Receive 30% off all Monoclonal IHC antibodies with code "MONO-IHC-30"! Offer valid for US customers and available internationally through distributors.

MAP2 Polyclonal Antibody

Applications

  • IHC-P
  • IHC-F
  • IF

Reactivity

  • Human
  • Mouse
  • Rat
Overview
Catalog # bs-34252r
Product Name MAP2 Polyclonal Antibody
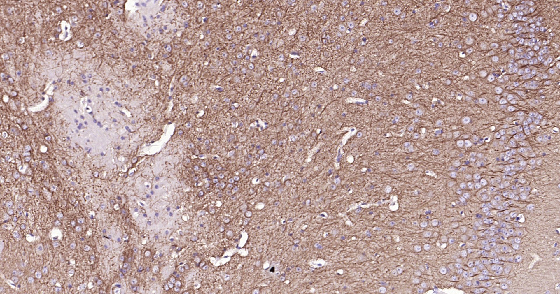
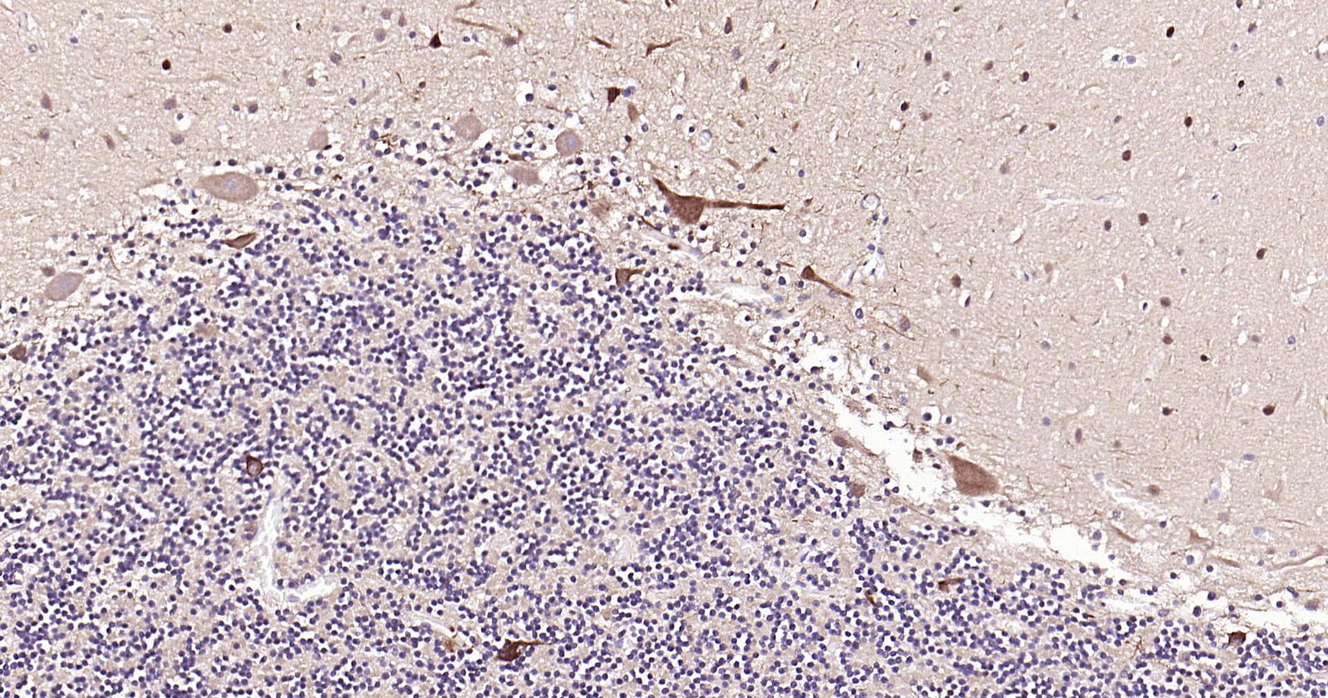
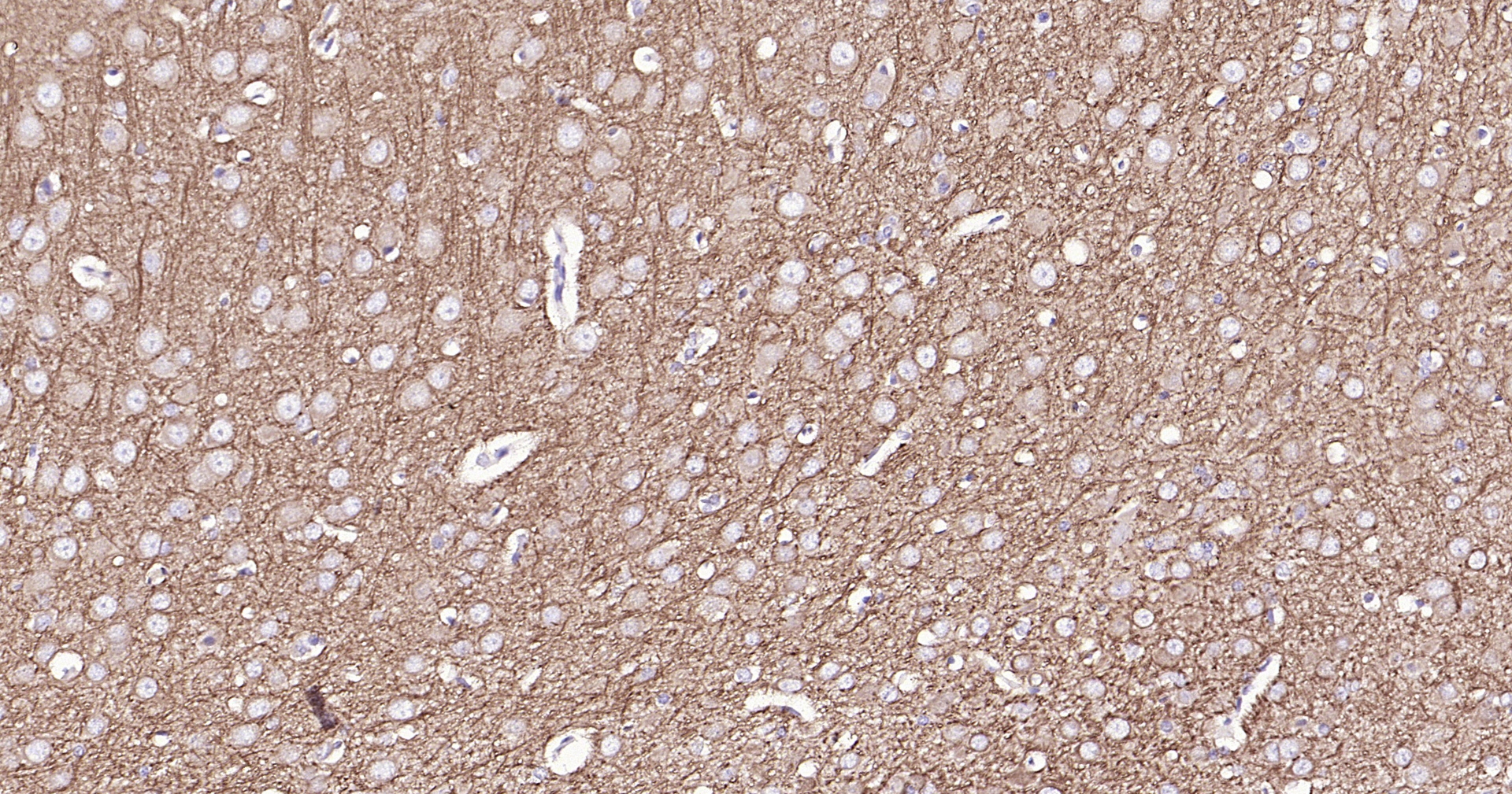
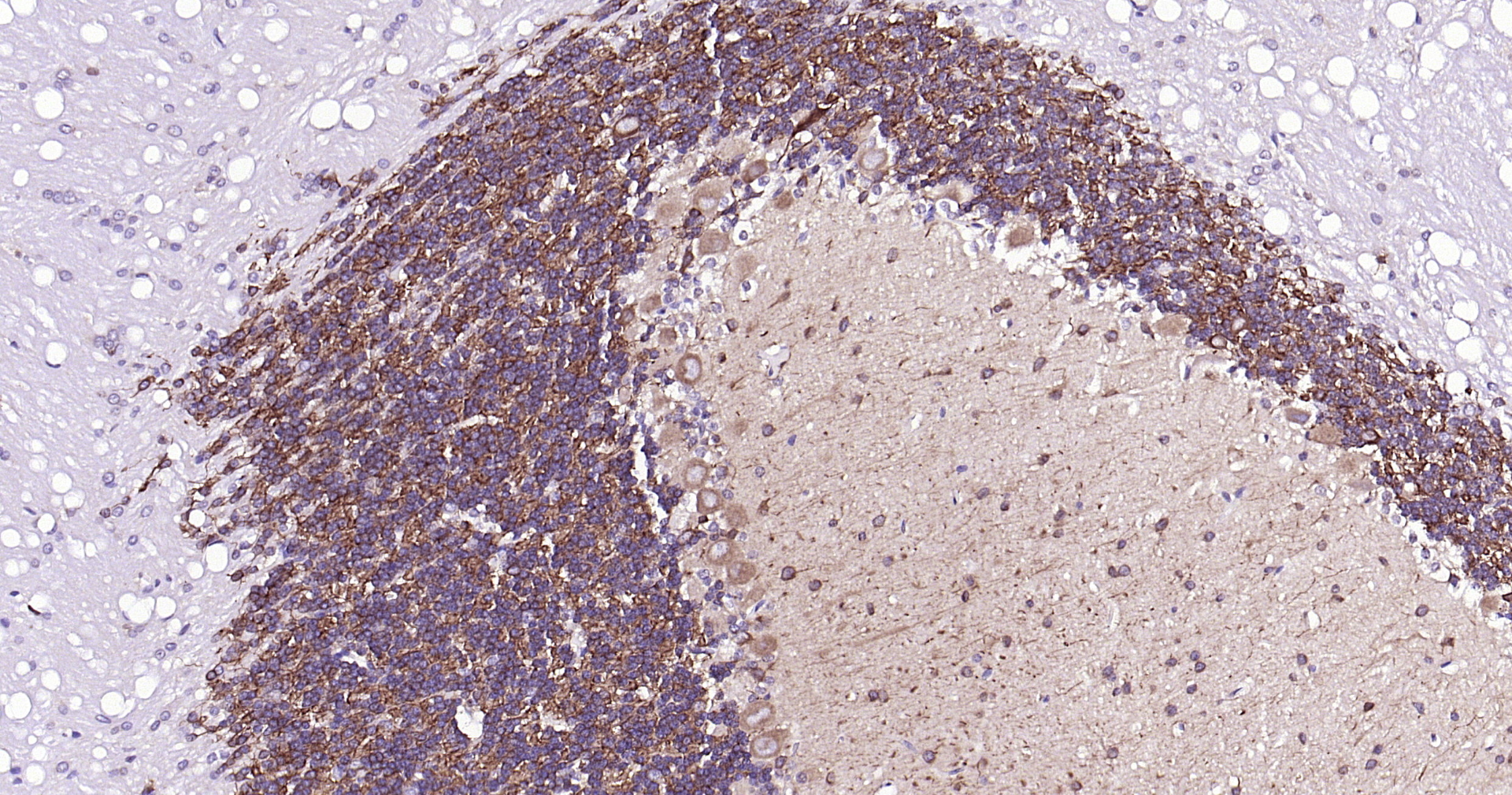
Applications IHC-P, IHC-F, IF
Reactivity Human, Mouse, Rat
Specifications
Conjugation Unconjugated
Host Rabbit
Source KLH conjugated synthetic peptide derived from human MAP2
Clonality Polyclonal
Clone # #REF!
Isotype IgG
Concentration 1ug/ul
Purification Purified by Protein A.
Storage Buffer 0.01M TBS(pH7.4) with 1% BSA, 0.02% Proclin300 and 50% Glycerol.
Storage Condition Shipped at 4C. Store at -20C for one year. Avoid repeated freeze/thaw cycles.
Target
Gene ID 4133
Swiss Prot P11137
Subcellular location Cytoplasm, Nucleus
Synonyms Microtubule-associated protein 2; DKFZp686I2148; Dendrite specific MAP; DKFZp686I2148; MAP 2; MAP-2; MAP2A; MAP2B; MAP2C; Microtubule associated protein 2; Mtap 2; MAP2_HUMAN.
Background The exact function of MAP2 is unknown but MAPs may stabilize the microtubules against depolymerization. They also seem to have a stiffening effect on microtubules.
Application Dilution
IHC-P =1:300-1500
IHC-F IHC-F=1:300-1500
IF IF=1:300-1500