Receive 30% off all Monoclonal IHC antibodies with code "MONO-IHC-30"! Offer valid for US customers and available internationally through distributors.

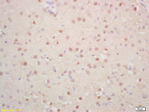
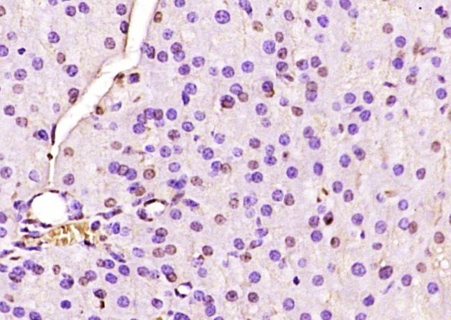
Phospho-p57 Kip2 (Thr310) Polyclonal Antibody

Applications

  • ELISA
  • IHC-P
  • IHC-F
  • IF(IHC-P)
  • IF(IHC-F)
  • IF(ICC)

Reactivity

  • Human
  • Mouse

Predicted Reactivity

  • Rat
Overview
Catalog # bs-3713R
Product Name Phospho-p57 Kip2 (Thr310) Polyclonal Antibody
Applications ELISA, IHC-P, IHC-F, IF(IHC-P), IF(IHC-F), IF(ICC)
Specificity This phosphorylation site is homologous to that of Thr342 in Mouse.
Reactivity Human, Mouse
Predicted Reactivity Rat
Specifications
Conjugation Unconjugated
Host Rabbit
Source KLH conjugated synthetic phosphopeptide derived from human p57 Kip2 around the phosphorylation site of Thr310 [EQ(p-T)PR]
Modification Site Thr310
Clonality Polyclonal
Clone # #REF!
Isotype IgG
Concentration 1ug/ul
Purification Purified by Protein A.
Storage Buffer 0.01M TBS(pH7.4) with 1% BSA, 0.02% Proclin300 and 50% Glycerol.
Storage Condition Shipped at 4_. Store at -20_ for one year. Avoid repeated freeze/thaw cycles.
Target
Gene ID 1028
Swiss Prot P49918
Subcellular location Nucleus
Synonyms BWS; WBS; p57; BWCR; KIP2; p57Kip2; Cyclin-dependent kinase inhibitor 1C; Cyclin-dependent kinase inhibitor p57; CDKN1C
Background Potent tight-binding inhibitor of several G1 cyclin/CDK complexes (cyclin E-CDK2, cyclin D2-CDK4, and cyclin A-CDK2) and, to lesser extent, of the mitotic cyclin B-CDC2. Negative regulator of cell proliferation. May play a role in maintenance of the non-proliferative state throughout life.
Application Dilution
ELISA 1:500-1000
IHC-P 1:200-400
IHC-F 1:100-500
IF(IHC-P) 1:50-200
IF(IHC-F) 1:50-200
IF(ICC) 1:50-200