Receive 30% off all Monoclonal IHC antibodies with code "MONO-IHC-30"! Offer valid for US customers and available internationally through distributors.

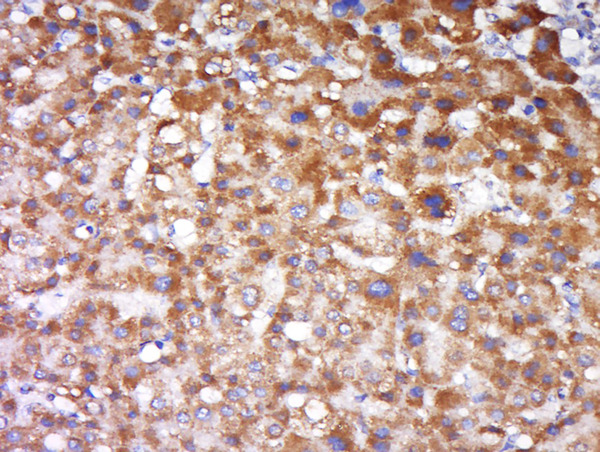
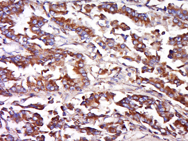
FAIM3 Polyclonal Antibody

Applications

  • WB
  • ELISA
  • IHC-P
  • IHC-F
  • IF(IHC-P)
  • IF(IHC-F)
  • IF(ICC)

Reactivity

  • Human
Overview
Catalog # bs-20130R
Product Name FAIM3 Polyclonal Antibody
Applications WB, ELISA, IHC-P, IHC-F, IF(IHC-P), IF(IHC-F), IF(ICC)
Reactivity Human
Specifications
Conjugation Unconjugated
Host Rabbit
Source KLH conjugated synthetic peptide derived from human FAIM3
Clonality Polyclonal
Clone # #REF!
Isotype IgG
Concentration 1ug/ul
Purification Purified by Protein A.
Storage Buffer 0.01M TBS(pH7.4) with 1% BSA, 0.02% Proclin300 and 50% Glycerol.
Storage Condition Shipped at 4C. Store at -20C for one year. Avoid repeated freeze/thaw cycles.
Target
Gene ID 9214
Swiss Prot O60667
Subcellular location Secreted, Cell membrane
Synonyms TOSO; FAIM3; Fas apoptotic inhibitory molecule 3; Regulator of Fas-induced apoptosis Toso
Background May play a role in the immune system processes. Protects cells from FAS-, TNF alpha- and FADD-induced apoptosis without increasing expression of the inhibitors of apoptosis BCL2 and BCLXL. Seems to activate an inhibitory pathway that prevents CASP8 activation following FAS stimulation, rather than blocking apoptotic signals downstream. May inhibit FAS-induced apoptosis by preventing CASP8 processing through CFLAR up-regulation.
Application Dilution
WB 1:300-5000
ELISA 1:500-1000
IHC-P 1:200-400
IHC-F 1:100-500
IF(IHC-P) 1:50-200
IF(IHC-F) 1:50-200
IF(ICC) 1:50-200