Receive 30% off all Monoclonal IHC antibodies with code "MONO-IHC-30"! Offer valid for US customers and available internationally through distributors.

IL13RA2 Polyclonal Antibody

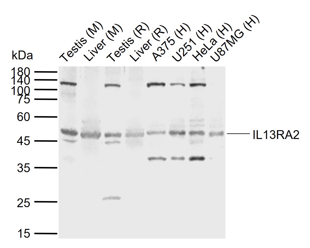
Applications

  • WB
  • ELISA
  • FCM

Reactivity

  • Human
  • Mouse
  • Rat

Predicted Reactivity

  • Dog
Overview
Catalog # bs-2461R
Product Name IL13RA2 Polyclonal Antibody
Applications WB, ELISA, FCM
Reactivity Human, Mouse, Rat
Predicted Reactivity Dog
Specifications
Conjugation Unconjugated
Host Rabbit
Source KLH conjugated synthetic peptide derived from human IL-13Ra2
Clonality Polyclonal
Clone # #REF!
Isotype IgG
Concentration 1ug/ul
Purification Purified by Protein A.
Storage Buffer 0.01M TBS(pH7.4) with 1% BSA, 0.02% Proclin300 and 50% Glycerol.
Storage Condition Shipped at 4_. Store at -20_ for one year. Avoid repeated freeze/thaw cycles.
Target
Gene ID 3598
Swiss Prot Q14627
Subcellular location Cell membrane
Synonyms CT19; IL-13R; IL13BP; CD213A2; Interleukin-13 receptor subunit alpha-2; IL-13 receptor subunit alpha-2; IL-13R subunit alpha-2; IL-13R-alpha-2; IL-13RA2; Interleukin-13-binding protein; IL13RA2; IL13R
Background Binds as a monomer with high affinity to interleukin-13 (IL13), but not to interleukin-4 (IL4).
Application Dilution
WB 1:300-5000
ELISA 1:500-1000
FCM 1:20-100