RECEIVE 25% OFF PUBLISHED ANTIBODIES WITH CODE "PUB25"! Offer valid for US customers and available internationally through distributors.

DEP1/PTPRJ Polyclonal Antibody

Applications

  • WB
  • ELISA
  • IHC-P

Reactivity

  • Human
  • Mouse

Predicted Reactivity

  • Rat
  • Rabbit
Overview
Catalog # bs-2567r-100ul
Product Name DEP1/PTPRJ Polyclonal Antibody
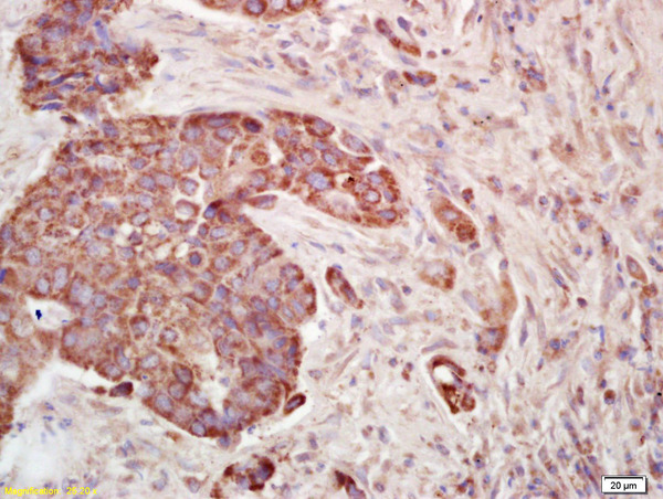
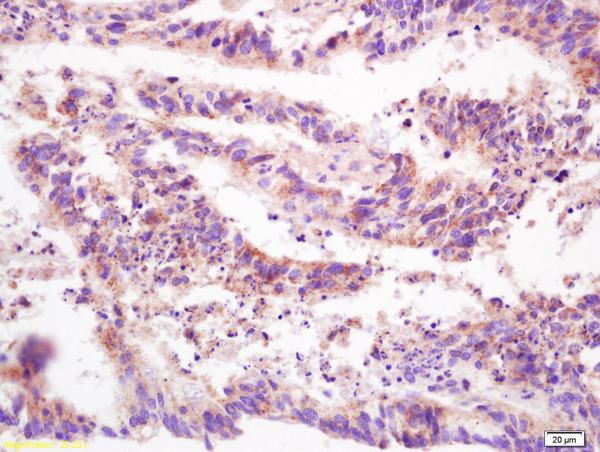
Applications WB, ELISA, IHC-P
Reactivity Human, Mouse
Predicted Reactivity Rat, Rabbit
Specifications
Conjugation Unconjugated
Host Rabbit
Source KLH conjugated synthetic peptide derived from human PTPRJ
Immunogen Range 865-970/1337
Clonality Polyclonal
Isotype IgG
Concentration 1ug/ul
Purification Purified by Protein A.
Storage Buffer 0.01M TBS(pH7.4) with 1% BSA, 0.02% Proclin300 and 50% Glycerol.
Storage Condition Shipped at 4°C. Store at -20°C for one year. Avoid repeated freeze/thaw cycles.
Target
Gene ID 5795
Swiss Prot Q12913
Subcellular location Cell membrane
Synonyms DEP1; SCC1; CD148; HPTPeta; R-PTP-ETA; Receptor-type tyrosine-protein phosphatase eta; Protein-tyrosine phosphatase eta; Density-enhanced phosphatase 1; DEP-1; HPTP eta; Protein-tyrosine phosphatase receptor type J; R-PTP-J; PTPRJ
Background Tyrosine phosphatase which dephosphorylates or contributes to the dephosphorylation of CTNND1, FLT3, PDGFRB, MET, RET (variant MEN2A), KDR, LYN, SRC, MAPK1, MAPK3, EGFR, TJP1, OCLN, PIK3R1 and PIK3R2. Plays a role in cell adhesion, migration, proliferation and differentiation. Involved in vascular development. Regulator of macrophage adhesion and spreading. Positively affects cell-matrix adhesion. Positive regulator of platelet activation and thrombosis. Negative regulator of cell proliferation. Negative regulator of PDGF-stimulated cell migration; through dephosphorylation of PDGFR. Positive regulator of endothelial cell survival, as well as of VEGF-induced SRC and AKT activation; through KDR dephosphorylation. Negative regulator of EGFR signaling pathway; through EGFR dephosphorylation. Enhances the barrier function of epithelial junctions during reassembly. Negatively regulates T-cell receptor (TCR) signaling. Upon T-cell TCR activation, it is up-regulated and excluded from the immunological synapses, while upon T-cell-antigen presenting cells (APC) disengagement, it is no longer excluded and can dephosphorylate PLCG1 and LAT to down-regulate prolongation of signaling.
Application Dilution
WB 1:300-5000
ELISA 1:500-1000
IHC-P 1:200-400