Receive 30% off all Monoclonal IHC antibodies with code "MONO-IHC-30"! Offer valid for US customers and available internationally through distributors.

OGG1 Polyclonal Antibody

Applications

  • WB
  • ELISA
  • FCM
  • IHC-P
  • IHC-F

Reactivity

  • Human
  • Mouse
  • Rat

Predicted Reactivity

  • Dog
  • Cow
  • Pig
Overview
Catalog # bs-3687R
Product Name OGG1 Polyclonal Antibody
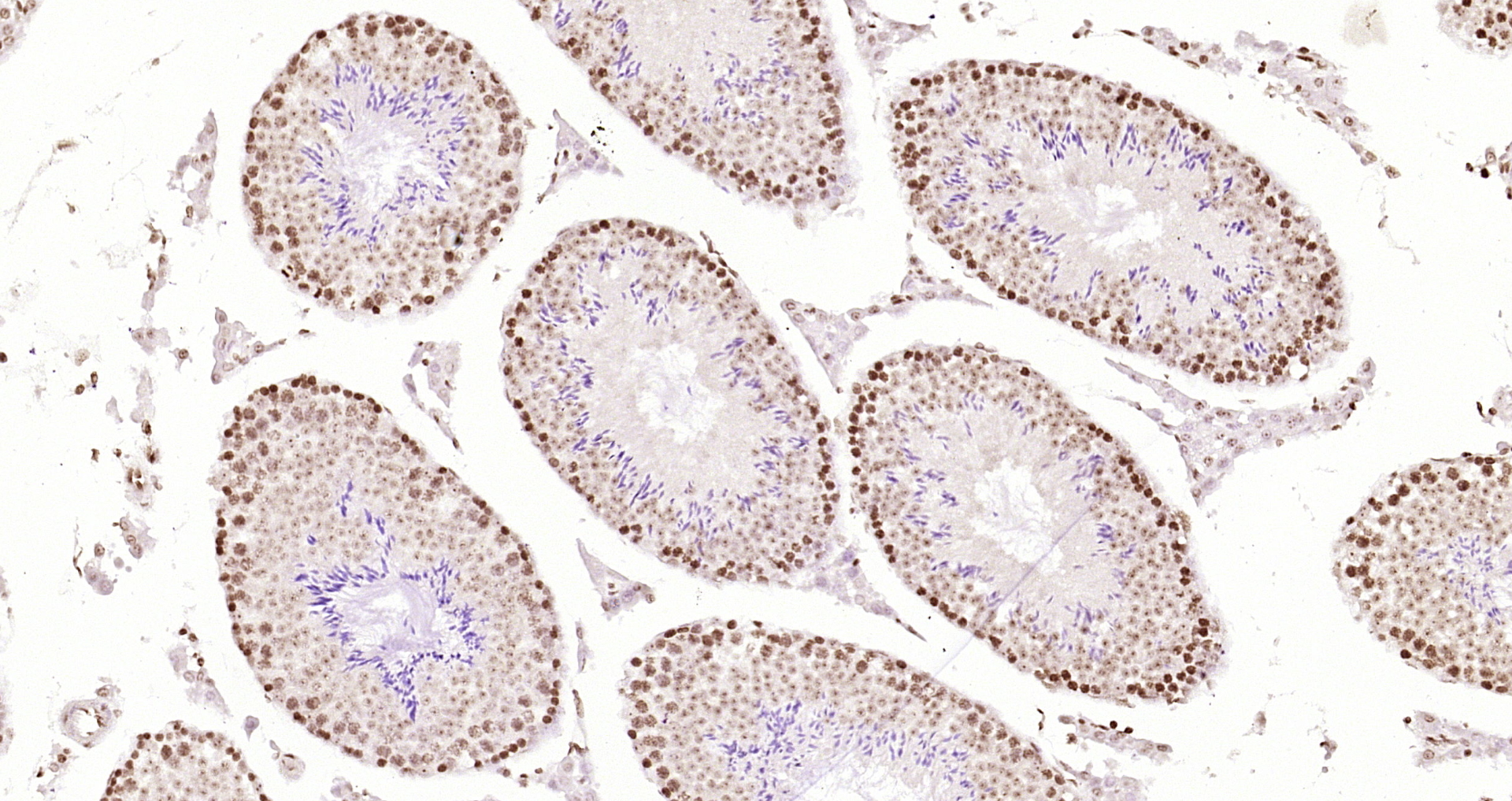
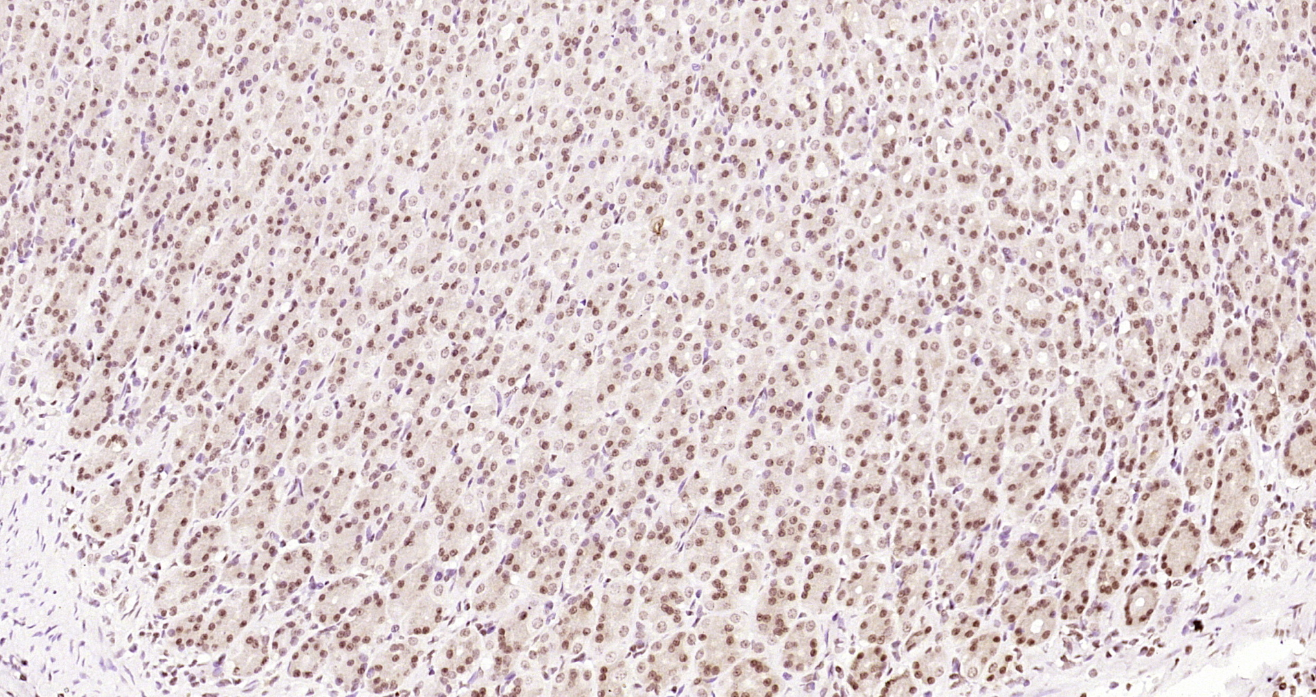
Applications WB, ELISA, FCM, IHC-P, IHC-F
Reactivity Human, Mouse, Rat
Predicted Reactivity Dog, Cow, Pig
Specifications
Conjugation Unconjugated
Host Rabbit
Source KLH conjugated synthetic peptide derived from human OGG1/8 hydroxyguanine DNA glycosylase
Clonality Polyclonal
Clone # #REF!
Isotype IgG
Concentration 1ug/ul
Purification Purified by Protein A.
Storage Buffer 0.01M TBS(pH7.4) with 1% BSA, 0.02% Proclin300 and 50% Glycerol.
Storage Condition Shipped at 4C. Store at -20C for one year. Avoid repeated freeze/thaw cycles.
Target
Gene ID 4968
Subcellular location Cytoplasm, Nucleus
Synonyms 8 hydroxyguanine DNA glycosylase; 8 oxoguanine DNA glycosylase 1; 8-oxoguanine DNA glycosylase; AP lyase; DNA apurinic or apyrimidinic site lyase; DNA lyase; DNA-apurinic or apyrimidinic site lyase; HMMH; HOGG 1; HOGG1; MMH; MUTM; N-glycosylase; Ogg 1; OGH 1; OGH1; OGG1_HUMAN.
Background This gene encodes the enzyme responsible for the excision of 8-oxoguanine, a mutagenic base byproduct which occurs as a result of exposure to reactive oxygen. The action of this enzyme includes lyase activity for chain cleavage. Alternative splicing of the C-terminal region of this gene classifies splice variants into two major groups, type 1 and type 2, depending on the last exon of the sequence. Type 1 alternative splice variants end with exon 7 and type 2 end with exon 8. All variants share the N-terminal region in common, which contains a mitochondrial targeting signal that is essential for mitochondrial localization. Many alternative splice variants for this gene have been described, but the full-length nature for every variant has not been determined. [provided by RefSeq, Aug 2008].
Application Dilution
WB 1:300-5000
ELISA 1:500-1000
FCM 1:20-100
IHC-P 1:200-400
IHC-F 1:100-500