Receive 30% off all Monoclonal IHC antibodies with code "MONO-IHC-30"! Offer valid for US customers and available internationally through distributors.

GATA5 Polyclonal Antibody

Applications

  • WB
  • ELISA
  • IHC-P
  • IHC-F
  • IF(IHC-P)
  • IF(IHC-F)
  • IF(ICC)

Reactivity

  • Rat

Predicted Reactivity

  • Human
  • Mouse
  • Dog
  • Cow
  • Pig
Overview
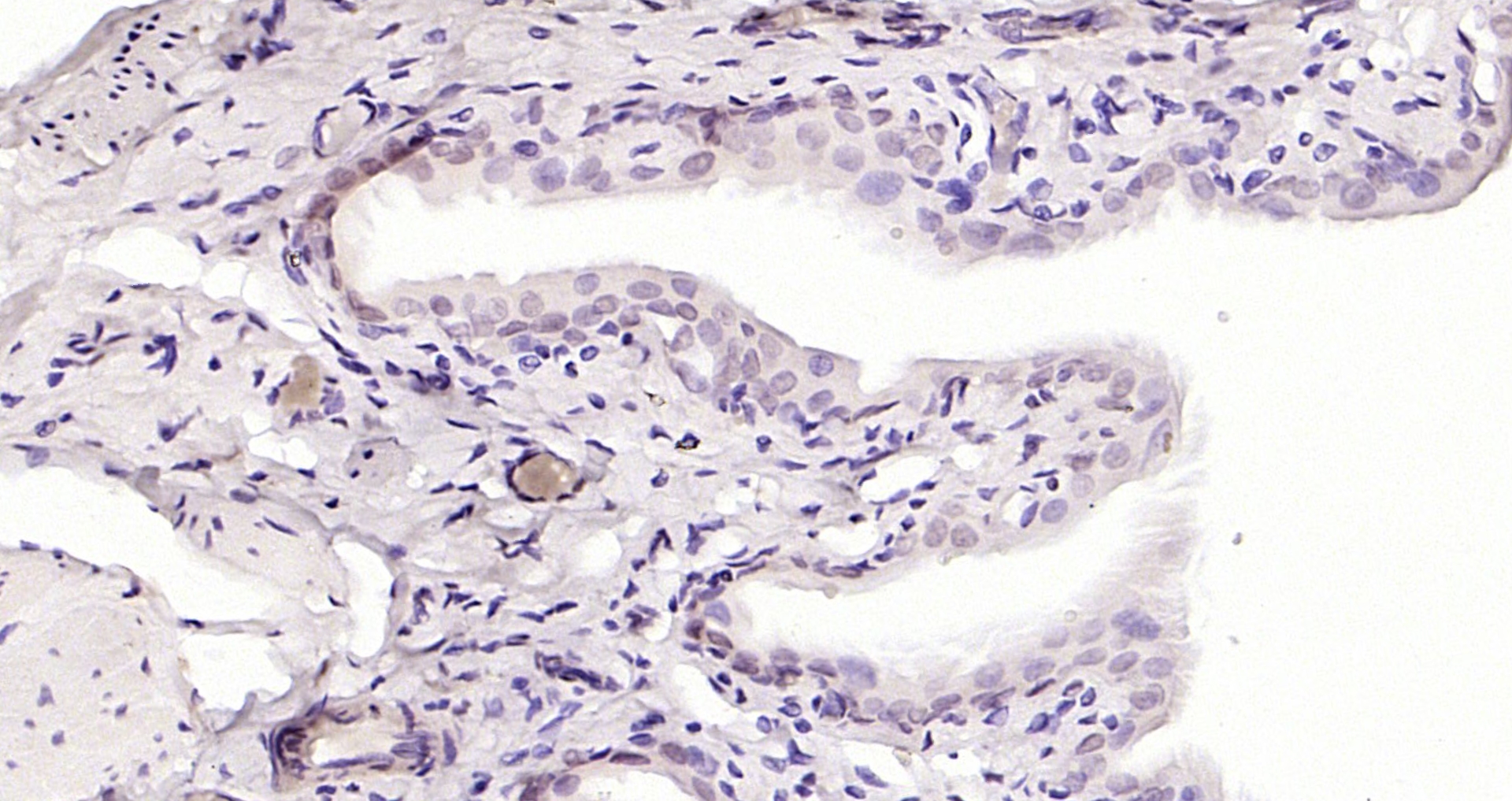
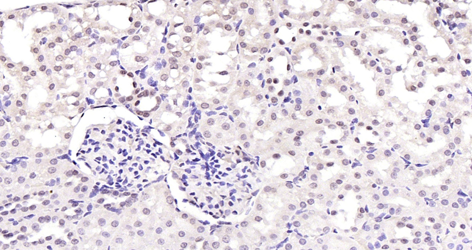
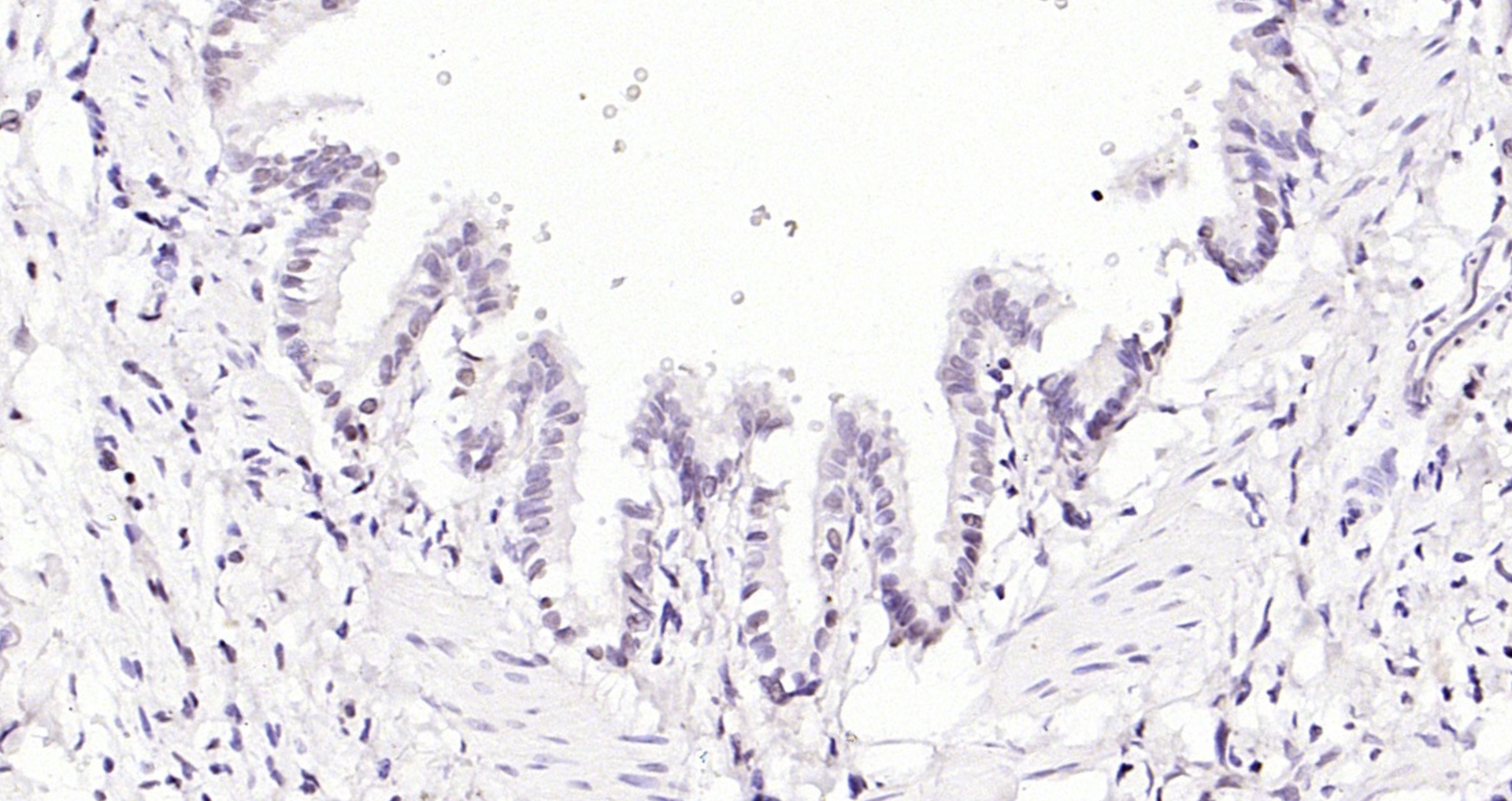
Catalog # bs-1779R
Product Name GATA5 Polyclonal Antibody
Applications WB, ELISA, IHC-P, IHC-F, IF(IHC-P), IF(IHC-F), IF(ICC)
Reactivity Rat
Predicted Reactivity Human, Mouse, Dog, Cow, Pig
Specifications
Conjugation Unconjugated
Host Rabbit
Source KLH conjugated synthetic peptide derived from human GATA-5
Clonality Polyclonal
Clone # #REF!
Isotype IgG
Concentration 1ug/ul
Purification Purified by Protein A.
Storage Buffer 0.01M TBS(pH7.4) with 1% BSA, 0.02% Proclin300 and 50% Glycerol.
Storage Condition Shipped at 4C. Store at -20C for one year. Avoid repeated freeze/thaw cycles.
Target
Gene ID 140628
Subcellular location Nucleus
Synonyms GATA binding protein 5; GATA-binding factor 5; GATA5; GATA-5; GATA5_HUMAN; Transcription factor GATA-5.
Background Members of the GATA family share a conserved zinc finger DNA-binding domain and are capable of binding the WGATAR consensus sequence. GATA-1 is erythroid-specific and is responsible for the regulated transcription of erythroid genes. It is an essential component in the generation of the erythroid lineage. GATA-2 is expressed in embryonic brain and liver, HeLa and endothelial cells, as well as in erythroid cells. Studies with a modified GATA consensus sequence, AGATCTTA, have shown that GATA-2 and GATA-3 recognize this mutated consensus while GATA-1 has poor recognition of this sequence. This indicates broader regulatory capabilities of GATA-2 and GATA-3 than GATA-1. GATA-3 is highly expressed in T lymphocytes. GATA-4, GATA-5 and GATA-6 comprise a subfamily of transcription factors. Both GATA-4 and GATA-6 are found in heart, pancreas and ovary; lung and liver tissues exhibit GATA-6, but not GATA-4 expression. GATA-5 expression has been observed in differentiated heart and gut tissues and is present throughout the course of development in the heart. Although expression patterns of the various GATA transcription factors may overlap, it is not yet apparent how the GATA factors are able to discriminate in binding their appropriate target sites.
Application Dilution
WB 1:300-5000
ELISA 1:500-1000
IHC-P 1:200-400
IHC-F 1:100-500
IF(IHC-P) 1:50-200
IF(IHC-F) 1:50-200
IF(ICC) 1:50-200