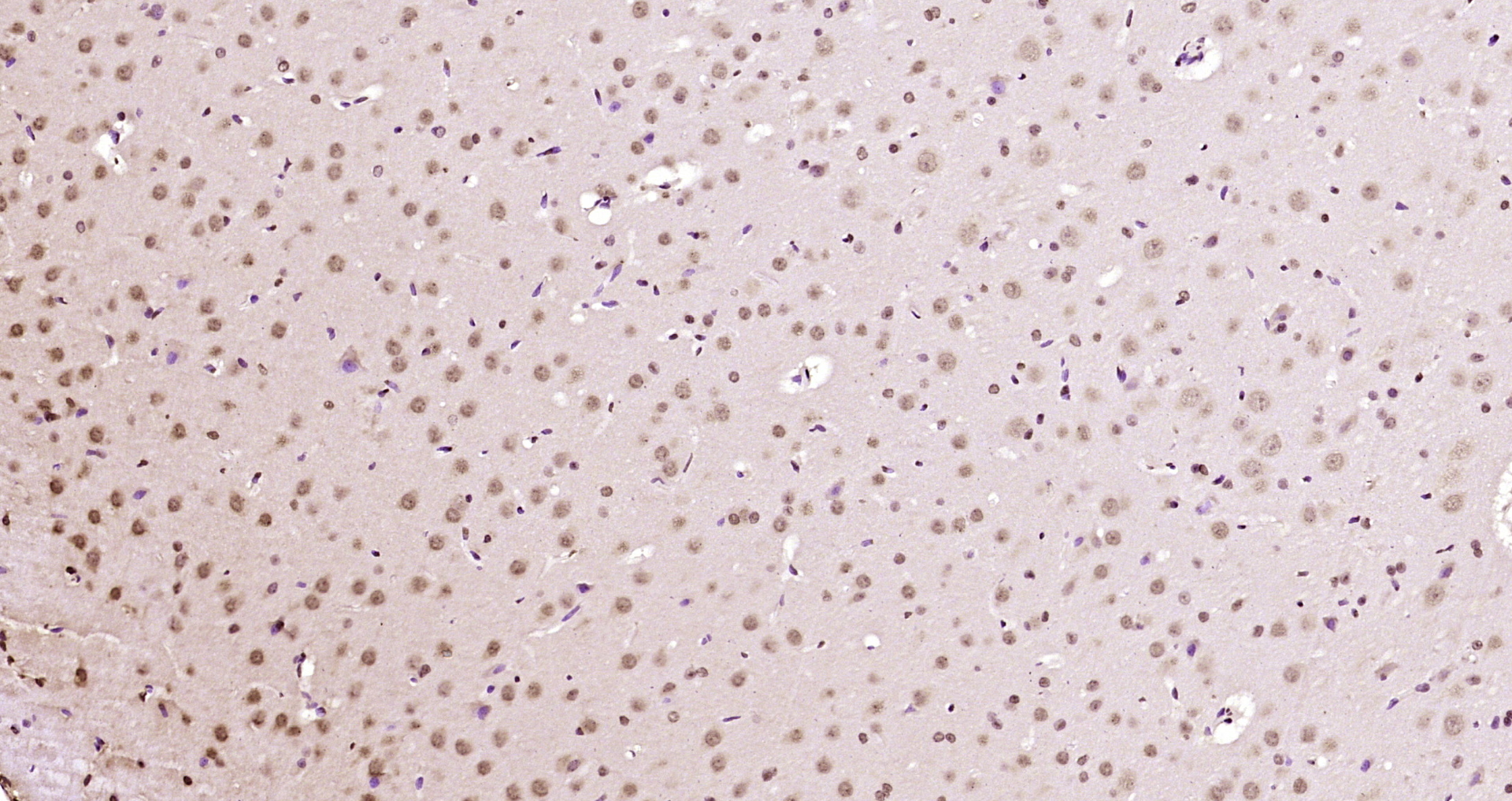
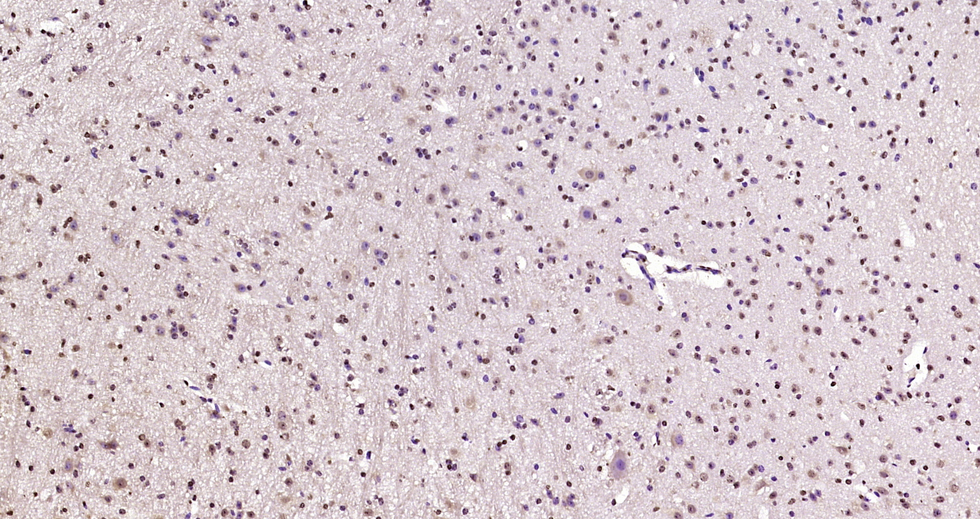
Catalog # bs-17033R
Product Name KIAA2022 Polyclonal Antibody
Applications ELISA, IHC-P, IHC-F, IF(IHC-P), IF(IHC-F), IF(ICC)
Reactivity Mouse, Rat
Predicted Reactivity Human, Pig, Horse
Specifications
Conjugation Unconjugated
Host Rabbit
Source KLH conjugated synthetic peptide derived from human Protein KIAA2022
Clonality Polyclonal
Clone # #REF!
Isotype IgG
Concentration 1ug/ul
Purification Purified by Protein A.
Storage Buffer 0.01M TBS(pH7.4) with 1% BSA, 0.02% Proclin300 and 50% Glycerol.
Storage Condition Shipped at 4C. Store at -20C for one year. Avoid repeated freeze/thaw cycles.
Target
Gene ID 340533
Swiss Prot Q8N163
Subcellular location Nucleus
Synonyms Protein KIAA2022; expressed sequence C77370; K2022_HUMAN; Kiaa2022; RP11-130N24.1; RP23-35L3.1; Uncharacterized protein KIAA2022.
Application Dilution
ELISA 1:500-1000
IHC-P 1:200-400
IHC-F 1:100-500
IF(IHC-P) 1:50-200
IF(IHC-F) 1:50-200
IF(ICC) 1:50-200