Receive 30% off all Monoclonal IHC antibodies with code "MONO-IHC-30"! Offer valid for US customers and available internationally through distributors.

Phospho-MKK3(Ser218) + MKK6(Ser207) Polyclonal Antibody

Applications

  • WB
  • ELISA
  • IHC-P
  • IHC-F
  • IF(IHC-P)
  • IF(IHC-F)
  • IF(ICC)

Reactivity

  • Human
  • Mouse
  • Rat

Predicted Reactivity

  • Dog
  • Cow
  • Pig
  • Horse
  • Chicken
  • Rabbit
Overview
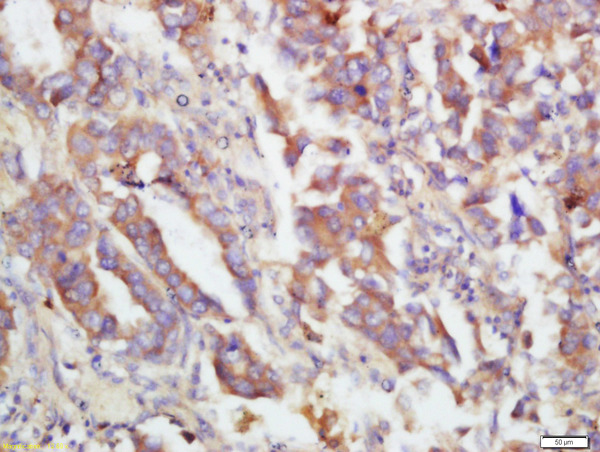
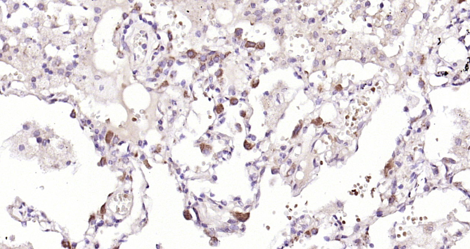
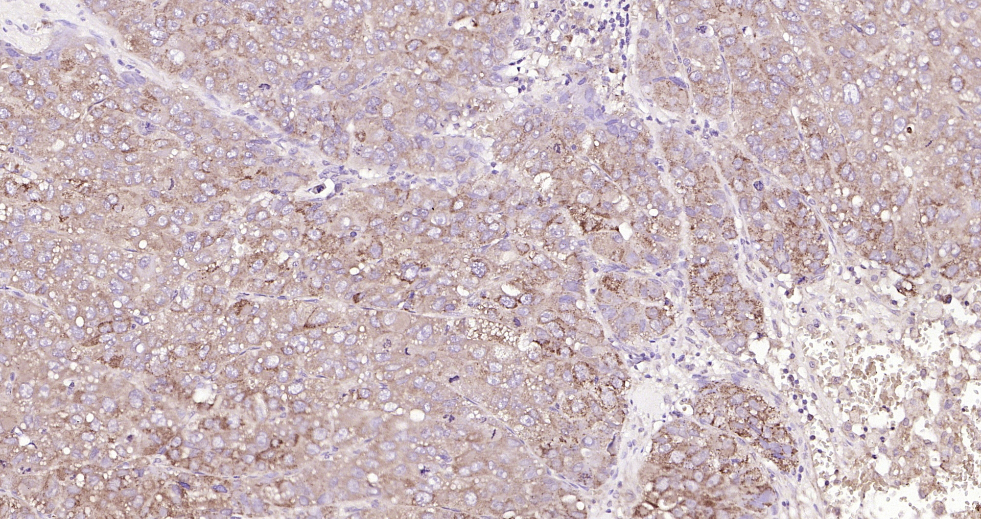
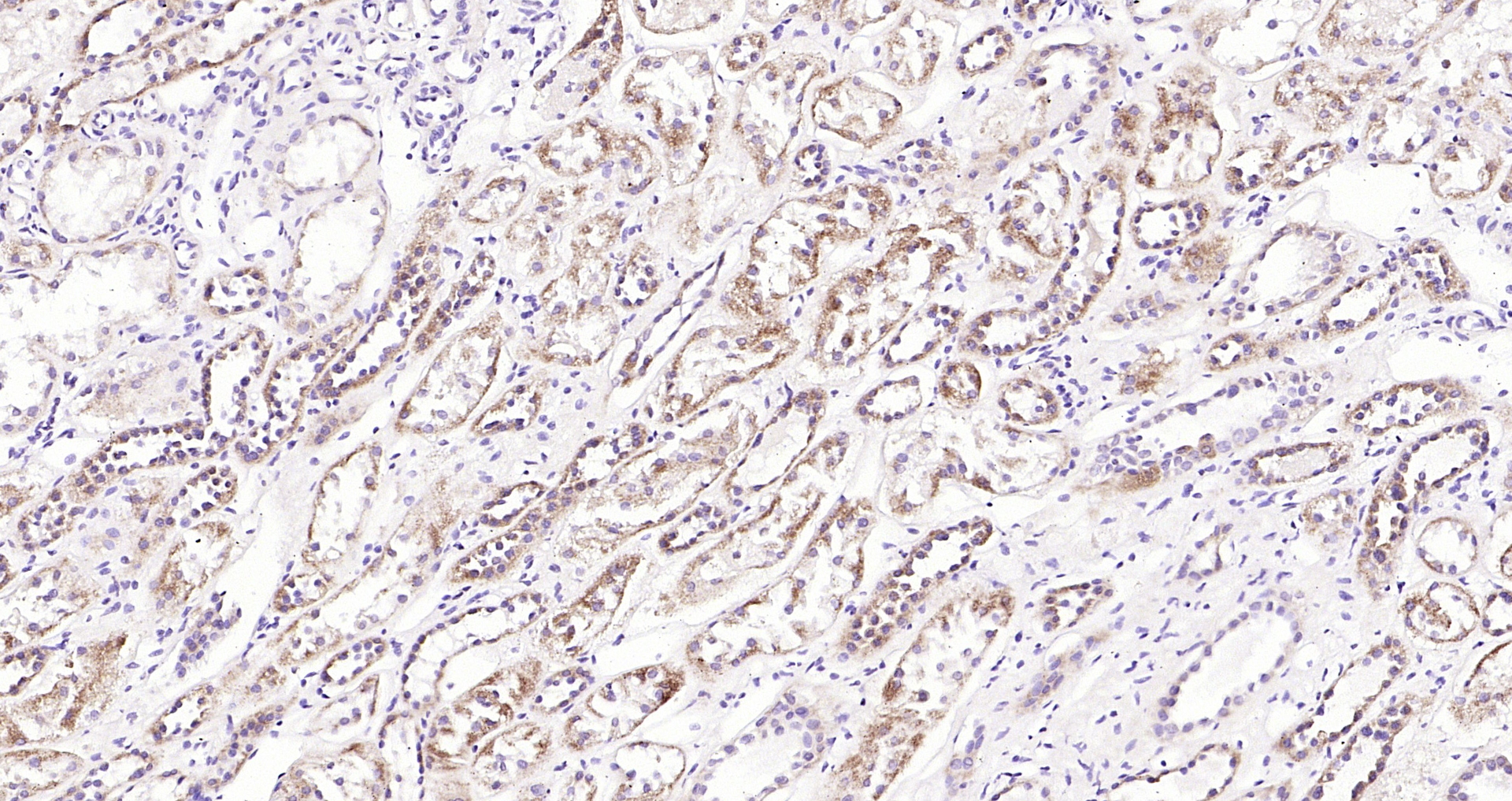
Catalog # bs-3274R
Product Name Phospho-MKK3(Ser218) + MKK6(Ser207) Polyclonal Antibody
Applications WB, ELISA, IHC-P, IHC-F, IF(IHC-P), IF(IHC-F), IF(ICC)
Specificity This phosphorylation site is homologous in Mouse and homologous to that of Ser290 in Rat in MKK3, and homologous across the listed species in MKK6.
Reactivity Human, Mouse, Rat
Predicted Reactivity Dog, Cow, Pig, Horse, Chicken, Rabbit
Specifications
Conjugation Unconjugated
Host Rabbit
Source KLH conjugated synthetic phosphopeptide derived from human MKK3 around the phosphorylation site of Ser218
Modification Site Ser207
Clonality Polyclonal
Clone # #REF!
Isotype IgG
Concentration 1ug/ul
Purification Purified by Protein A.
Storage Buffer 0.01M TBS(pH7.4) with 1% BSA, 0.02% Proclin300 and 50% Glycerol.
Storage Condition Shipped at 4_. Store at -20_ for one year. Avoid repeated freeze/thaw cycles.
Target
Gene ID 5606, 5608
Subcellular location Cytoplasm, Nucleus, Cell membrane
Synonyms MKK3Ser218; MAP Kinase Kinase 3; Dual specicity mitogen activated protein kinase kinase 3; ERK kinase 3; MAP kinase kinase 3; MAP2K 3; MAPK ERK kinase 3; MAPK kinase 3; MAPKK 3; MAPKK3; MEK 3; MEK3; Mitogen activated protein kinase kinase 3; MKK 3; MKK3; mMKK 3b; mMKK3b; MPK 3; PRKMK 3; PRKMK3; Protein kinase mitogen activated kinase 3; SKK2; zMKK 3; MP2K3_HUMAN; MP2K6_HUMAN
Background The protein encoded by this gene is a dual specificity protein kinase that belongs to the MAP kinase kinase family. This kinase is activated by mitogenic and environmental stress, and participates in the MAP kinase-mediated signaling cascade. It phosphorylates and thus activates MAPK14/p38-MAPK. This kinase can be activated by insulin, and is necessary for the expression of glucose transporter. Expression of RAS oncogene is found to result in the accumulation of the active form of this kinase, which thus leads to the constitutive activation of MAPK14, and confers oncogenic transformation of primary cells. The inhibition of this kinase is involved in the pathogenesis of Yersina pseudotuberculosis. Multiple alternatively spliced transcript variants that encode distinct isoforms have been reported for this gene.
Application Dilution
WB 1:300-5000
ELISA 1:500-1000
IHC-P 1:200-400
IHC-F 1:100-500
IF(IHC-P) 1:50-200
IF(IHC-F) 1:50-200
IF(ICC) 1:50-200