RECEIVE 25% OFF PUBLISHED ANTIBODIES WITH CODE "PUB25"! Offer valid for US customers and available internationally through distributors.

MEX3D/RNF193 Polyclonal Antibody

Applications

  • WB
  • ELISA
  • IHC-P
  • IHC-F
  • IF(IHC-P)
  • IF(IHC-F)
  • IF(ICC)

Reactivity

  • Human
  • Mouse
  • Rat
Overview
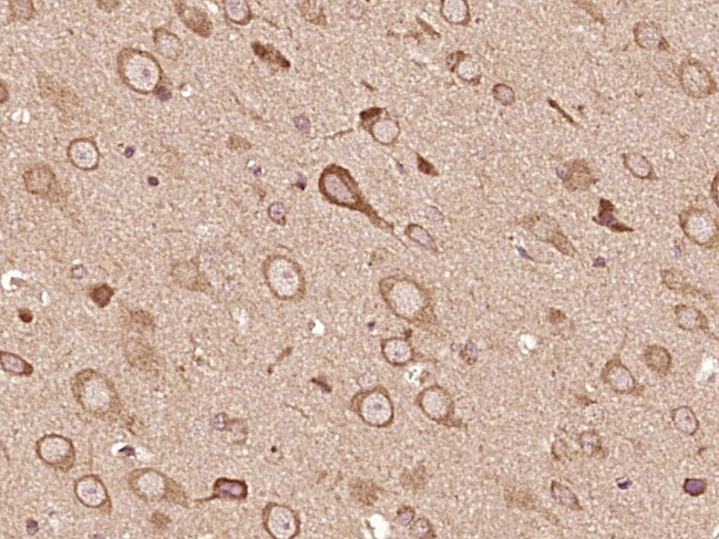
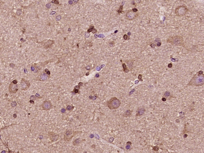
Catalog # bs-18822R
Product Name MEX3D/RNF193 Polyclonal Antibody
Applications WB, ELISA, IHC-P, IHC-F, IF(IHC-P), IF(IHC-F), IF(ICC)
Reactivity Human, Mouse, Rat
Specifications
Conjugation Unconjugated
Host Rabbit
Source KLH conjugated synthetic peptide derived from human MEX3D/RNF193
Clonality Polyclonal
Clone # #REF!
Isotype IgG
Concentration 1ug/ul
Purification Purified by Protein A.
Storage Buffer 0.01M TBS(pH7.4) with 1% BSA, 0.02% Proclin300 and 50% Glycerol.
Storage Condition Shipped at 4C. Store at -20C for one year. Avoid repeated freeze/thaw cycles.
Target
Gene ID 399664
Swiss Prot Q86XN8
Subcellular location Cytoplasm, Nucleus
Synonyms bcl-2 ARE RNA binding protein; mex 3 homolog D (C. elegans); MEX 3D; mex3; OK/SW-cl.4; ring finger (C3HC4 type) and KH domain containing 1; Ring finger and KH domain containing 1; RKHD1; RNF193; tino.
Background RNA binding protein, may be involved in post-transcriptional regulatory mechanisms.
Application Dilution
WB 1:300-5000
ELISA 1:500-1000
IHC-P 1:200-400
IHC-F 1:100-500
IF(IHC-P) 1:50-200
IF(IHC-F) 1:50-200
IF(ICC) 1:50-200