Receive 30% off all Monoclonal IHC antibodies with code "MONO-IHC-30"! Offer valid for US customers and available internationally through distributors.

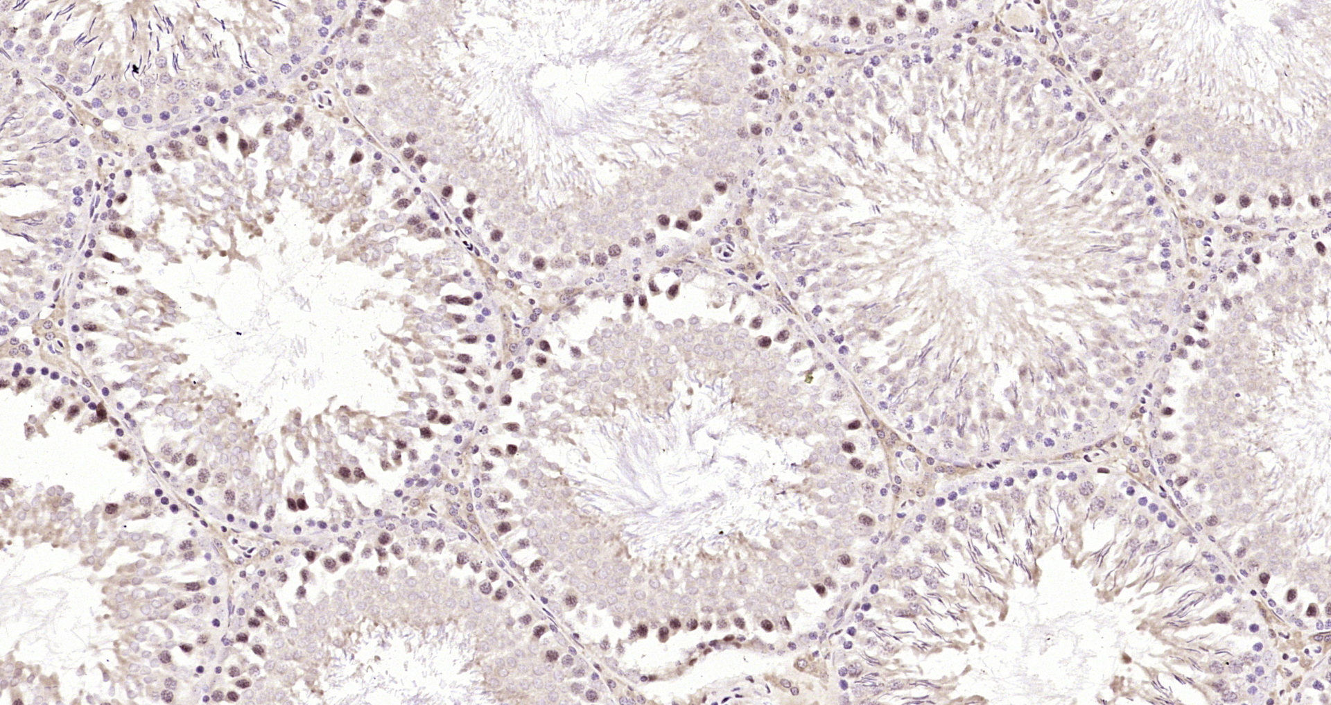
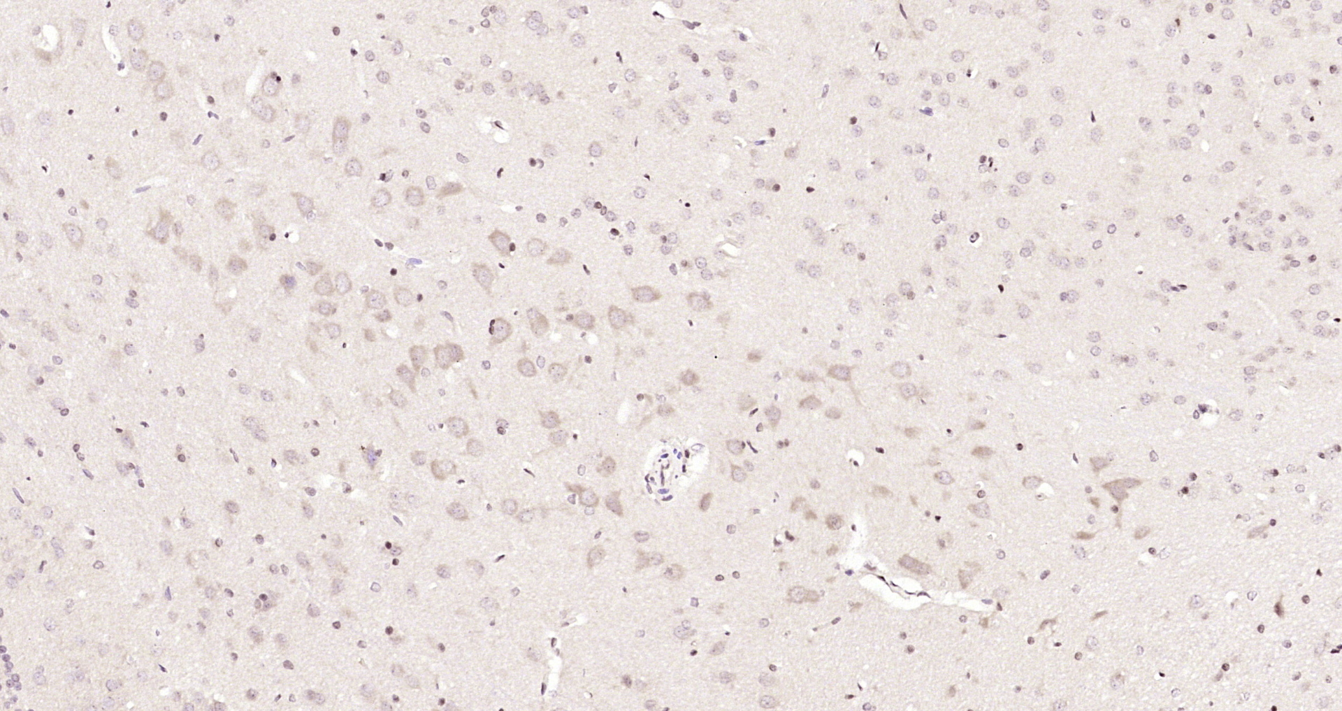
METTL3 Polyclonal Antibody

Applications

  • WB
  • ELISA
  • IHC-P
  • IHC-F
  • IF(IHC-P)
  • IF(IHC-F)
  • IF(ICC)

Reactivity

  • Rat

Predicted Reactivity

  • Human
  • Mouse
  • Cow
  • Sheep
  • Pig
  • Rabbit
Overview
Catalog # bs-17609R
Product Name METTL3 Polyclonal Antibody
Applications WB, ELISA, IHC-P, IHC-F, IF(IHC-P), IF(IHC-F), IF(ICC)
Reactivity Rat
Predicted Reactivity Human, Mouse, Cow, Sheep, Pig, Rabbit
Specifications
Conjugation Unconjugated
Host Rabbit
Source KLH conjugated synthetic peptide derived from human METTL3
Clonality Polyclonal
Clone # #REF!
Isotype IgG
Concentration 1ug/ul
Purification Purified by Protein A.
Storage Buffer 0.01M TBS(pH7.4) with 1% BSA, 0.02% Proclin300 and 50% Glycerol.
Storage Condition Shipped at 4C. Store at -20C for one year. Avoid repeated freeze/thaw cycles.
Target
Gene ID 56339
Swiss Prot Q86U44
Subcellular location Nucleus
Synonyms IME4; Methyltransferase like protein 3; Methyltransferase-like protein 3; Methyltransferase like 3; METTL3; MT-A70; MTA70; MTA70_HUMAN; N6 adenosine methyltransferase 70 kDa subunit; N6-adenosine-methyltransferase 70 kDa subunit.
Background N6-methyltransferase that methylates adenosine residues of some mRNAs. N6-methyladenosine (m6A), which is present at internal sites of some mRNAs, may play a role in the efficiency of mRNA splicing, transport or translation.
Application Dilution
WB 1:300-5000
ELISA 1:500-1000
IHC-P 1:200-400
IHC-F 1:100-500
IF(IHC-P) 1:50-200
IF(IHC-F) 1:50-200
IF(ICC) 1:50-200