Receive 30% off all Monoclonal IHC antibodies with code "MONO-IHC-30"! Offer valid for US customers and available internationally through distributors.

RPS20 Polyclonal Antibody

Applications

  • ELISA
  • IHC-P
  • IHC-F
  • IF(IHC-P)
  • IF(IHC-F)
  • IF(ICC)

Reactivity

  • Rat
  • Yeast

Predicted Reactivity

  • Human
  • Mouse
  • Dog
  • Cow
  • Sheep
  • Pig
  • Horse
Overview
Catalog # bs-18322R
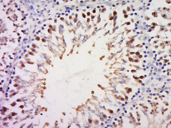
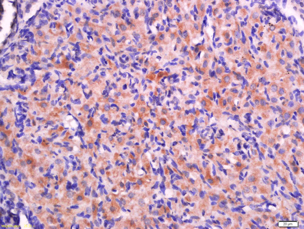
Product Name RPS20 Polyclonal Antibody
Applications ELISA, IHC-P, IHC-F, IF(IHC-P), IF(IHC-F), IF(ICC)
Reactivity Rat, Yeast
Predicted Reactivity Human, Mouse, Dog, Cow, Sheep, Pig, Horse
Specifications
Conjugation Unconjugated
Host Rabbit
Source KLH conjugated synthetic peptide derived from human RPS20
Clonality Polyclonal
Clone # #REF!
Isotype IgG
Concentration 1ug/ul
Purification Purified by Protein A.
Storage Buffer 0.01M TBS(pH7.4) with 1% BSA, 0.02% Proclin300 and 50% Glycerol.
Storage Condition Shipped at 4C. Store at -20C for one year. Avoid repeated freeze/thaw cycles.
Target
Gene ID 6224
Swiss Prot P60866
Subcellular location Cytoplasm
Synonyms S20; 40S ribosomal protein S20; RPS20
Background Mammalian ribosomal proteins are encoded by multigene families that consist of processed pseudogenes and one functional intron-containing gene within their coding regions. Ribosomal Protein S20, also known as RPS20, is a 119 amino acid cytoplasmic protein that is a component of the 40S ribosomal subunit. Co-transcribed with the small nucleolar RNA gene U54, Ribosomal Protein S20 is a primary binding protein (it binds independently to its target protein) that interacts with both the 5 and 3 minor domains of 16S ribosomal RNA (rRNA). Through its interactions with 16S rRNA, Ribosomal Protein S20 is thought to play a key role in nucleating the assembly of the 30S ribosomal subunit. Like most ribosomal protein-coding genes, the gene encoding Ribosomal Protein S20 is dispersed throughout the genome and exists as multiple processed pseudogenes.
Application Dilution
ELISA 1:500-1000
IHC-P 1:200-400
IHC-F 1:100-500
IF(IHC-P) 1:50-200
IF(IHC-F) 1:50-200
IF(ICC) 1:50-200