RECEIVE 25% OFF PUBLISHED ANTIBODIES WITH CODE "PUB25"! Offer valid for US customers and available internationally through distributors.

ZFY19 Polyclonal Antibody

Applications

  • WB
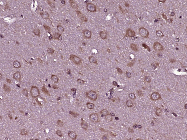
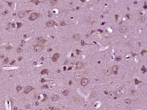
  • IHC-P
  • IHC-F
  • IF

Reactivity

  • Human
  • Mouse
  • Rat

Predicted Reactivity

  • Dog
  • Cow
  • Sheep
  • Pig
  • Horse
  • Rabbit
Overview
Catalog # bs-19138R
Product Name ZFY19 Polyclonal Antibody
Applications WB, IHC-P, IHC-F, IF
Reactivity Human, Mouse, Rat
Predicted Reactivity Dog, Cow, Sheep, Pig, Horse, Rabbit
Specifications
Conjugation Unconjugated
Host Rabbit
Source KLH conjugated synthetic peptide derived from human ZFY19
Clonality Polyclonal
Clone # #REF!
Isotype IgG
Concentration 1ug/ul
Purification Purified by Protein A.
Storage Buffer 0.01M TBS(pH7.4) with 1% BSA, 0.02% Proclin300 and 50% Glycerol.
Storage Condition Shipped at 4C. Store at -20C for one year. Avoid repeated freeze/thaw cycles.
Target
Gene ID 84936
Swiss Prot Q96K21
Subcellular location Cytoplasm
Synonyms ZFYVE19; MLL partner containing FYVE domain; MPFYVE; ZFY19_HUMAN; ZFYVE 19; Zfyve19; Zinc finger FYVE domain containing protein 19; Zinc finger FYVE domain-containing protein 19.
Application Dilution
WB 1:300-5000
IHC-P ELISA1:500-1000
IHC-F IHC-P1:200-400
IF