Receive 30% off all Monoclonal IHC antibodies with code "MONO-IHC-30"! Offer valid for US customers and available internationally through distributors.

SM22 Alpha Polyclonal Antibody

Applications

  • ELISA
  • FCM
  • IHC-P
  • IHC-F
  • IF(IHC-P)
  • IF(IHC-F)
  • IF(ICC)

Reactivity

  • Human
  • Mouse
  • Rat

Predicted Reactivity

  • Dog
  • Cow
  • Pig
  • Horse
  • Chicken
  • Rabbit
Overview
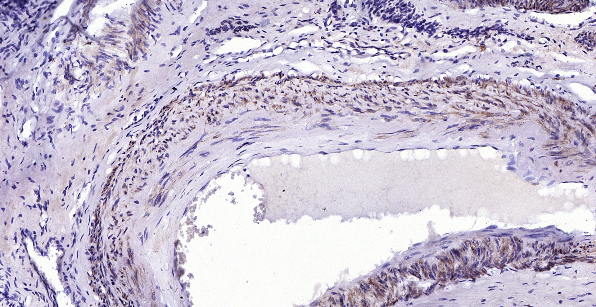
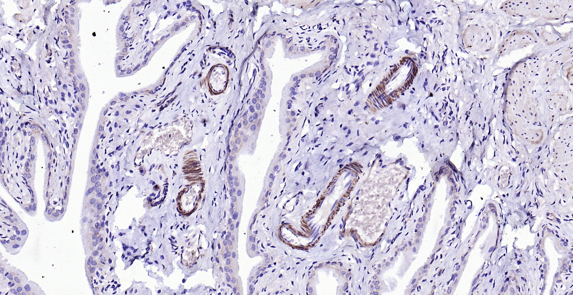
Catalog # bs-2178R
Product Name SM22 Alpha Polyclonal Antibody
Applications ELISA, FCM, IHC-P, IHC-F, IF(IHC-P), IF(IHC-F), IF(ICC)
Reactivity Human, Mouse, Rat
Predicted Reactivity Dog, Cow, Pig, Horse, Chicken, Rabbit
Specifications
Conjugation Unconjugated
Host Rabbit
Source KLH conjugated synthetic peptide derived from human SM22 Alpha
Clonality Polyclonal
Clone # #REF!
Isotype IgG
Concentration 1ug/ul
Purification Purified by Protein A.
Storage Buffer 0.01M TBS(pH7.4) with 1% BSA, 0.02% Proclin300 and 50% Glycerol.
Storage Condition Shipped at 4C. Store at -20C for one year. Avoid repeated freeze/thaw cycles.
Target
Gene ID 6876
Subcellular location Cytoplasm
Synonyms 22 kDa actin binding protein; 22 kDa actin-binding protein; Transgelin; DKFZp686P11128; Human 22kDa smooth muscle protein; Protein WS3-10; SM22 alpha; SM22; SM22-alpha; SMCC; Smooth muscle protein 22-alpha; TAGL_HUMAN; TAGLN; TAGLN1; transgelin; Transgelin variant 2; WS3 10; Protein WS3-10; WS3-10.
Background SM22 alpha is an actin cross-linking/gelling protein that belongs to the calponin family. It is involved in calcium interactions and contractile properties of the cell. SM22 may contribute to replicative senescence.
Application Dilution
ELISA 1:500-1000
FCM 1:20-100
IHC-P 1:200-400
IHC-F 1:100-500
IF(IHC-P) 1:50-200
IF(IHC-F) 1:50-200
IF(ICC) 1:50-200