Receive 30% off all Monoclonal IHC antibodies with code "MONO-IHC-30"! Offer valid for US customers and available internationally through distributors.

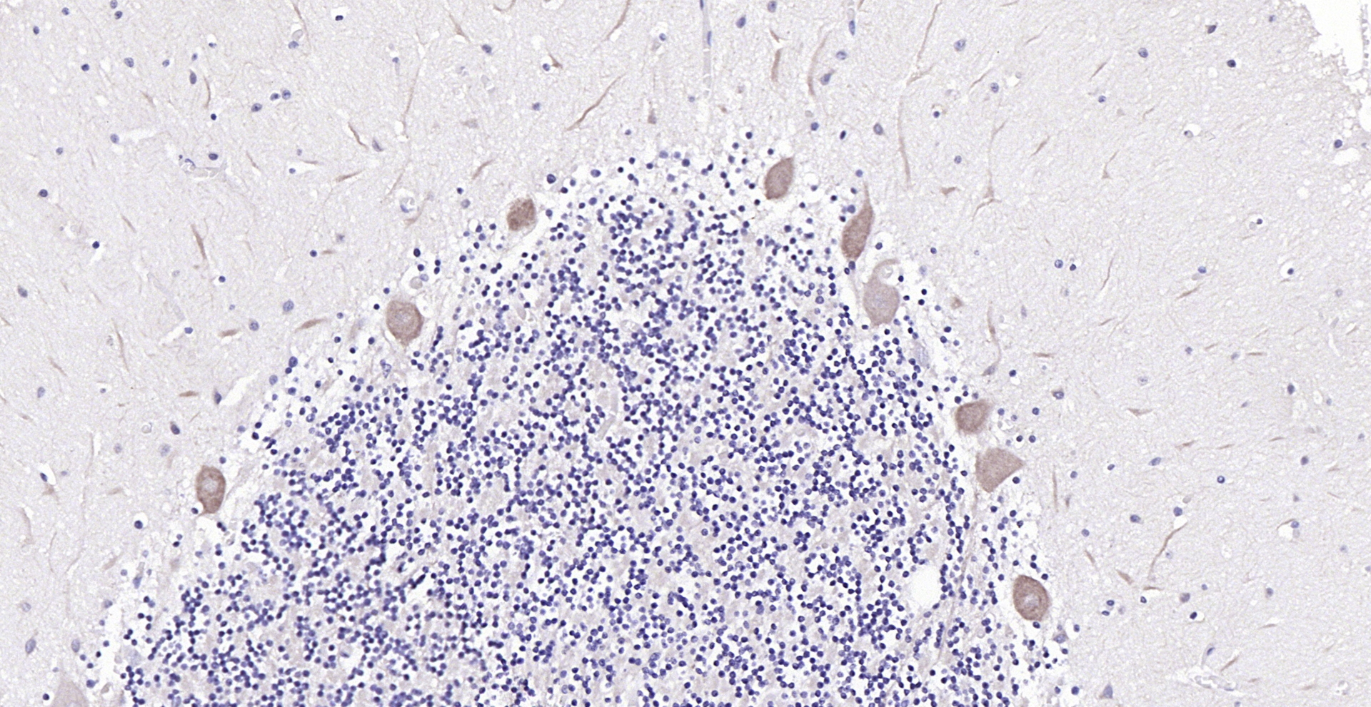
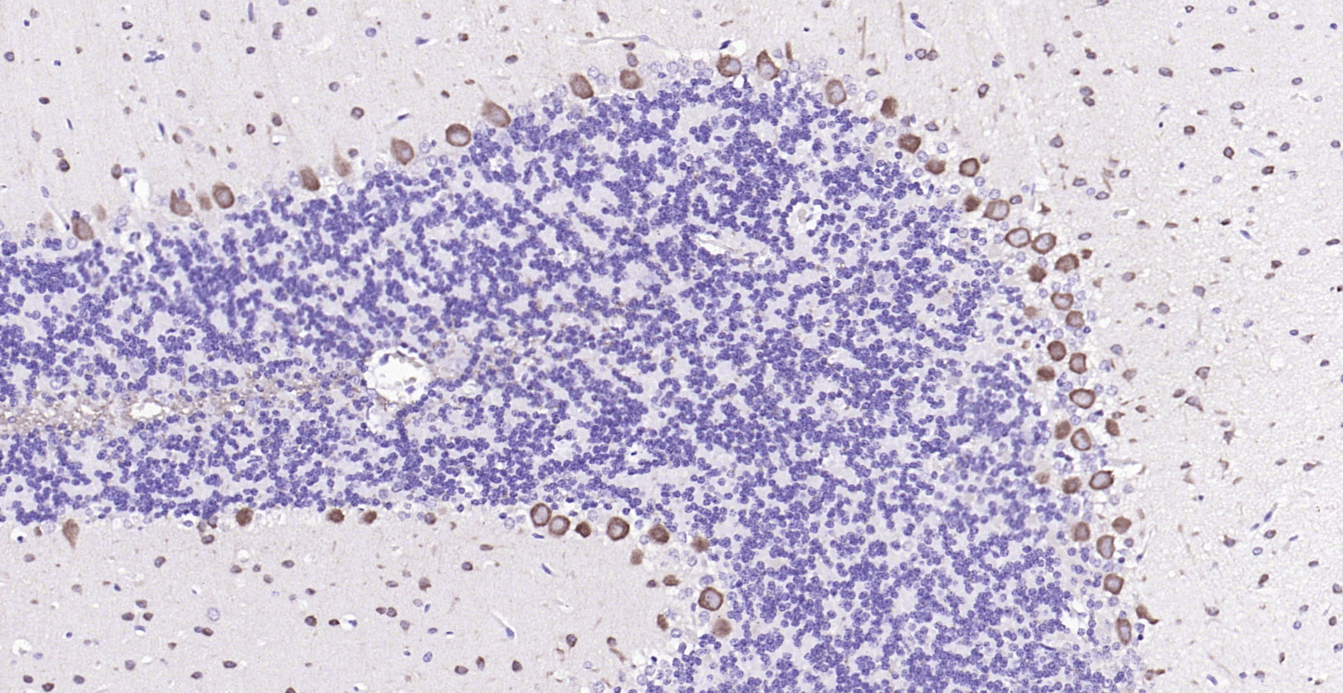
Pleiotrophin Polyclonal Antibody

Applications

  • WB
  • ELISA
  • IHC-P

Reactivity

  • Human
  • Mouse
  • Rat

Predicted Reactivity

  • Cow
  • Pig
  • Rabbit
Overview
Catalog # bs-2444R
Product Name Pleiotrophin Polyclonal Antibody
Applications WB, ELISA, IHC-P
Reactivity Human, Mouse, Rat
Predicted Reactivity Cow, Pig, Rabbit
Specifications
Conjugation Unconjugated
Host Rabbit
Source KLH conjugated synthetic peptide derived from human PTN
Clonality Polyclonal
Clone # #REF!
Isotype IgG
Concentration 1ug/ul
Purification Purified by Protein A.
Storage Buffer 0.01M TBS(pH7.4) with 1% BSA, 0.02% Proclin300 and 50% Glycerol.
Storage Condition Shipped at 4C. Store at -20C for one year. Avoid repeated freeze/thaw cycles.
Target
Gene ID 5764
Subcellular location Secreted
Synonyms pleiotrophin; HARP; HBBM; HBGAM; HBGF8; HBNF; HBNF1; Heparin Binding Growth Factor 8; Heparin binding neurite outgrowth promoting factor 1; heparin-binding growth associated molecule; NEGF1; Neurite Growth Promoting Factor 1; OSF-1; osteoblast-specic factor; PTN; PTN_HUMAN.
Background Pleiotrophin is a heparin-binding growth factor involved in the differentiation and proliferation of neuronal tissue during embryogenesis, and also secreted by melanoma and breast carcinoma cells. Pleiotrophin exhibits mitogenic and angiogenic properties and has been shown to influence the vascular supply, expansion and metastasis of tumour cells.
Application Dilution
WB 1:300-5000
ELISA 1:500-1000
IHC-P 1:200-400