Receive 30% off all Monoclonal IHC antibodies with code "MONO-IHC-30"! Offer valid for US customers and available internationally through distributors.

ASNS Polyclonal Antibody

Applications

  • ELISA
  • IHC-P
  • IHC-F
  • IF(IHC-P)
  • IF(IHC-F)
  • IF(ICC)

Reactivity

  • Human
  • Mouse
  • Rat

Predicted Reactivity

  • Dog
  • Cow
  • Pig
  • Horse
  • Rabbit
Overview
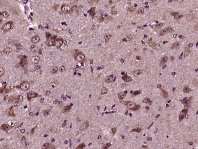
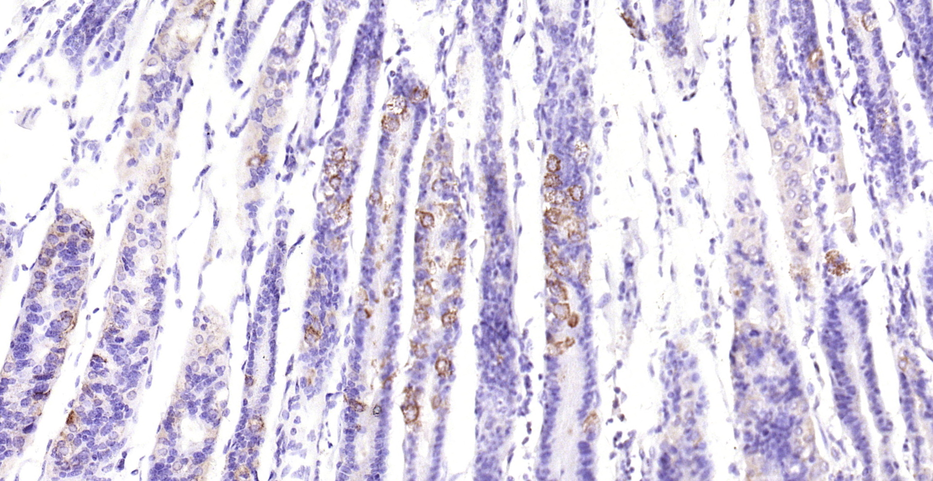
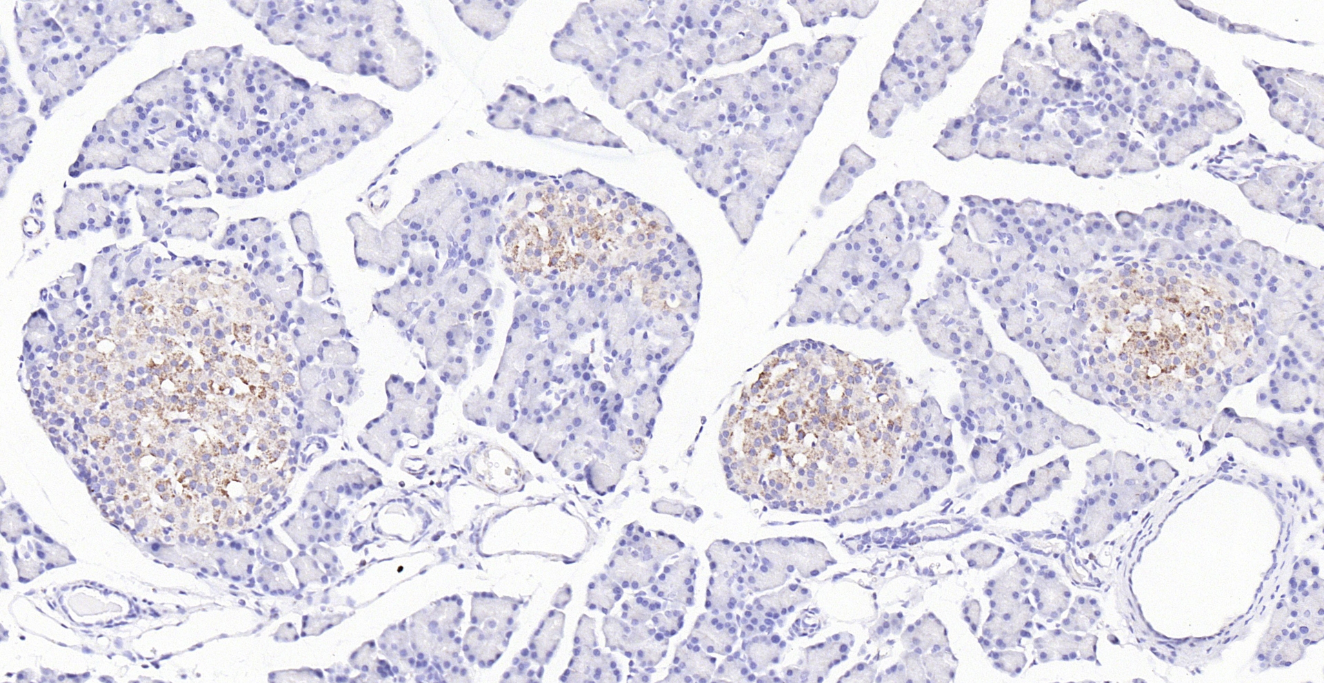
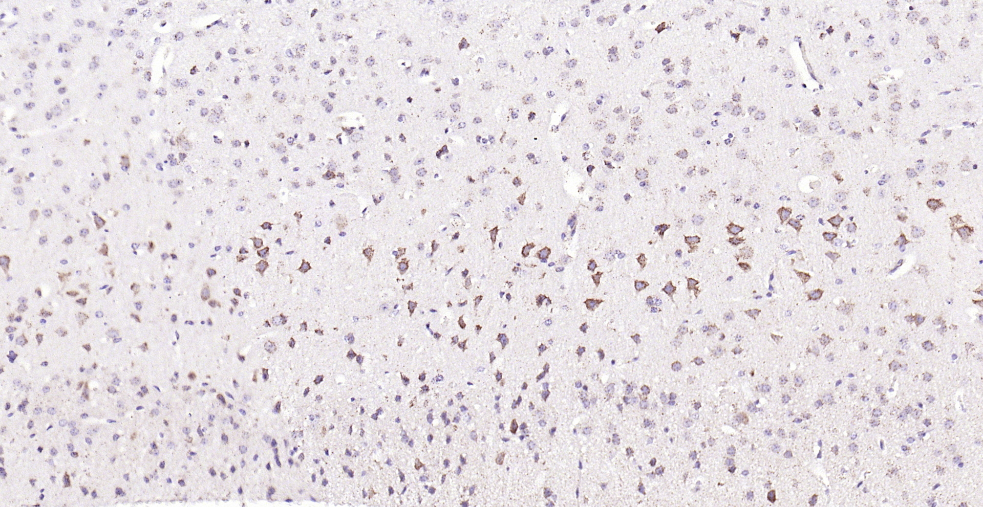
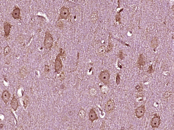
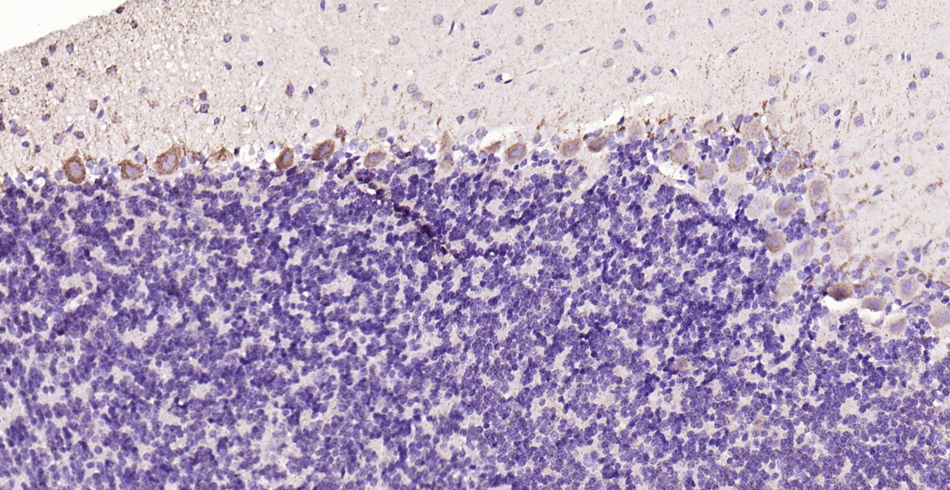
Catalog # bs-23431R
Product Name ASNS Polyclonal Antibody
Applications ELISA, IHC-P, IHC-F, IF(IHC-P), IF(IHC-F), IF(ICC)
Reactivity Human, Mouse, Rat
Predicted Reactivity Dog, Cow, Pig, Horse, Rabbit
Specifications
Conjugation Unconjugated
Host Rabbit
Source KLH conjugated synthetic peptide derived from human Asparagine synthetase
Clonality Polyclonal
Clone # #REF!
Isotype IgG
Concentration 1ug/ul
Purification Purified by Protein A.
Storage Buffer 0.01M TBS(pH7.4) with 1% BSA, 0.02% Proclin300 and 50% Glycerol.
Storage Condition Shipped at 4_. Store at -20_ for one year. Avoid repeated freeze/thaw cycles.
Target
Gene ID 440
Swiss Prot P08243
Subcellular location Cytoplasm
Synonyms asnS; ASNS_HUMAN; ASNSD; Asparagine synthetase [glutamine-hydrolyzing]; Cell cycle control protein TS11; Glutamine dependent asparagine synthetase 3; Glutamine dependent asparagine synthetase; Glutamine hydrolyzing; Glutamine-dependent asparagine synthetase; OTTHUMP00000024510; OTTHUMP00000204938; OTTHUMP00000204939; OTTHUMP00000204940; OTTHUMP00000204941; OTTHUMP00000204942; TS11; TS11 cell cycle control protein.
Background The protein encoded by this gene is involved in the synthesis of asparagine. This gene complements a mutation in the temperature-sensitive hamster mutant ts11, which blocks progression through the G1 phase of the cell cycle at nonpermissive temperature. Alternatively spliced transcript variants have been described for this gene. [provided by RefSeq, May 2010]
Application Dilution
ELISA 1:500-1000
IHC-P 1:200-400
IHC-F 1:100-500
IF(IHC-P) 1:50-200
IF(IHC-F) 1:50-200
IF(ICC) 1:50-200