Receive 30% off all Monoclonal IHC antibodies with code "MONO-IHC-30"! Offer valid for US customers and available internationally through distributors.

ADAM10 Polyclonal Antibody

Applications

  • IHC-P
  • IHC-F
  • IF

Reactivity

  • Mouse
  • Rat

Predicted Reactivity

  • Human
  • Dog
  • Cow
  • Sheep
  • Pig
  • Chicken
  • Rabbit
Overview
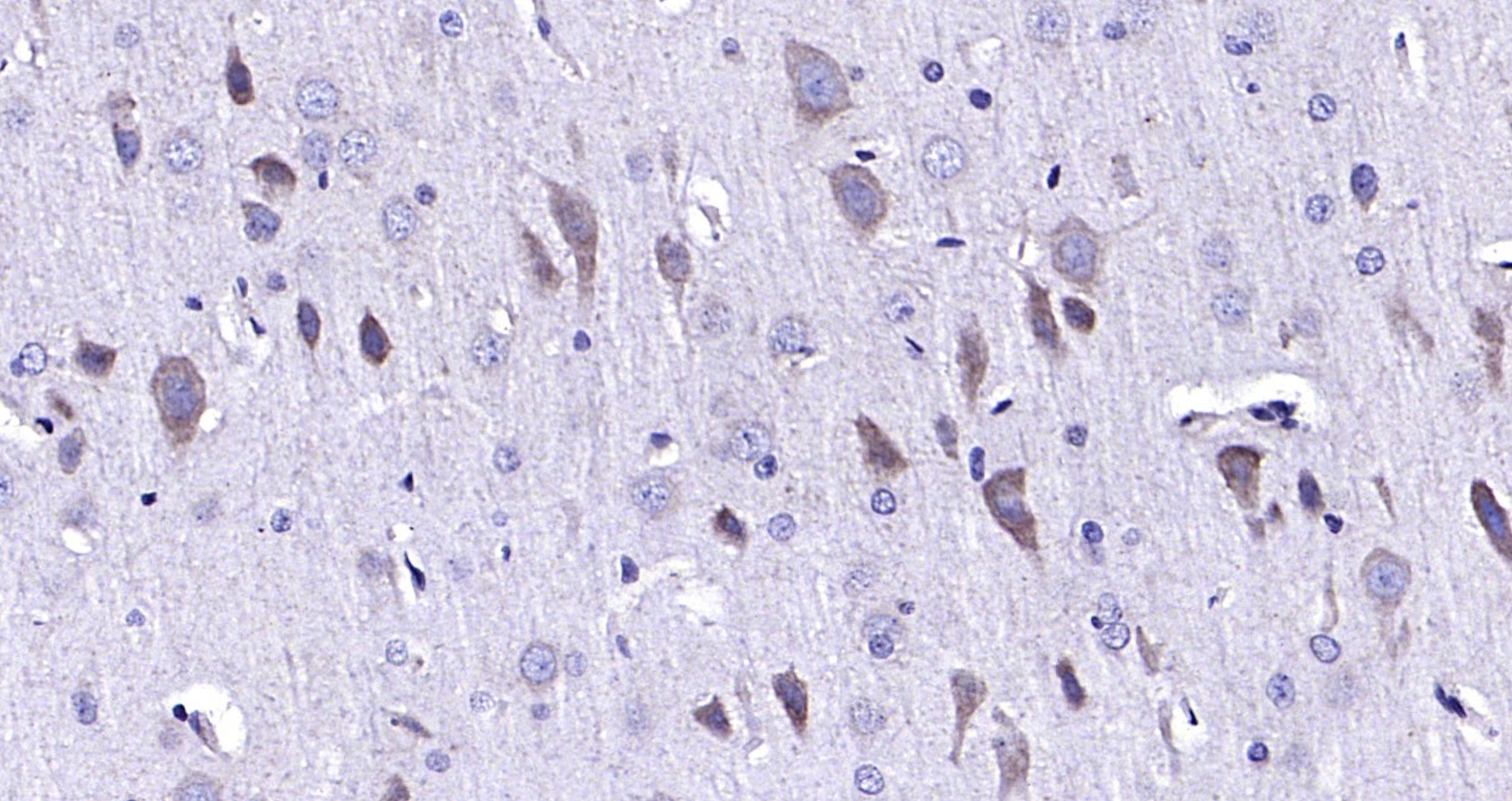
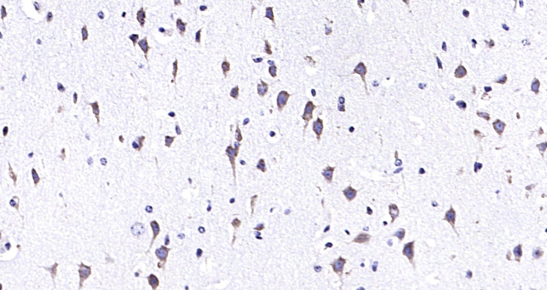
Catalog # bs-22676r
Product Name ADAM10 Polyclonal Antibody
Applications IHC-P, IHC-F, IF
Reactivity Mouse, Rat
Predicted Reactivity Human, Dog, Cow, Sheep, Pig, Chicken, Rabbit
Specifications
Conjugation Unconjugated
Host Rabbit
Source KLH conjugated synthetic peptide derived from human ADAM10/
Clonality Polyclonal
Clone # #REF!
Isotype IgG
Concentration 1mg/ml
Purification Purified by Protein A.
Storage Buffer 0.01M TBS(pH7.4) with 1% BSA, 0.02% Proclin300 and 50% Glycerol.
Storage Condition Shipped at 4C. Store at -20C for one year. Avoid repeated freeze/thaw cycles.
Target
Gene ID 102
Swiss Prot O14672
Subcellular location Cytoplasm, Cell membrane
Synonyms A disintegrin and metalloprotease domain 10; A Disintegrin And Metalloproteinase Domain 10; ADAM 10; ADAM metallopeptidase domain 10; CD 156c; CD156c; CD156c antigen; CDw156 antibody HsT 18717; HsT18717; kuz; kuzbanian; Kuzbanian protein homolog; MADM; Mammalian disintegrin metalloprotease; ADA10_HUMAN; RAK; kuz; AD10.
Application Dilution
IHC-P =1:100-500
IHC-F IHC-F=1:100-500
IF IF=1:100-500