Receive 30% off all Monoclonal IHC antibodies with code "MONO-IHC-30"! Offer valid for US customers and available internationally through distributors.

IRS1 Polyclonal Antibody

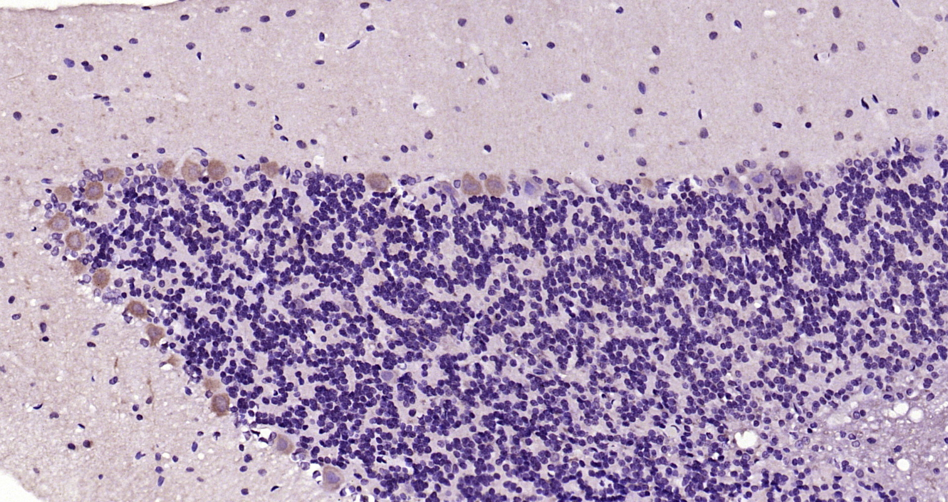
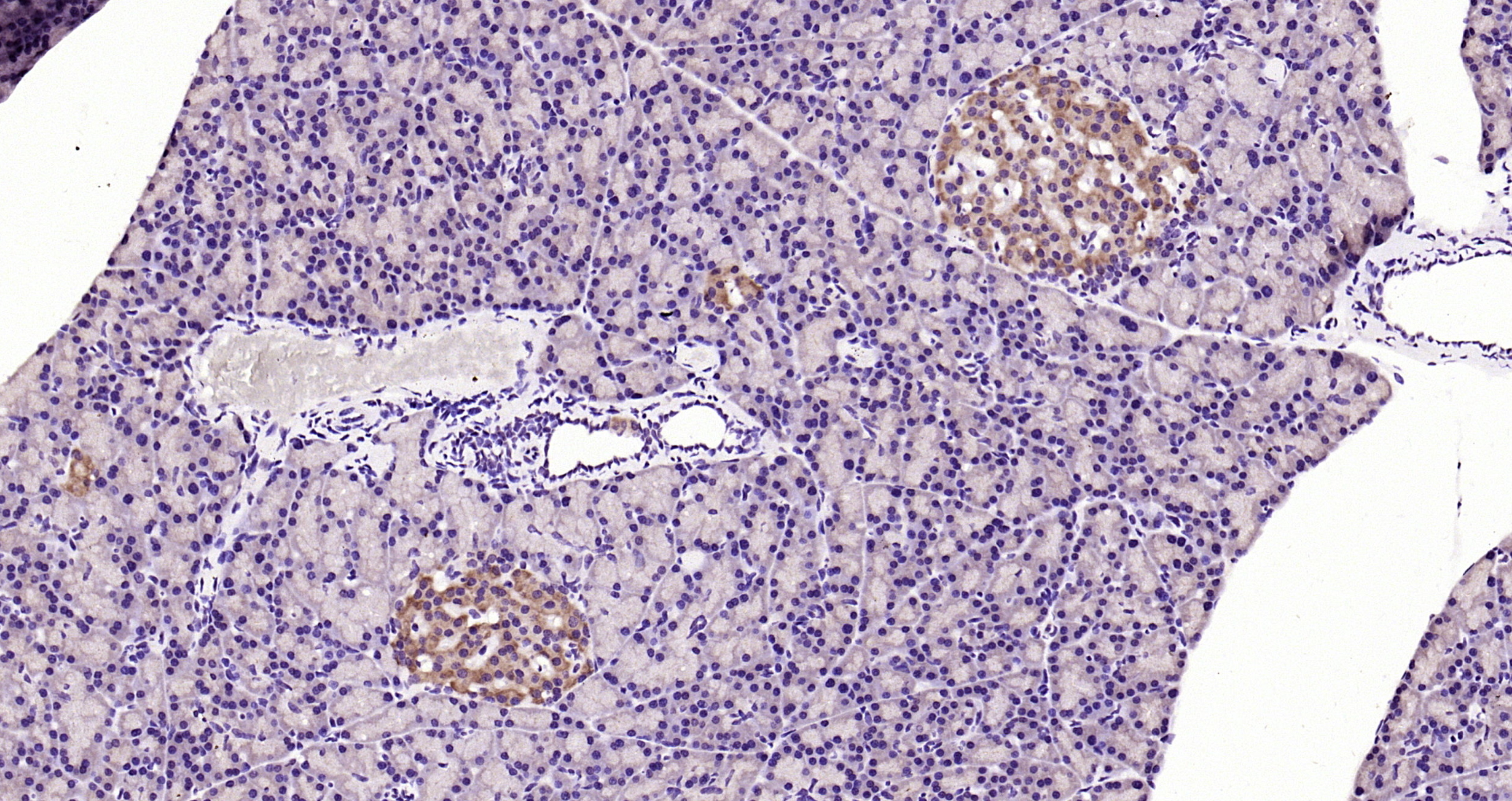
Applications

  • IHC-P
  • IHC-F
  • IF

Reactivity

  • Mouse
  • Rat
Overview
Catalog # bs-22301R
Product Name IRS1 Polyclonal Antibody
Applications IHC-P, IHC-F, IF
Reactivity Mouse, Rat
Specifications
Conjugation Unconjugated
Host Rabbit
Source KLH conjugated synthetic peptide derived from human IRS1 :721-820/1242
Clonality Polyclonal
Clone # #REF!
Isotype IgG
Concentration 1ug/ul
Purification Purified by Protein A.
Storage Buffer 0.01M TBS(pH7.4) with 1% BSA, 0.02% Proclin300 and 50% Glycerol.
Storage Condition Shipped at 4C. Store at -20C for one year. Avoid repeated freeze/thaw cycles.
Target
Gene ID 3667
Swiss Prot P35568
Subcellular location Cytoplasm, Nucleus
Synonyms HIRS 1; HIRS1; Insulin Receptor Substrate 1; IRS-1; IRS 1; IRS1; OTTHUMP00000164234; IRS1_HUMAN.
Background Insulin receptor substrates (IRS) are responsible for several insulin related activities, such as glucose homeostasis, cell growth, cell transformation, apoptosis and insulin signal transduction. Serine/threonine phosphorylation of IRS1 has been demonstrated to be a negative regulator of insulin signaling and is responsible for its degradation, although IRS1 degradation pathways are not well understood. IRS1 has also been shown to be constitutively activated in cancers such as breast cancer, Wilm's tumors, and adrenal cortical carcinomas, thus making IRS1 phosphorylation and subsequent degradation an attractive therapeutic target. To date there have been four subtypes identified: IRS1, 2, 3 and 4, with IRS1 being widely expressed. Function : May mediate the control of various cellular processes by insulin. When phosphorylated by the insulin receptor binds specifically to various cellular proteins containing SH2 domains such as phosphatidylinositol 3-kinase p85 subunit or GRB2. Activates phosphatidylinositol 3-kinase when bound to the regulatory p85 subunit. Subunit : Interacts with UBTF and PIK3CA. Interacts (via phosphorylated YXXM motifs) with PIK3R1. Interacts with ROCK1 and FER. Interacts (via PH domain) with PHIP. Interacts with GRB2. Interacts with SOCS7. Interacts (via IRS-type PTB domain) with IGF1R and INSR (via the tyrosine-phosphorylated NPXY motif). Interacts with ALK.
Application Dilution
IHC-P 1:200-400
IHC-F
IF