Receive 30% off all Monoclonal IHC antibodies with code "MONO-IHC-30"! Offer valid for US customers and available internationally through distributors.

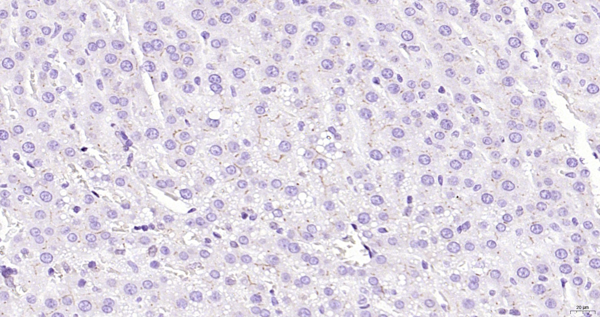
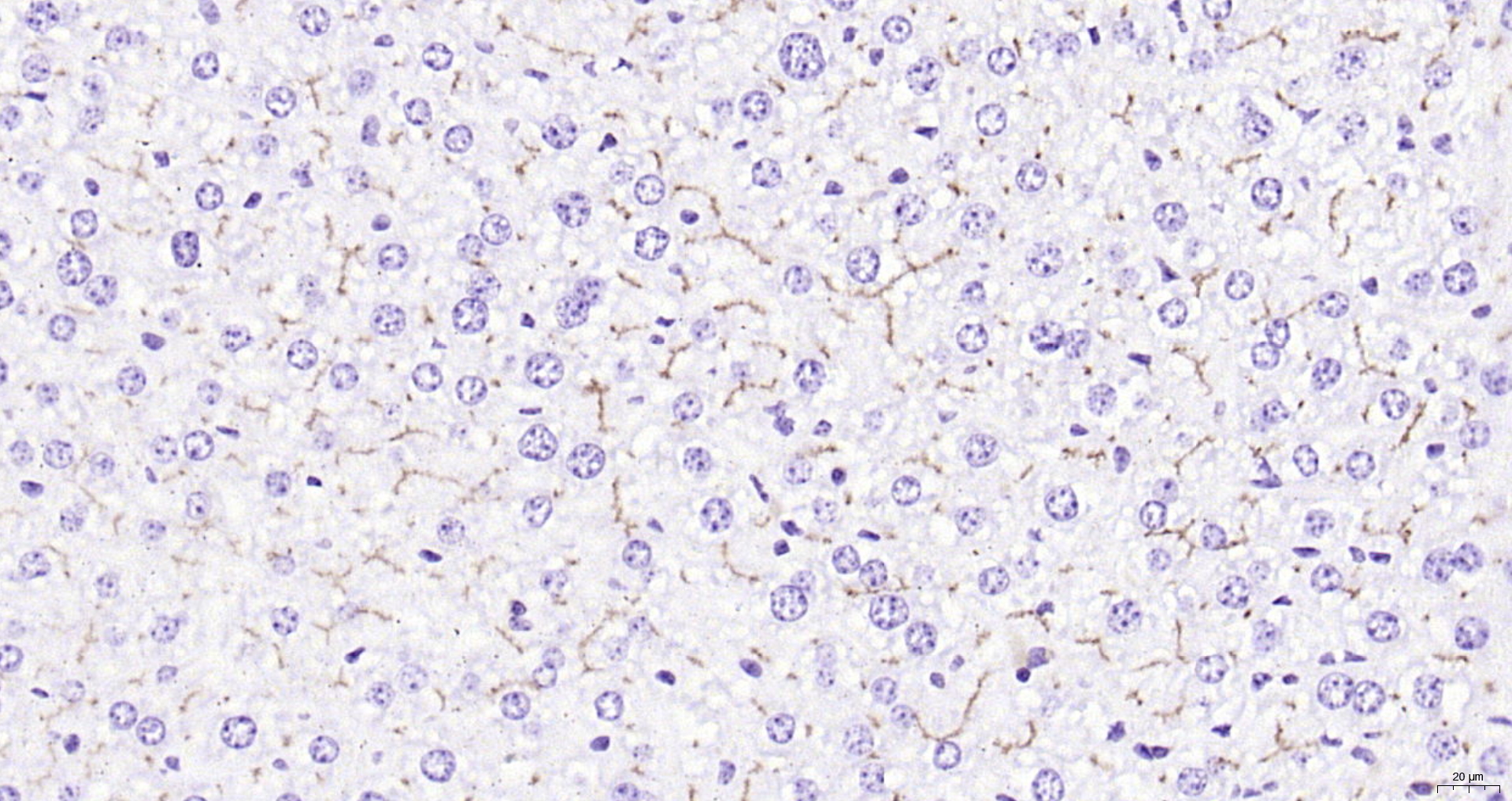
ABCB11 Polyclonal Antibody

Applications

  • ELISA
  • IHC-P
  • IHC-F
  • IF

Reactivity

  • Rat

Predicted Reactivity

  • Human
  • Mouse
  • Rabbit
Overview
Catalog # bs-1954R
Product Name ABCB11 Polyclonal Antibody
Applications ELISA, IHC-P, IHC-F, IF
Reactivity Rat
Predicted Reactivity Human, Mouse, Rabbit
Specifications
Conjugation Unconjugated
Host Rabbit
Source KLH conjugated synthetic peptide derived from mouse BSEP
Clonality Polyclonal
Clone # #REF!
Isotype IgG
Concentration 1ug/ul
Purification Purified by Protein A.
Storage Buffer 0.01M TBS(pH7.4) with 1% BSA, 0.02% Proclin300 and 50% Glycerol.
Storage Condition Shipped at 4_. Store at -20_ for one year. Avoid repeated freeze/thaw cycles.
Target
Gene ID 27413
Swiss Prot Q9QY30
Subcellular location Cell membrane
Synonyms Bsep; PGY4; SPGP; ABC16; Lith1; PFIC2; Bile salt export pump; ATP-binding cassette sub-family B member 11; Sister of P-glycoprotein; Abcb11
Background Involved in the ATP-dependent secretion of bile salts into the canaliculus of hepatocytes.
Application Dilution
ELISA 1:500-1000
IHC-P 1:200-400
IHC-F
IF