Receive 30% off all Monoclonal IHC antibodies with code "MONO-IHC-30"! Offer valid for US customers and available internationally through distributors.

TNFSF14 Polyclonal Antibody

Applications

  • WB
  • FCM
  • IHC-P
  • IHC-F
  • IF(IHC-P)
  • IF(IHC-F)
  • IF(ICC)

Reactivity

  • Human
  • Mouse

Predicted Reactivity

  • Rat
Overview
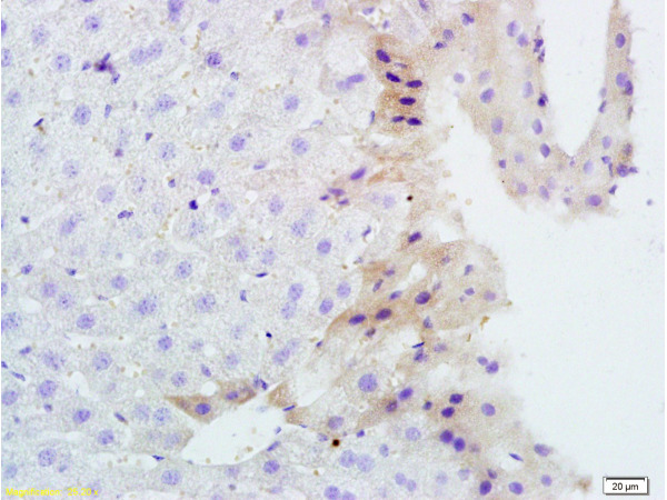
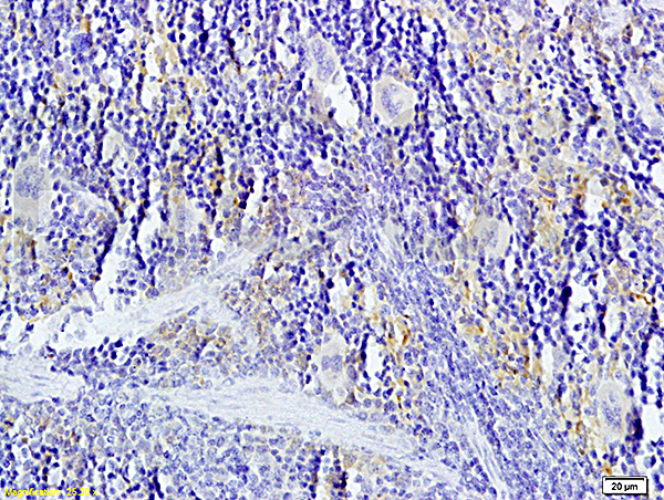
Catalog # bs-2462R
Product Name TNFSF14 Polyclonal Antibody
Applications WB, FCM, IHC-P, IHC-F, IF(IHC-P), IF(IHC-F), IF(ICC)
Reactivity Human, Mouse
Predicted Reactivity Rat
Specifications
Conjugation Unconjugated
Host Rabbit
Source KLH conjugated synthetic peptide derived from human TNFSF14
Clonality Polyclonal
Clone # #REF!
Isotype IgG
Concentration 1ug/ul
Purification Purified by Protein A.
Storage Buffer 0.01M TBS(pH7.4) with 1% BSA, 0.02% Proclin300 and 50% Glycerol.
Storage Condition Shipped at 4C. Store at -20C for one year. Avoid repeated freeze/thaw cycles.
Target
Gene ID 8740
Swiss Prot O43557
Subcellular location Cytoplasm, Secreted, Cell membrane
Synonyms LTg; TR2; CD258; HVEML; LIGHT; Tumor necrosis factor ligand superfamily member 14; Herpes virus entry mediator ligand; HVEM-L; Herpesvirus entry mediator ligand; TNFSF14; UNQ391/PRO726
Background Cytokine that binds to TNFRSF3/LTBR. Binding to the decoy receptor TNFRSF6B modulates its effects. Activates NFKB, stimulates the proliferation of T-cells, and inhibits growth of the adenocarcinoma HT-29. Acts as a receptor for Herpes simplex virus.
Application Dilution
WB 1:300-5000
FCM 1:20-100
IHC-P 1:200-400
IHC-F 1:100-500
IF(IHC-P) 1:50-200
IF(IHC-F) 1:50-200
IF(ICC) 1:50-200