Receive 30% off all Monoclonal IHC antibodies with code "MONO-IHC-30"! Offer valid for US customers and available internationally through distributors.

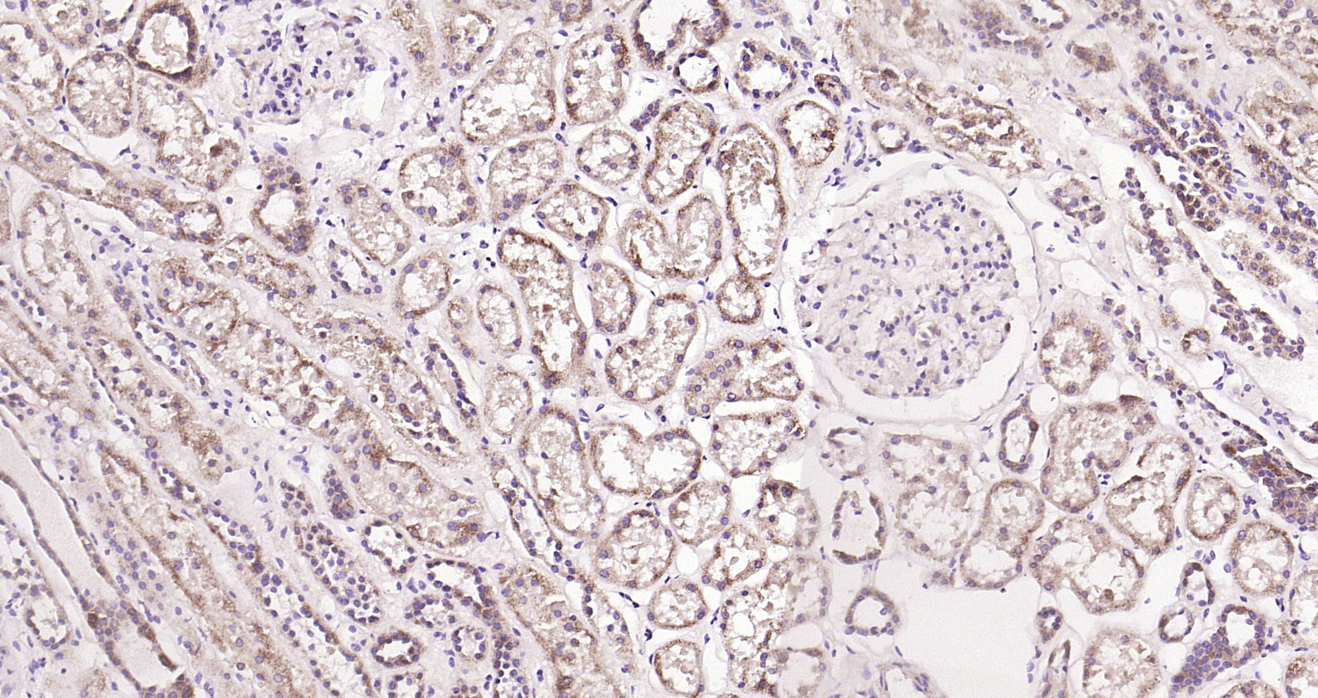
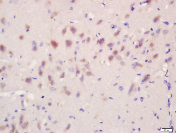
Regucalcin Polyclonal Antibody

Applications

  • WB
  • ELISA
  • IHC-P
  • IHC-F
  • IF(IHC-P)
  • IF(IHC-F)
  • IF(ICC)

Reactivity

  • Human
  • Mouse
  • Rat

Predicted Reactivity

  • Dog
  • Cow
  • Pig
  • Horse
  • Chicken
  • Rabbit
Overview
Catalog # bs-2665R
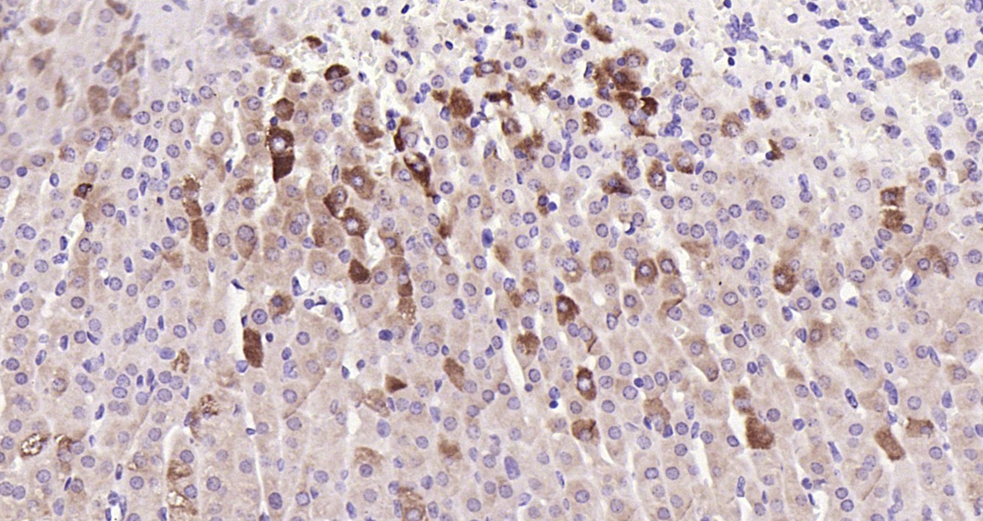
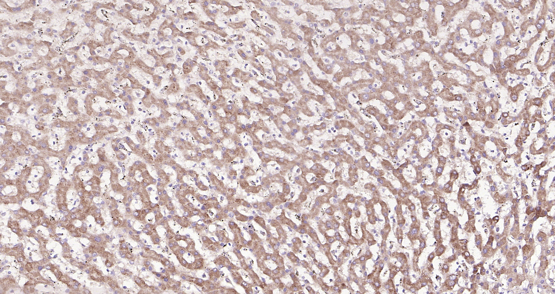
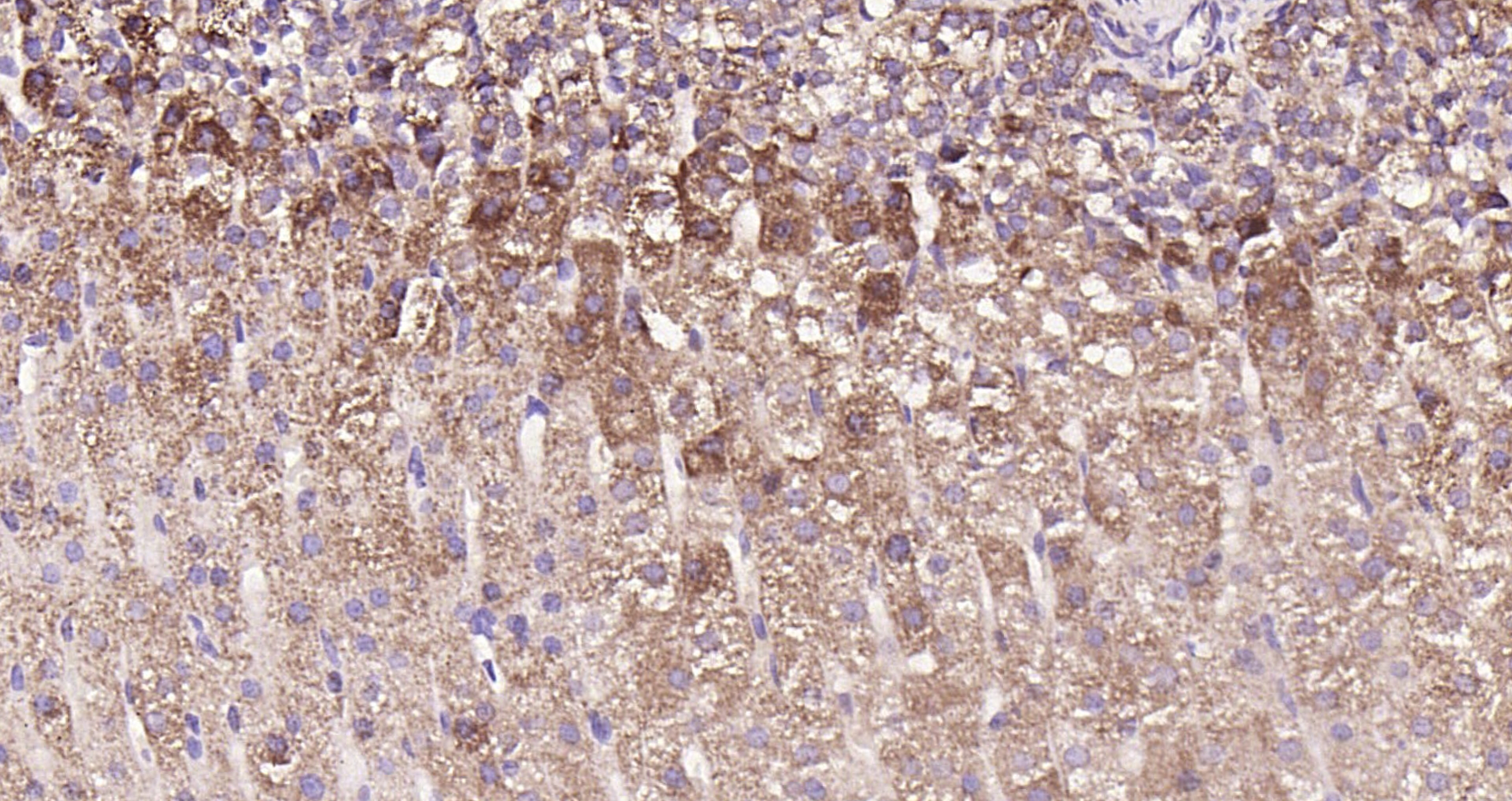
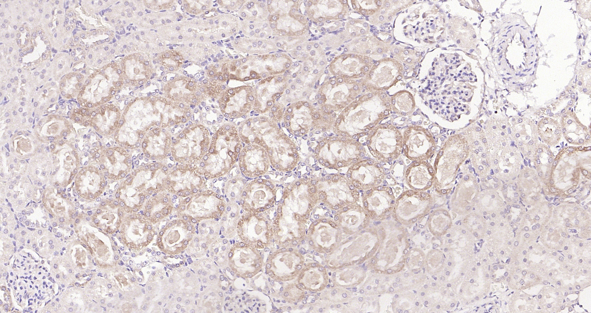
Product Name Regucalcin Polyclonal Antibody
Applications WB, ELISA, IHC-P, IHC-F, IF(IHC-P), IF(IHC-F), IF(ICC)
Reactivity Human, Mouse, Rat
Predicted Reactivity Dog, Cow, Pig, Horse, Chicken, Rabbit
Specifications
Conjugation Unconjugated
Host Rabbit
Source KLH conjugated synthetic peptide derived from human Regucalcin
Clonality Polyclonal
Clone # #REF!
Isotype IgG
Concentration 1ug/ul
Purification Purified by Protein A.
Storage Buffer 0.01M TBS(pH7.4) with 1% BSA, 0.02% Proclin300 and 50% Glycerol.
Storage Condition Shipped at 4_. Store at -20_ for one year. Avoid repeated freeze/thaw cycles.
Target
Gene ID 9104
Swiss Prot Q15493
Subcellular location Cytoplasm
Synonyms RC; GNL; SMP30; HEL-S-41; Regucalcin; Gluconolactonase; Senescence marker protein 30; SMP-30; RGN
Background Gluconolactonase with low activity towards other sugar lactones, including gulonolactone and galactonolactone. Can also hydrolyze diisopropyl phosphorofluoridate and phenylacetate (in vitro). Calcium-binding protein. Modulates Ca(2+) signaling, and Ca(2+)-dependent cellular processes and enzyme activities (By similarity).
Application Dilution
WB 1:300-5000
ELISA 1:500-1000
IHC-P 1:200-400
IHC-F 1:100-500
IF(IHC-P) 1:50-200
IF(IHC-F) 1:50-200
IF(ICC) 1:50-200