Receive 30% off all Monoclonal IHC antibodies with code "MONO-IHC-30"! Offer valid for US customers and available internationally through distributors.

CD44 Polyclonal Antibody

Applications

  • ELISA
  • FCM
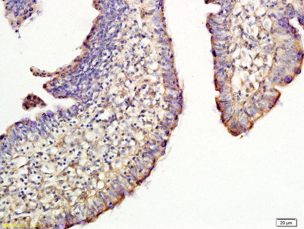
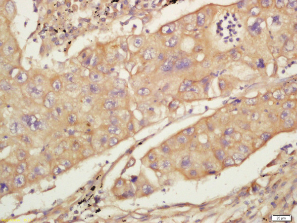
  • IHC-P
  • IF(ICC)

Reactivity

  • Human
  • Mouse

Predicted Reactivity

  • Rat
  • Cow
  • Pig
  • Chicken
  • Rabbit
Overview
Catalog # bs-2507R
Product Name CD44 Polyclonal Antibody
Applications ELISA, FCM, IHC-P, IF(ICC)
Reactivity Human, Mouse
Predicted Reactivity Rat, Cow, Pig, Chicken, Rabbit
Specifications
Conjugation Unconjugated
Host Rabbit
Source KLH conjugated synthetic peptide derived from human CD44
Clonality Polyclonal
Clone # #REF!
Isotype IgG
Concentration 1ug/ul
Purification Purified by Protein A.
Storage Buffer 0.01M TBS(pH7.4) with 1% BSA, 0.02% Proclin300 and 50% Glycerol.
Storage Condition Shipped at 4_. Store at -20_ for one year. Avoid repeated freeze/thaw cycles.
Target
Gene ID 960
Swiss Prot P16070
Subcellular location Cell membrane
Synonyms CD44 antigen; CDw44; Epican; Extracellular matrix receptor III; ECMR-III; GP90 lymphocyte homing/adhesion receptor; HUTCH-I; Heparan sulfate proteoglycan; Hermes antigen; Hyaluronate receptor; Phagocytic glycoprotein 1; PGP-1; Phagocytic glycoprotein I; PGP-I; CD44; LHR; MDU2; MDU3; MIC4
Background Receptor for hyaluronic acid (HA). Mediates cell-cell and cell-matrix interactions through its affinity for HA, and possibly also through its affinity for other ligands such as osteopontin, collagens, and matrix metalloproteinases (MMPs). Adhesion with HA plays an important role in cell migration, tumor growth and progression. In cancer cells, may play an important role in invadopodia formation. Also involved in lymphocyte activation, recirculation and homing, and in hematopoiesis. Altered expression or dysfunction causes numerous pathogenic phenotypes. Great protein heterogeneity due to numerous alternative splicing and post-translational modification events.
Application Dilution
ELISA 1:500-1000
FCM 1:20-100
IHC-P 1:200-400
IF(ICC) 1:50-200