RECEIVE 25% OFF PUBLISHED ANTIBODIES WITH CODE "PUB25"! Offer valid for US customers and available internationally through distributors.

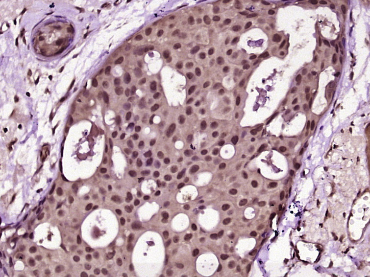
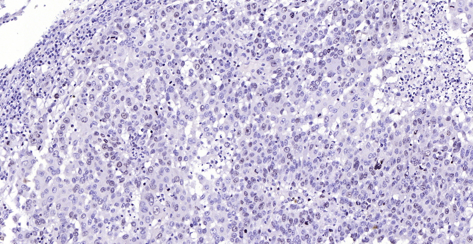
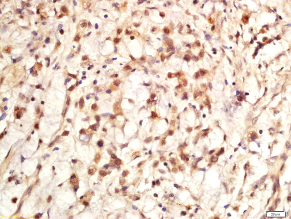
Ki-67 Polyclonal Antibody

Applications

  • IHC-P
  • IHC-F
  • IF
  • ICC/IF

Reactivity

  • Human
  • Mouse
  • Rat
Overview
Catalog # bs-2130R
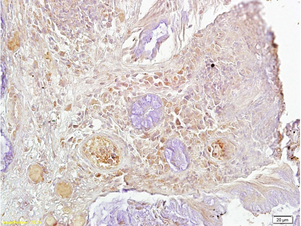
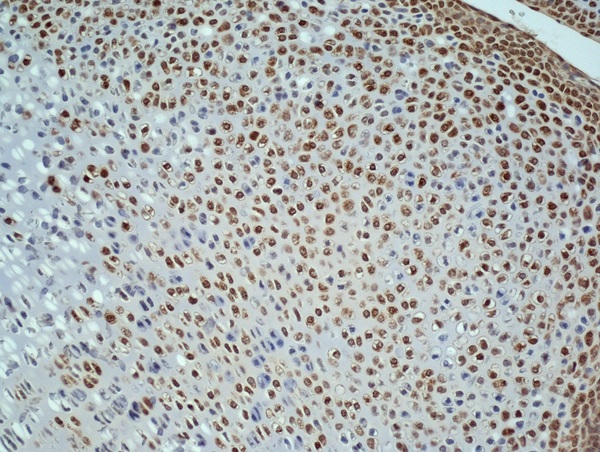
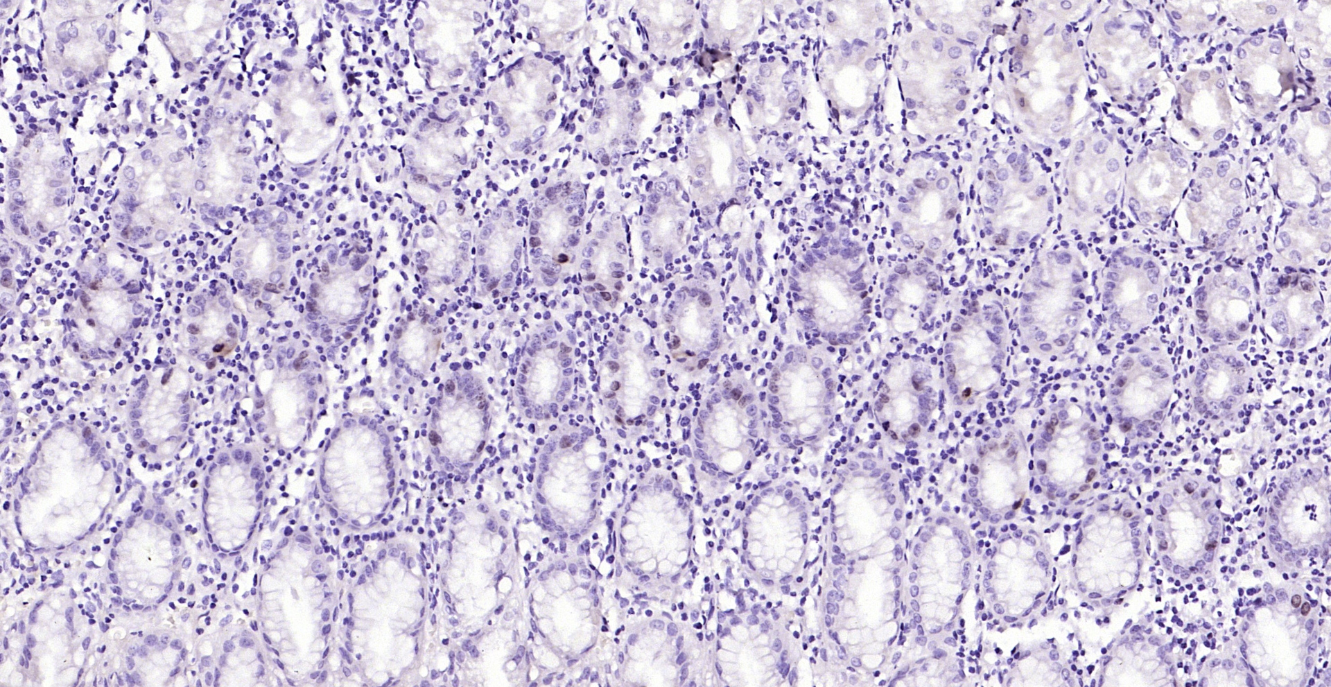
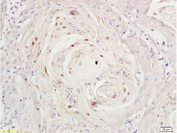
Product Name Ki-67 Polyclonal Antibody
Applications IHC-P, IHC-F, IF, ICC/IF
Reactivity Human, Mouse, Rat
Specifications
Conjugation Unconjugated
Host Rabbit
Source KLH conjugated synthetic peptide derived from human Ki67
Clonality Polyclonal
Clone # #REF!
Isotype IgG
Concentration 1ug/ul
Purification Purified by Protein A.
Storage Buffer 0.01M TBS(pH7.4) with 1% BSA, 0.02% Proclin300 and 50% Glycerol.
Storage Condition Shipped at 4_. Store at -20_ for one year. Avoid repeated freeze/thaw cycles.
Target
Gene ID 4288
Swiss Prot P46013
Subcellular location Nucleus
Synonyms KIA; MIB-; MIB-1; PPP1R15; Antigen KI-67; MKI67
Background Proliferation Marker Ki67 antigen is the prototypic cell cycle related nuclear protein, expressed by proliferating cells in all phases of the active cell cycle (G1, S, G2 and M phase). It is absent in resting (G0) cells. Ki67 are useful in establishing the cell growing fraction in neoplasms (immunohistochemically quantified by determining the number of Ki67 positive cells among the total number of resting cells = Ki67 index). In neoplastic tissues the prognostic value is comparable to the tritiated thymidine labelling index. The correlation between low Ki67 index and histologically low grade tumours is strong. Ki67 is routinely used as a neuronal marker of cell cycling and proliferation.
Application Dilution
IHC-P ELISA1:500-1000
IHC-F IHC-P1:200-400
IF IHC-P1:50-200
ICC/IF