Receive 30% off all Monoclonal IHC antibodies with code "MONO-IHC-30"! Offer valid for US customers and available internationally through distributors.

ZFPL1 Polyclonal Antibody

Applications

  • ELISA
  • IHC-P
  • IHC-F
  • IF(IHC-P)
  • IF(IHC-F)
  • IF(ICC)

Reactivity

  • Human
  • Mouse
  • Rat

Predicted Reactivity

  • Cow
  • Sheep
  • Pig
  • Horse
  • Rabbit
Overview
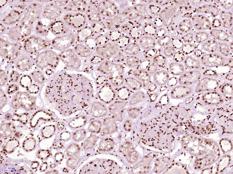
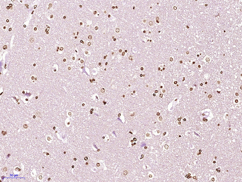
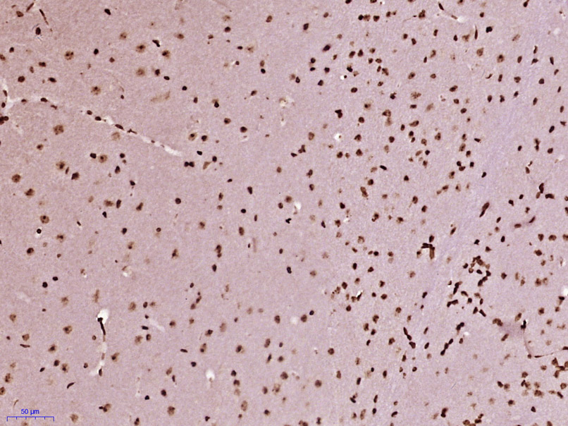
Catalog # bs-19136R
Product Name ZFPL1 Polyclonal Antibody
Applications ELISA, IHC-P, IHC-F, IF(IHC-P), IF(IHC-F), IF(ICC)
Reactivity Human, Mouse, Rat
Predicted Reactivity Cow, Sheep, Pig, Horse, Rabbit
Specifications
Conjugation Unconjugated
Host Rabbit
Source KLH conjugated synthetic peptide derived from human ZFPL1
Clonality Polyclonal
Clone # #REF!
Isotype IgG
Concentration 1ug/ul
Purification Purified by Protein A.
Storage Buffer 0.01M TBS(pH7.4) with 1% BSA, 0.02% Proclin300 and 50% Glycerol.
Storage Condition Shipped at 4C. Store at -20C for one year. Avoid repeated freeze/thaw cycles.
Target
Gene ID 7542
Swiss Prot O95159
Subcellular location Nucleus
Synonyms D11S750; MCG4; MGC 4; ZFPL 1; Zinc finger protein like 1; Zinc finger protein MCG4; zinc-finger protein in MEN1 region.
Background Zinc finger protein-like 1 is a 310 amino acid single-pass membrane protein with two zinc fingers at the N-terminus, the second of which is likely a RING domain. The RING domain, which is a 40-60 amino acid, cysteine-rich domain that binds two atoms of zinc, plays a key role in the ubiquitination pathway. The presence of zinc finger-like and leucine zipper-like domains in ZFPL1 suggests a role in DNA binding and transcriptional regulation. ZFP1 is widely expressed in the golgi apparatus and is involved in maintaining golgi structure and regulating the rate of cargo transport.
Application Dilution
ELISA 1:500-1000
IHC-P 1:200-400
IHC-F 1:100-500
IF(IHC-P) 1:50-200
IF(IHC-F) 1:50-200
IF(ICC) 1:50-200