Receive 30% off all Monoclonal IHC antibodies with code "MONO-IHC-30"! Offer valid for US customers and available internationally through distributors.

Phospho-p63 (Ser455) Polyclonal Antibody

Applications

  • ELISA
  • IHC-P
  • IHC-F
  • IF(IHC-P)
  • IF(IHC-F)
  • IF(ICC)

Reactivity

  • Human
Overview
Catalog # bs-3715R
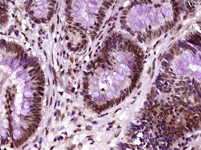
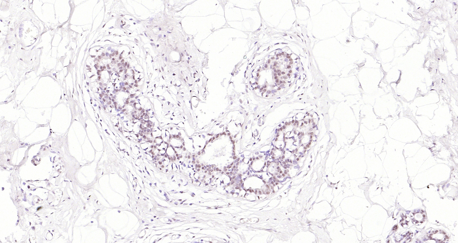
Product Name Phospho-p63 (Ser455) Polyclonal Antibody
Applications ELISA, IHC-P, IHC-F, IF(IHC-P), IF(IHC-F), IF(ICC)
Reactivity Human
Specifications
Conjugation Unconjugated
Host Rabbit
Source KLH conjugated synthetic phosphopeptide derived from human p63 around the phosphorylation site of Ser455
Modification Site Ser455
Clonality Polyclonal
Clone # #REF!
Isotype IgG
Concentration 1ug/ul
Purification Purified by Protein A.
Storage Buffer 0.01M TBS(pH7.4) with 1% BSA, 0.02% Proclin300 and 50% Glycerol.
Storage Condition Shipped at 4_. Store at -20_ for one year. Avoid repeated freeze/thaw cycles.
Target
Gene ID 8626
Subcellular location Nucleus
Synonyms p63 phospho S455; p63 phospho Ser455; p-p63 Ser455; AIS; Amplied in squamous cell carcinoma; Bp51A; Bp51B; p63 Alpha; Chronic ulcerative stomatitis protein; CUSP; DN p63 alpha 1; DNp63; EEC3; Keratinocyte transcription factor; Keratinocyte transcription factor KET; KET; LMS; NBP; OFC8; p40; p51; P51/P63; p53 like transcription factor; p53 related protein; p53-related protein p63; p53CP; p63; P73; p73H; p73L; RHS; SHFM4; TP53CP; TP53L; TP63; TP73; TP73L; Transformation related protein 63; Trp53rp1; Trp63; Tumor protein 63; tumor protein 63 kDa with strong homology to p53; Tumor protein p53-competing protein; Tumor protein p53-like; tumor protein p63; Tumor protein p73; tumor protein p73-like; P63_HUMAN.
Background This gene encodes a member of the p53 family of transcription factors. An animal model, p63 -/- mice, has been useful in defining the role this protein plays in the development and maintenance of stratified epithelial tissues. p63 -/- mice have several developmental defects which include the lack of limbs and other tissues, such as teeth and mammary glands, which develop as a result of interactions between mesenchyme and epithelium. Mutations in this gene are associated with ectodermal dysplasia, and cleft lip/palate syndrome 3 (EEC3); split-hand/foot malformation 4 (SHFM4); ankyloblepharon-ectodermal defects-cleft lip/palate; ADULT syndrome (acro-dermato-ungual-lacrimal-tooth); limb-mammary syndrome; Rap-Hodgkin syndrome (RHS); and orofacial cleft 8. Both alternative splicing and the use of alternative promoters results in multiple transcript variants encoding different proteins. Many transcripts encoding different proteins have been reported but the biological validity and the full-length nature of these variants have not been determined. [provided by RefSeq, Jul 2008].
Application Dilution
ELISA 1:500-1000
IHC-P 1:200-400
IHC-F 1:100-500
IF(IHC-P) 1:50-200
IF(IHC-F) 1:50-200
IF(ICC) 1:50-200