Receive 30% off all Monoclonal IHC antibodies with code "MONO-IHC-30"! Offer valid for US customers and available internationally through distributors.

MYCL Polyclonal Antibody

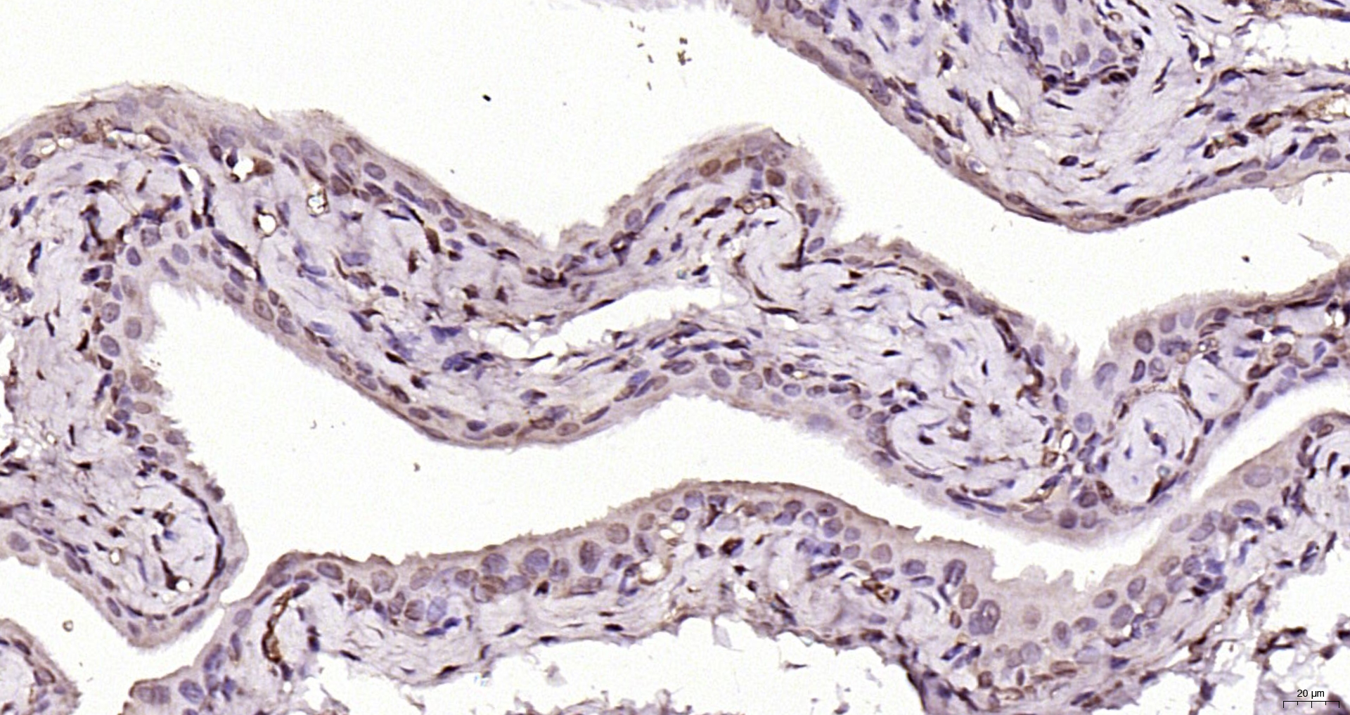
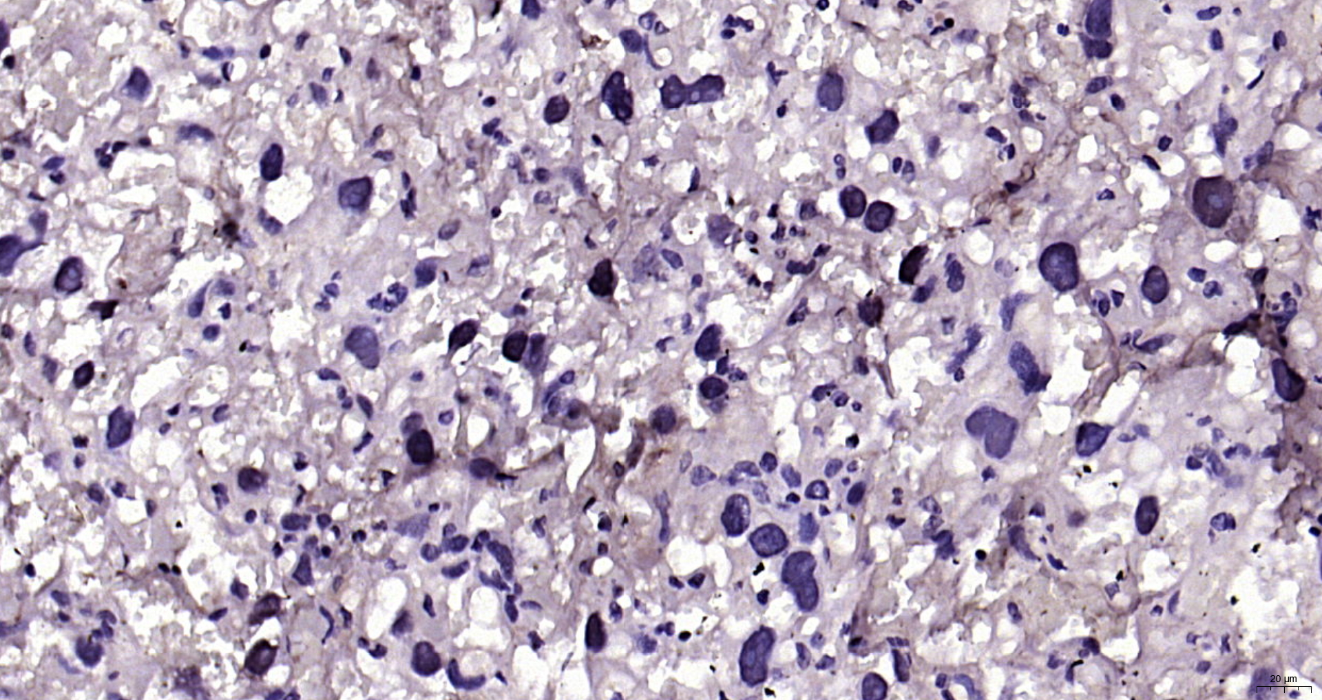
Applications

  • IHC-P
  • IHC-F
  • IF

Reactivity

  • Rat

Predicted Reactivity

  • Human
  • Mouse
  • Dog
  • Cow
  • Sheep
  • Pig
  • Horse
  • Rabbit
Overview
Catalog # bs-24627R
Product Name MYCL Polyclonal Antibody
Applications IHC-P, IHC-F, IF
Reactivity Rat
Predicted Reactivity Human, Mouse, Dog, Cow, Sheep, Pig, Horse, Rabbit
Specifications
Conjugation Unconjugated
Host Rabbit
Source KLH conjugated synthetic peptide derived from human L-Myc
Clonality Polyclonal
Clone # #REF!
Isotype IgG
Concentration 1ug/ul
Purification Purified by Protein A.
Storage Buffer 0.01M TBS(pH7.4) with 1% BSA, 0.02% Proclin300 and 50% Glycerol.
Storage Condition Shipped at 4C. Store at -20C for one year. Avoid repeated freeze/thaw cycles.
Target
Gene ID 4610
Swiss Prot P12524
Subcellular location Nucleus
Synonyms l myc protein; l myc 1 proto oncogene; L myc 1 proto-oncogene protein; Myc related gene from lung cancer; MYCL 1; MYCL1; LMYC; BHLHE38; Protein L-Myc-1; oncogene lmyc; v myc avian myelocytomatosis viral oncogene homolog 1 lung carcinoma derived; l-Myc; MYCL1_HUMAN.
Application Dilution
IHC-P ELISA1:500-1000
IHC-F IHC-P1:200-400
IF